SARS-CoV-2 Koronavirüsü, Organları Nasıl Etkiliyor?
COVID-19 Hastalığının Organlar Üzerindeki Etkileri Neler?

- Türev
- Viroloji
- Viral Enfeksiyonlar
Bu içerik tıp ve sağlık ile ilişkilidir. Sadece bilgi amaçlı olarak hazırlanmıştır. Bireysel bir tıbbi tavsiye olarak görülmemelidir. Evrim Ağacı'ndaki hiçbir içerik; profesyonel bir hekim tarafından verilen tıbbi tavsiyelerin, konulan bir teşhisin veya önerilen bir tedavinin yerini alacak biçimde kullanılmamalıdır.
Bu Makalede Neler Öğreneceksiniz?
- Compare COVID-19 to SARS, noting it has about one-tenth the fatality rate but spreads faster, causing more deaths and widespread impact.
- Explain COVID-19 diagnosis initially relied on RT-PCR genetic tests, which can take two days and may yield false negatives.
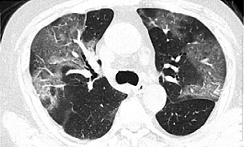
- Highlight the new diagnostic method using CT scans to detect lung infections quickly, aiding faster isolation and treatment of patients.
Şu ana kadar yeni koronavirüs hakkında hepimiz birçok bilgiye sahip olduk; SARS ile karşılaştırıldığında ölüm oranı onda bir görünüyor ama çok daha hızlı yayıldığı için çok daha fazla kişiyi öldürmüş ve etkilemiş durumda. Yalnız, bu yeni virüsün insan vücudunu nasıl etkilediğine dair çok az bilgiye sahibiz.
Bilim insanları ve sağlık görevlileri bu yeni virüs hakkında bilgi toplamaya ve etkilerini paylaşmaya çalışıyorlar. Yapılan açıklamalara göre; COVID-19 da SARS ve MERS gibi hayvanlardan insanlara geçen virüsler, soğuk algınlığına neden olan diğer virüs kuzenlerinden faklı olarak bütün organları şiddetli bir şekilde etkileyebiliyor.

COVID-19 Nasıl Teşhis Ediliyor?
13 Şubat’a kadar virüsün teşhisinde virüsün genetik kodundan yararlanılıyordu. Bu testte, hastadan örnek alınıyor, daha sonra laboratuvarda virüsün genetik kodu varsa çıkarılıyor ve tekrar kopyalanıyordu. Tıpta HIV ve influenza gibi virüsleri teşhis etmek için yaygın olarak kullanılan bu "RT-PCR" testleri normalde oldukça güvenilir fakat Radiology dergisinde yapılan bir çalışmaya göre, negatif test edilen 167 hastanın akciğer taraması yapıldığında 5’inin pozitif çıktığı gözlenmiş. Ayrıca bu yöntemle sonuçlar 2 gün gibi uzun bir sürede geliyor.

Yeni teşhis yöntemi ise bilgisayarlı tomografi (CT, Computed tomography) yöntemi. Bu yöntemle, hastaların akciğerleri taranıyor ve enfekte olmuş hastalar kolayca tanımlanabiliyor. Göğüs taraması COVID-19’un belirgin pnömoni (zatürre) paternini ortaya çıkarıyor. Bu yöntem ile yetkililerin hastaları daha çabuk izole etmesine ve tedavi etmesine olanak sağlayacağı düşünülüyor.
COVID-19’un En Yaygın Belirtileri
7 Şubat'ta Journal of American Medical Association'da (JAMA) yayınlanan araştırmaya göre; Wuhan'da, yeni virüsün bulaşmış olduğu 138 hastada görülen en yaygın semptomlar ateş, yorgunluk ve kuru öksürük. Hastaların üçte birinde kas ağrısı ve nefes alma güçlüğü bildirilirken, yaklaşık yüzde 10'unda ishal ve bulantı gibi atipik semptomlar var.
