Klonlama ve Genetik Mühendislik: Genler Nasıl Klonlanır?
Gen Klonlama Nasıl Yapılır?

Bu Makalede Neler Öğreneceksiniz?
- Define gene cloning as the process of producing multiple copies of a desired gene within host cells, enabling increased protein production from limited gene samples.
- Explain biotechnology as the artificial modification of organisms' genetic material to create new compounds or functions, used historically for agricultural improvements.
- Highlight biotechnology applications including vaccine and antibiotic production, crop genetic modification, industrial uses like fermentation and bioremediation, and household products.
Gen klonlama, konak hücre içerisinde istenilen bir genin çok sayıda kopyasını elde etme işlemidir. Eğer elinizde az bulunan önemli bir protein geni varsa ve bu proteinden daha fazlasını üretmek istiyorsanız, az sayıdaki protein geni ile bu işlemi yapmanız çok zor ve uzun sürecektir. Oysa 1970 yılında keşfedilen gen klonlama teknikleri sayesinde bir DNA parçasını istediğiniz sayıda üretebilirsiniz.
Biyoteknoloji ise, yapay yollarla organizmaların veya hücrelerin genetik materyalinin değiştirilmesi yoluyla yeni bileşiklerin üretilmesini veya söz konusu organizmalara, hücrelere yeni işlevler kazandırılmasını konu alır ve tarımın başlangıcından bu yana yapay seçilim gibi yollarla çiftlik hayvanlarını ve mahsulleri geliştirmek için kullanılmaktadır.
1953 yılında DNA yapısının keşfedilmesi ve ardından 1970 yılında DNA'yı manipüle etmemizi sağlayan araç ve yöntemlerin geliştirilmesiyle beraber biyoteknoloji, organizmaların DNA'sının moleküler düzeyde manipüle edilmesini de mümkün kılmıştır. Bu teknolojinin başlıca kullanım alanları aşı ve antibiyotik üretimi bağlamında tıp, mahsullerin genetik modifikasyonları bağlamında ise tarımdır. Bunun yanında, aynı teknolojiler fermentasyon, petrol sızıntılarının arıtılması, biyoyakıt üretimi gibi birçok endüstriyel kullanım alanının yanında "enzimli çamaşır deterjanı" gibi birçok ev içi kullanım alanına da sahiptir.
Genetik Materyalin Manipüle Edilmesi
Yukarıda sayılan kullanım alanlarında herhangi bir atılımda bulunmadan önce biyoteknologlar öncelikle nükleik asitleri çıkarabilmeli, manipüle ve analiz edebilmelidir.
Nükleik Asit Yapısına Genel Bakış
Bu başlığa geçmeden, nükleik asitlerle yapılan çalışmalarda kullanılan temel teknikleri okumadan önce bilgilerimizi tazeleyelim:
- Nükleik asitlerin nükleotidlerden (bir şeker, bir fosfat ve bir azotlu baz) oluşan makromoleküllerdir.
- Bu moleküller üzerinde bulunan fosfat gruplarının her biri net negatif yüklüdür. Ökaryotik organizmaların çekirdeğindeki DNA moleküllerinin tamamına ise genom denir.
- DNA, eşleştirilmiş bazlar arasında hidrojen bağları ile birbirine bağlanmış iki tamamlayıcı sarmaldan oluşur.
- Ökaryotik hücrelerdeki DNA'nın aksine, RNA molekülleri çekirdekten çıkar.
- Mesajcı RNA (mRNA), hücrelerde ifade edilen, protein kodlayan genleri temsil etmesi sebebiyle en sık analiz edilen genlerdir.
Klonlanacak Genin Elde Edilmesi ve Nükleik Asitlerin İzolasyonu
Nükleik asitleri incelemek veya manipüle etmek için öncelikle DNA'nın hücrelerden çıkarılması gerekir. Farklı DNA türlerini çıkarmak için farklı teknikler kullanılır. Çoğu nükleik asit ekstraksiyon tekniği, hücrenin açılması ve ardından enzimatik reaksiyonlarla istenmeyen tüm makromoleküllerin yok edilmesini içerir. Hücreler, tamponlayıcı bileşikler içeren bir deterjan çözeltisi kullanılarak açılır. Proteinler ve RNA gibi makromoleküllerin bozulması ve kontaminasyonunu engellemek amacıyla bu makromoleküller enzimlerle inaktive edilir. DNA, alkol ile çözeltiden çıkarılır ve uzun polimerlerden oluştuğu için jelatinimsi bir kütle oluşturur.