Yaşları 22 ile 92 arasında değişen hastalar 1-28 Ocak tarihleri arasında Wuhan Üniversitesi Zhongnan Hastanesi’ne başvurdu. JAMA, hastaların ortalama yaşının 49-56 yıl arasında ve çocuklarda vakaların nadir olduğunu söylüyor. JAMA'ya göre vakaların çoğu hafif görünmekle birlikte tüm hastalarda pnömoni gelişti. Yaklaşık üçte biri, yoğun bakım ünitesinde tedavi gerektiren ciddi solunum güçlükleri geliştirdi. Kritik hastalar daha yaşlıydı ve diyabet ve hipertansiyon gibi altta yatan başka rahatsızlıkları vardı.

Gözlemlenen 138 hastanın altısı öldü ki bu rakam Çin'in diğer bölgelerindeki tahminlerden daha yüksek ve yüzde 4,3 ölüm oranına denk geliyor. Virüs bulaşmış toplam insan sayısının yüzde 2'sinden azı şimdiye kadar virüsten öldü, ancak salgın hala ilk aşamalarında olduğu için bu oran değişebilir.
COVID-19 Organları Nasıl Etkiliyor?
COVID-19, SARS'a genetik olarak çok benziyor. Bu nedenle, yeni salgın hakkındaki erken araştırmalarda SARS ve MERS'dan alınmış derslerin çok yardımcı olacağı düşünülüyor.
Akciğerler
Çoğu hasta için COVID-19 akciğerlerde başlayıp ve bitiyor. Çünkü grip gibi koronavirüsler de solunum yolu hastalıklarıdır. Tipik olarak, enfekte bir kişi öksürdüğünde veya hapşırdığında, virüs yakın temasta olan herkese püskürtülen damlacıklar yoluyla iletilir. Koronavirüsler de grip benzeri semptomlara neden olurlar; hastalarda pnömoni (zatürre) ile başlar veya daha kötüsü ile yani ilerleyen ateş ve öksürük ile başlayabilir.
SARS salgını sonrasında, Dünya Sağlık Örgütü hastalığın tipik olarak üç aşamada akciğerlere saldırdığını bildirmişti; viral replikasyon, bağışıklık hiper-reaktivitesi ve pulmoner yıkım.
Yalnız, tüm hastalar üç fazın hepsinden geçmemişti; SARS hastalarının sadece yüzde 25'i ciddi solunum yetmezliği çekti. Benzer şekilde, erken verilere göre COVID-19, vakaların yaklaşık yüzde 82'sinde daha hafif semptomlara neden olurken, geri kalanı şiddetli veya kritik durumda. Yeni koronavirüs, SARS'ın diğer etkilerini takip ediyor gibi görünüyor.
Evrim Ağacı'nın çalışmalarına Kreosus, Patreon veya YouTube üzerinden maddi destekte bulunarak hem Türkiye'de bilim anlatıcılığının gelişmesine katkı sağlayabilirsiniz, hem de site ve uygulamamızı reklamsız olarak deneyimleyebilirsiniz. Reklamsız deneyim, sitemizin/uygulamamızın çeşitli kısımlarda gösterilen Google reklamlarını ve destek çağrılarını görmediğiniz, %100 reklamsız ve çok daha temiz bir site deneyimi sunmaktadır.
KreosusKreosus'ta her 50₺'lik destek, 1 aylık reklamsız deneyime karşılık geliyor. Bu sayede, tek seferlik destekçilerimiz de, aylık destekçilerimiz de toplam destekleriyle doğru orantılı bir süre boyunca reklamsız deneyim elde edebiliyorlar.
Kreosus destekçilerimizin reklamsız deneyimi, destek olmaya başladıkları anda devreye girmektedir ve ek bir işleme gerek yoktur.
PatreonPatreon destekçilerimiz, destek miktarından bağımsız olarak, Evrim Ağacı'na destek oldukları süre boyunca reklamsız deneyime erişmeyi sürdürebiliyorlar.
Patreon destekçilerimizin Patreon ile ilişkili e-posta hesapları, Evrim Ağacı'ndaki üyelik e-postaları ile birebir aynı olmalıdır. Patreon destekçilerimizin reklamsız deneyiminin devreye girmesi 24 saat alabilmektedir.
YouTubeYouTube destekçilerimizin hepsi otomatik olarak reklamsız deneyime şimdilik erişemiyorlar ve şu anda, YouTube üzerinden her destek seviyesine reklamsız deneyim ayrıcalığını sunamamaktayız. YouTube Destek Sistemi üzerinde sunulan farklı seviyelerin açıklamalarını okuyarak, hangi ayrıcalıklara erişebileceğinizi öğrenebilirsiniz.
Eğer seçtiğiniz seviye reklamsız deneyim ayrıcalığı sunuyorsa, destek olduktan sonra YouTube tarafından gösterilecek olan bağlantıdaki formu doldurarak reklamsız deneyime erişebilirsiniz. YouTube destekçilerimizin reklamsız deneyiminin devreye girmesi, formu doldurduktan sonra 24-72 saat alabilmektedir.
Diğer PlatformlarBu 3 platform haricinde destek olan destekçilerimize ne yazık ki reklamsız deneyim ayrıcalığını sunamamaktayız. Destekleriniz sayesinde sistemlerimizi geliştirmeyi sürdürüyoruz ve umuyoruz bu ayrıcalıkları zamanla genişletebileceğiz.
Giriş yapmayı unutmayın!Reklamsız deneyim için, maddi desteğiniz ile ilişkilendirilmiş olan Evrim Ağacı hesabınıza üye girişi yapmanız gerekmektedir. Giriş yapmadığınız takdirde reklamları görmeye devam edeceksinizdir.
Enfeksiyonun ilk günlerinde, yeni koronavirüs hızla akciğer hücrelerini işgal ediyor. Bu akciğer hücreleri iki sınıfa ayrılır; mukus yapan hücreler ve siliya denilen tüy benzeri hücreler. Mukus hücreleri, akciğer dokusunu patojenlerden korumaya ve solunum organının kurumamasına yardımcı olurlar. Siliya hücreleri ise mukus etrafındaki polen ya da virüs gibi kalıntıları temizler.
Uzmanlar SARS'ın siliya hücrelerini enfekte etmeyi ve öldürmeyi sevdiğini açıklıyor. Daha sonra hastaların hava yollarını döküntü ve sıvılarla dolduruyor ve bunun yeni koronavirüsde de gerçekleştiği varsayılıyor. Çünkü COVID-19 ile ilgili en eski çalışmalar, birçok hastanın her iki akciğerde pnömoni geliştirdiğini ve nefes darlığı gibi semptomların eşlik ettiğini gösteriyor.
Daha sonra ikinci aşama yani bağışıklık sistemi devreye giriyor. Viral bir istilacı varlığında vücudumuz, hasarı gidermek ve akciğer dokusunu onarmak için akciğerleri bağışıklık hücreleri ile doldurarak hastalıkla savaşmak için adım atıyor. Ancak bazen bağışıklık sistemi kontrolden çıkıyor ve bu hücreler sağlıklı dokular da dahil olmak üzere her şeyi öldürüyor.
Üçüncü aşamada, akciğer hasarı oluşmaya devam ediyor ve solunum hasarı ile sonuçlanabiliyor. Ölüm gerçekleşmese bile, bazı hastalar kalıcı akciğer hasarı ile hayatta kalıyor. Dünya Sağlık Örgütü'ne göre, SARS akciğerlerde delik açarak “petek benzeri bir görünüm” oluşturuyor ve bu lezyonlar yeni koronavirüsten etkilenenlerde de var.