RNA, hücrelerdeki genlerin ifade örüntülerini anlamak için incelenir. Ancak RNA, doğal olarak stabil bir halde değildir, zira RNA'yı parçalayan enzimler doğada yaygın olarak bulunur. Hatta bu enzimlerden bazıları cildimizde de bulunmaktadır ve inaktivasyonları çok zordur. DNA ekstraksiyonuna benzer şekilde RNA ekstraksiyonu da diğer makromoleküllerin inaktive edilmesi ve sadece RNA'nın alınması amacıyla çeşitli tamponlardan ve enzimlerden faydalanır.
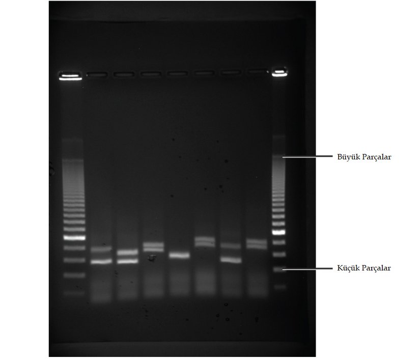
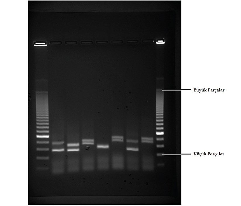
Jel Elektroforezi
Nükleik asitler, sulu bir ortamda nötr veya alkali pH'da negatif yüklü iyonlar halinde bulunurlar; dolayısıyla bir elektrik alanıyla hareket ettirilebilirler. Jel elektroforezi de bu ilkeyi temel alan, yüklü molekülleri boyut ve yük temelinde ayırmak için kullanılan bir tekniktir. Nükleik asitler bu teknikle bütün kromozomlar veya fragmanlar halinde ayrılabilir. Nükleik asitler bir jel matrisinin bir ucundaki bir yuvada kümelenir, bir elektrik akımı uygulanır ve negatif yüklü moleküller jelin karşı (pozitif elektrotlu) ucuna doğru çekilir. Daha küçük moleküller, daha büyük moleküllere kıyasla jeldeki gözeneklerden daha hızlı geçer; geçiş hızındaki bu fark da parçaları boyutlarına göre ayırmamızı sağlar. Jel matrisindeki nükleik asitler, boya gibi görülmelerini sağlayan bir bileşikle boyanana değin görünmezler. Nükleik asitlerin farklı parçaları, boyutlarına bağlı olarak jelin üst kısmından (negatif elektrot ucu) belirli mesafelerde bantlar halinde görülebilmektedir. Farklı boyutlardaki birçok parçadan oluşan bir karışım uzun bir leke olarak görünürken, dokunulmamış genomik DNA genellikle jelden geçemeyecek kadar büyüktür ve jelin tepesinde tek bir büyük bant oluşturur.

Polimeraz Zincir Reaksiyonu (PCR)
DNA analizinde, genellikle genomun bir veya daha fazla spesifik bölgesine odaklanılır ve sıklıkla bir DNA molekülünün yalnızca bir veya birkaç kopyasının daha ileri analizlerde kullanılabileceği durumlarda kullanılır. Bir veya birkaç kopya, jel elektroforezi gibi çoğu prosedür için yetersizdir. Bu prosedürlerin uygulanması gereken durumlarda polimeraz zincir reaksiyonu (PCR) yöntemine başvurulur ve DNA'nın belirli bölgelerinin kopya sayısı, bu yolla hızla artırılır.
PCR yönteminde DNA'yı kopyalayan enzim olan DNA polimerazın özel bir formu ve çoğaltılan DNA'nın belirli bir kısmıyla baz eşleşmesi yapan primer adı verilen diğer kısa nükleotid dizileri kullanılmaktadır. Birçok amaçla kullanılabilecek PCR'ın genel kullanım alanları şu şekildedir:
- Suç mahalline bırakılan bir DNA örneğinin sahibinin belirlenmesi,
- Babalık testleri,
- Küçük miktarlardaki antik DNA'nın modern organizmalarla karşılaştırılması,
- Belirli bir bölgedeki nükleotid dizisinin belirlenmesi,
- COVID-19 testleri.

PCR'ın Temel Aşamaları
DNA Zincirinin Açılması (Denatürasyon)
Kalıp DNA'nın "thermal cycler" kullanarak 95 derecede 1-2 dakika tutularak çift sarmal yapıdaki DNA iplikçiklerinin birbirlerinden ayrılmasıdır. DNA zincirini ayırmak için bazı durumlarda 5-10 dakikada ön ısıtma yapmak gerekebilir.
Evrim Ağacı'nın çalışmalarına Kreosus, Patreon veya YouTube üzerinden maddi destekte bulunarak hem Türkiye'de bilim anlatıcılığının gelişmesine katkı sağlayabilirsiniz, hem de site ve uygulamamızı reklamsız olarak deneyimleyebilirsiniz. Reklamsız deneyim, sitemizin/uygulamamızın çeşitli kısımlarda gösterilen Google reklamlarını ve destek çağrılarını görmediğiniz, %100 reklamsız ve çok daha temiz bir site deneyimi sunmaktadır.
KreosusKreosus'ta her 50₺'lik destek, 1 aylık reklamsız deneyime karşılık geliyor. Bu sayede, tek seferlik destekçilerimiz de, aylık destekçilerimiz de toplam destekleriyle doğru orantılı bir süre boyunca reklamsız deneyim elde edebiliyorlar.
Kreosus destekçilerimizin reklamsız deneyimi, destek olmaya başladıkları anda devreye girmektedir ve ek bir işleme gerek yoktur.
PatreonPatreon destekçilerimiz, destek miktarından bağımsız olarak, Evrim Ağacı'na destek oldukları süre boyunca reklamsız deneyime erişmeyi sürdürebiliyorlar.
Patreon destekçilerimizin Patreon ile ilişkili e-posta hesapları, Evrim Ağacı'ndaki üyelik e-postaları ile birebir aynı olmalıdır. Patreon destekçilerimizin reklamsız deneyiminin devreye girmesi 24 saat alabilmektedir.
YouTubeYouTube destekçilerimizin hepsi otomatik olarak reklamsız deneyime şimdilik erişemiyorlar ve şu anda, YouTube üzerinden her destek seviyesine reklamsız deneyim ayrıcalığını sunamamaktayız. YouTube Destek Sistemi üzerinde sunulan farklı seviyelerin açıklamalarını okuyarak, hangi ayrıcalıklara erişebileceğinizi öğrenebilirsiniz.
Eğer seçtiğiniz seviye reklamsız deneyim ayrıcalığı sunuyorsa, destek olduktan sonra YouTube tarafından gösterilecek olan bağlantıdaki formu doldurarak reklamsız deneyime erişebilirsiniz. YouTube destekçilerimizin reklamsız deneyiminin devreye girmesi, formu doldurduktan sonra 24-72 saat alabilmektedir.
Diğer PlatformlarBu 3 platform haricinde destek olan destekçilerimize ne yazık ki reklamsız deneyim ayrıcalığını sunamamaktayız. Destekleriniz sayesinde sistemlerimizi geliştirmeyi sürdürüyoruz ve umuyoruz bu ayrıcalıkları zamanla genişletebileceğiz.
Giriş yapmayı unutmayın!Reklamsız deneyim için, maddi desteğiniz ile ilişkilendirilmiş olan Evrim Ağacı hesabınıza üye girişi yapmanız gerekmektedir. Giriş yapmadığınız takdirde reklamları görmeye devam edeceksinizdir.
Primerlerin Açılan DNA Zincirlerine Yapışması (Annealing)
Thermal cycler içindeki sıcaklığın 37-65 dereceye kadar düşürülmesiyle işlem başlar. Sıcaklığın düşmesiyle oligonükleotit primerlerinin açılan DNA zincirlerinin kendi baz dizilerine karşılık gelen bölgeye yapışması işlemidir. Bu işlem, üretilecek baz uzunluğuna bağlı olarak saniyeler içinde gerçekleşmektedir.
Primer Uzaması
DNA zincirleri üzerine yapışan primerlerin DNA polimeraz enzimi vasıtasıyla uzatılmasıdır. Taq DNA polimeraz 72 derece sıcaklıkta daha iyi çalıştığından, genel olarak tüm çoğaltma işlemleri bu sıcaklıkta yapılır.