Bu durumda, hastalar nefes almaları için sıklıkla ventilatörlere bağlanıyor. Bu arada iltihaplanma, hava keseleri ve kan damarları arasındaki zarları daha geçirgen hale getiriyor ve bu da akciğerleri sıvı ile doldurarak nefes alımını etkileyip ve ölüme yol açıyor.
Mide
SARS ve MERS salgınları sırasında, hastaların yaklaşık dörtte birinde ishal vardı; bu durum koronavirüslerin önemli bir özelliği gibi görünüyor.
Herhangi bir virüs vücuda girdiğinde, en sevdiği girişleri ararlar; reseptör adı verilen hücrelerin dışındaki proteinlerdir bunlar. Virüs bir hücrede uyumlu bir reseptör bulursa istila edebilir.
Hem SARS hem de MERS virüsleri bağırsakları kaplayan hücrelere erişebilir ve bu enfeksiyonlar bağırsakta gelişebilir ve ishale sebep olabilirler. Yalnız yeni koronavirüsün aynı şeyi yapıp yapmadığını henüz bilinmiyor. Araştırmacılar, COVID-19'un SARS ile aynı reseptörü kullandığına inanıyor.
Kan Dolaşımı
Koronavirüsler, hiperaktif bağışıklık tepkisi nedeniyle vücudun diğer sistemlerinde de sorunlara neden olabilirler. 2014 yılında yapılan bir çalışmada, MERS hastalarının yüzde 92'sinde koronavirüsün akciğer dışında en az bir belirtisi olduğu gösterilmiştir. Aslında, koronavirüslerin üçünde de şunlar gözlenmiştir; yüksek karaciğer enzimleri, düşük beyaz kan hücreleri ve trombosit sayısı ve düşük tansiyon.
Columbia Üniversitesi’nde virolog ve yardımcı araştırma bilimcisi Angela Rasmussen, bunun mutlaka virüsün vücudun her tarafına yayıldığının bir işaretinin olmadığını, bir sitokin fırtınası olabileceğini söylüyor.
Sitokinler, bağışıklık sistemi tarafından alarm olarak kullanılan proteinlerdir ve bağışıklık hücrelerini enfeksiyon bölgesine alırlar. Bağışıklık hücreleri daha sonra vücudun geri kalanını kurtarmak için enfekte olmuş dokuyu öldürürler. Ancak kaçak bir koronavirüs enfeksiyonu sırasında, bağışıklık sistemi herhangi bir düzenleme yapmadan sitokinleri akciğerlere attığında, sitokinler sadece enfekte olmuş hücreleri hedef almaz; sağlıklı dokuya da saldırırlar. En şiddetli COVID-19 vakalarının bazılarında, sitokin yanıtı çoklu organ yetmezliğine neden olmuştur.
Karaciğer
Bir koronavirüs solunum sisteminden yayıldığında, karaciğeri de etkiler. Doktorlar SARS, MERS ve COVID-19 hastalarında karaciğer hasarı belirtileri gördüler; genellikle hafif ancak daha ciddi vakalar ciddi karaciğer hasarına ve hatta karaciğer yetmezliğine yol açabiliyor.
Vücudun düzgün çalışabilmesi için karaciğer oldukça sıkı çalışır. Ana işi, kan mideyi terk ettikten sonra kandaki toksinleri filtrelemek ve vücudunuzun kullanabileceği besinleri üretmektir. Ayrıca ince bağırsağın yağları parçalamasına yardımcı olan safrayı yapmak ve vücuttaki kimyasal reaksiyonları hızlandıran enzimler içermek de görevleri arasındadır.
SARS ve MERS hastalarının ortak bir özelliği kanda anormal derecede yüksek enzim seviyelerine sahip olmaları ve bu da bir işaret olabiliyor. Bilim insanları bu solunum virüslerinin karaciğerde nasıl davrandığını tam olarak anlanmadığını söylüyorlar ama virüs doğrudan karaciğeri enfekte ediyor, hücreleri çoğaltıyor ve öldürüyor olabilir.
Böbrek
SARS hastalarının yüzde altısında ve MERS hastalarının tam dörtte birinde akut böbrek hasarı görülmüştü. Çalışmalar, yeni koronavirüsün aynı şeyi yapabileceğini gösteriyor. 2005 tarihli bir araştırmaya göre, akut böbrek yetmezliği olan SARS hastalarının yüzde 91.7'si ölmüştü.
Karaciğer gibi, böbrekler de kanı filtreler. Her böbrek nefron adı verilen yaklaşık 800.000 mikroskobik damıtma ünitesi ile doludur. Bu nefronların iki ana bileşeni vardır; kanı temizlemek için bir filtre ve iyi maddeleri vücuda geri döndüren veya atıkları idrar olarak mesaneye gönderen küçük tüpler.
Koronavirüslerden en çok etkilenen ise böbrek tübülleridir. Hong Kong Üniversitesi'nde profesör olan nefrolog Kar Neng Lai, virüs kan dolaşımınızdaysa tübüllerde bir virüs tespit etmenin olası olduğunu söylüyor. Böbrekler sürekli olarak kanı filtrelediğinden, bazen tübüler hücreler virüsü yakalayabiliyor ve geçici veya daha hafif bir yaralanmaya neden olabiliyorlar. Virüs hücrelere nüfuz edip çoğalmaya başlarsa bu yaralanma ölümcül olabiliyor.
Hamilelik ve Koronavirüs?
Columbia Üniversitesi’nde virolog Angela Rasmussen şunları söylüyor:
Bu çalışmalarda neler olup bittiğine dair güncel raporlar açısından gerçekten benzeri görülmemiş şeyler yaşanıyor. Tüm bilgileri sıralamak ve neyin gerçekten desteklendiğini, spekülatif olanı ve neyin yanlış olduğunu anlamaya çalışmak gerçekten zor.
Örneğin, Wuhan'daki bir hastanedeki doktorlar, iki bebeğin doğumdan sadece 30 saat sonra yeni koronavirüs testlerinin pozitif olduğunu söylediler. Doğal olarak bu rahatsız edici bir haberdi; hamile kadınların doğmamış çocuklarını uterusta enfekte edip edemeyeceği, hastalığın doğum sırasında veya anne sütü ile bulaşıp bulaşamayacağı ile ilgili sorular dikkate alındığında, bu haber, haber kuruluşlarına hızlıca yayıldı.
Ama hamile kadınlar ile ilgili çok sayıda vakaya rağmen, SARS veya MERS ile anneden bebeğe bulaşma gözlenmemiştir. Rasmussen’e göre yenidoğanın koronavirüsü yakalayabilmesinin başka yolları da var; örneğin, telaşlı bir acil durum sırasında enfekte hastalarla dolu olan hastanede doğmak gibi.
The Lancet'te yayınlanan çalışma, koronavirüsün anneden çocuğa geçemeyeceğine dair ön kanıtlar sunuyor. Raporda araştırmacılar Wuhan'da COVID-19 pnömonisi olan dokuz kadını gözlemlediler. Bazı kadınların gebelik komplikasyonları vardı ancak tüm vakalar enfeksiyonu ilettiğine dair kanıt olmadan canlı doğumlarla sonuçlandı. Bu çalışma hamilelik sırasında bulaşma olasılığını tamamen göz ardı etmese de, bu hastalık hakkında spekülasyon yaparken dikkatli olma gereğinin altını çizmektedir.
Sonuç
Bilim insanları yeni koronavirüs araştırmaları için daha fazla kaynak yaratılması gerektiğini söylüyorlar, çünkü cevap verilmesi gereken bir sürü soruyla uğraşmak zorundalar.
Evrim Ağacı'nda tek bir hedefimiz var: Bilimsel gerçekleri en doğru, tarafsız ve kolay anlaşılır şekilde Türkiye'ye ulaştırmak. Ancak tahmin edebileceğiniz gibi Türkiye'de bilim anlatmak hiç kolay bir iş değil; hele ki bir yandan ekonomik bir hayatta kalma mücadelesi verirken...
O nedenle sizin desteklerinize ihtiyacımız var. Eğer yazılarımızı okuyanların %1'i bize bütçesinin elverdiği kadar destek olmayı seçseydi, bir daha tek bir reklam göstermeden Evrim Ağacı'nın bütün bilim iletişimi faaliyetlerini sürdürebilirdik. Bir düşünün: sadece %1'i...
O %1'i inşa etmemize yardım eder misiniz? Evrim Ağacı Premium üyesi olarak, ekibimizin size ve Türkiye'ye bilimi daha etkili ve profesyonel bir şekilde ulaştırmamızı mümkün kılmış olacaksınız. Ayrıca size olan minnetimizin bir ifadesi olarak, çok sayıda ayrıcalığa erişim sağlayacaksınız.
Makalelerimizin bilimsel gerçekleri doğru bir şekilde yansıtması için en üst düzey çabayı gösteriyoruz. Gözünüze doğru gelmeyen bir şey varsa, mümkünse güvenilir kaynaklarınızla birlikte bize ulaşın!
Bu makalemizle ilgili merak ettiğin bir şey mi var? Buraya tıklayarak sorabilirsin.
Soru & Cevap Platformuna Git- 25
- 7
- 7
- 7
- 3
- 1
- 1
- 1
- 0
- 0
- 0
- 0
- Türev İçerik Kaynağı: National Geographic | Arşiv Bağlantısı
- BBC. Coronavirus: Sharp Increase In Deaths And Cases In Hubei. (13 Şubat 2020). Alındığı Tarih: 15 Şubat 2020. Alındığı Yer: BBC | Arşiv Bağlantısı
- Aljezeera. What Happens If You Catch The New Coronavirus?. (15 Şubat 2020). Alındığı Tarih: 15 Şubat 2020. Alındığı Yer: Aljezeera | Arşiv Bağlantısı
Evrim Ağacı'na her ay sadece 1 kahve ısmarlayarak destek olmak ister misiniz?
Şu iki siteden birini kullanarak şimdi destek olabilirsiniz:
kreosus.com/evrimagaci | patreon.com/evrimagaci
Çıktı Bilgisi: Bu sayfa, Evrim Ağacı yazdırma aracı kullanılarak 17/10/2025 07:30:09 tarihinde oluşturulmuştur. Evrim Ağacı'ndaki içeriklerin tamamı, birden fazla editör tarafından, durmaksızın elden geçirilmekte, güncellenmekte ve geliştirilmektedir. Dolayısıyla bu çıktının alındığı tarihten sonra yapılan güncellemeleri görmek ve bu içeriğin en güncel halini okumak için lütfen şu adrese gidiniz: https://evrimagaci.org/s/8277
İçerik Kullanım İzinleri: Evrim Ağacı'ndaki yazılı içerikler orijinallerine hiçbir şekilde dokunulmadığı müddetçe izin alınmaksızın paylaşılabilir, kopyalanabilir, yapıştırılabilir, çoğaltılabilir, basılabilir, dağıtılabilir, yayılabilir, alıntılanabilir. Ancak bu içeriklerin hiçbiri izin alınmaksızın değiştirilemez ve değiştirilmiş halleri Evrim Ağacı'na aitmiş gibi sunulamaz. Benzer şekilde, içeriklerin hiçbiri, söz konusu içeriğin açıkça belirtilmiş yazarlarından ve Evrim Ağacı'ndan başkasına aitmiş gibi sunulamaz. Bu sayfa izin alınmaksızın düzenlenemez, Evrim Ağacı logosu, yazar/editör bilgileri ve içeriğin diğer kısımları izin alınmaksızın değiştirilemez veya kaldırılamaz.