Klonlama
Klonlama, genel bağlamda mükemmel bir kopyanın yaratılması anlamına gelir ve tipik olarak bu kopya, kopyalandığı organizma ile genetik olarak özdeştir. Biyolojide, bütün bir organizmanın yeniden yaratılması "çoğaltımsal klonlama" olarak adlandırılır. Bütün bir organizmayı klonlama girişimleri yapılmadan çok önce araştırmacılar, moleküler klonlama adı verilen yöntemle DNA'nın kısa uzantılarının nasıl kopyalanacağını keşfetmişlerdir.
Moleküler Klonlama
Klonlama, genlerin birden fazla kopyasının oluşturulmasına, genlerin ifade edilmesine ve belirli genlerin incelenmesine olanak tanır. Ancak kopyalanacak olan DNA parçaları, konak hücresine doğrudan giremezler. Ancak restriksiyon enzimiyle kesilmiş bir DNA parçası, "vektör" adı verilen ve yine restriksiyon enzimi ile kesilmiş başka bir DNA molekülü ile birleşirse, konak hücreye girer.
Vektör Nedir? Özellikleri Nelerdir?
Vektörler, kendilerine takılan DNA parçasını nakleden ve replike eden taşıyıcı DNA moleküllerindendir. Her DNA molekülü vektör olarak kullanılmaz. Aşağıdaki gibi bazı özellikleri olması gerekir:
- Kendini ve taşıdığı herhangi bir DNA parçasını bağımsız replike edebilmelidir.
- Klonlanacak DNA parçasının insersiyonuna olanak tanıyan birçok tanıma dizisi içermelidir.
- Vektörde seçicilik sağlayan marker genler bulunmalıdır. Bunlar, vektör taşıyan ve taşımayan konak hücreleri ayırmak için gereklidir.
- Vektör, dolayısıyla vektörün taşıdığı DNA parçası, konaktan kolay bir şekilde ayrıştırılabilmelidir.
Bu özelliklere sahip birçok farklı klonlama vektörü vardır.
Bu şekilde, DNA parçasını kopyalanacak veya ifade edilecek bir biçimde bir bakteri hücresine dahil etmek için parça, öncelikle bir plazmide (vektöre) yerleştirilir.
Plazmid Nedir? Nasıl Çalışır?
Plazmidler, bakterilerdeki kromozomal DNA'dan bağımsız olarak çoğalan küçük ve dairesel DNA molekülleridir. Klonlama bağlamında bu moleküller, belirlenen bir DNA parçasının taşınacağı "araçlar" olarak kullanılabilmektedir. Bu şekilde modifiye edilmiş plazmidler genellikle replikasyon amacıyla bakteriyel bir konağa ulaştırılır. Bakteriler de bölündükçe plazmidleri ayırmaksızın kendi DNA'larını kopyalar, dolayısıyla eklenen DNA parçası da bakteriyel DNA'nın geri kalanıyla birlikte kopyalanır. Bakteri hücrelerine vektör ile eklenen, insan genomundan veya başkaca bir organizmadan alınmış DNA parçaları, "yabancı DNA" olarak adlandırılmaktadır.
Plazmidler (Escherichia coli gibi) bakteri popülasyonlarında doğal olarak meydana gelir ve antibiyotik direnci gibi organizmaya faydalı özellikler katabilecek genler içerir. Bunun da yanında plazmidler, moleküler klonlama ve insülin gibi insan sağlığı açısından önemli moleküllerin büyük ölçekli üretiminde vektör olarak kullanılmak üzere tasarlanmaktadır.
Plazmid vektörlerin önemli bir özelliği, yabancı bir DNA parçasının konak organizmaya kolaylıkla eklenebilmesidir. Bu plazmid vektörler, yaygın olarak bulunan ve yabancı DNA'lara karşı bir savunma mekanizması olan (restriksiyon endonükleazları olarak da bilinen) restriksiyon enzimleriyle kesilebilen birçok kısa DNA dizisi içerir. Bu enzimler, belirli DNA dizilerini tanıyabilir ve tanıdıkları dizileri öngörülebilir bir şekilde keser.
Birçok restriksiyon enzimi DNA'nın iki ipliğinde kademeli kesimler yapmaktadır ve kesilen uçlarda 2 ila 4 nükleotidlik tek sarmallı bir çıkıntı oluşur. Restriksiyon enzimi tarafından tanınan dizi, aynı zamanda bir palindrom (düz ve ters okunduğunda aynı) olan dört ila sekiz nükleotidlik bir dizidir. Çoğu durumda ilgili dizi, bir sarmalda ileriye doğru nasıl okunuyorsa tamamlayıcı dizide de geriye doğru aynı şekilde okunur. Böyle bir dizide kademeli bir kesim yapıldığında, çıkıntıların birbirini tamamlayıcı nitelikte olduğu görülür.

Bu çıkıntılar, aynı restriksiyon enzimi ile kesilmiş bir DNA parçası üzerindeki tamamlayıcı çıkıntılarla hidrojen bağı kurarak tekrar bir araya gelebilmektedir, bu sebeple "yapışkan uçlar" adını almışlardır. Çift sarmallı DNA oluşturmak amacıyla tek sarmal üzerindeki tamamlayıcı diziler arasında hidrojen bağları oluşturması işlemine ise tavlama adı verilmiştir. Hücrelerde DNA replikasyonunda görev alan DNA ligaz adlı bir enzimin eklenmesiyle yapışkan uçlar bir araya geldiğinde DNA parçalarının kalıcı olarak birleşmesi sağlanır. Böylelikle herhangi bir DNA parçası, aynı restriksiyon enzimi ile kesilmiş bir plazmid DNA'sının iki ucu arasına eklenebilmektedir.

Yapışkan Uçların Bağlanması
Aynı cins restriksiyon enzimle kesilmiş DNA parçaları ve vektör bir araya getirildiğinde, kökenleri farklı olsa bile birbirlerini tamamlayıcı özellikteki yapışkan uçları taşımalarından dolayı uçlar arasındaki baz eşleşmeleriyle moleküller bağlanır. Sonrasında ligaz enzimi nükleotidler arasında fosfodiester bağları kurarak açık uçları kapatır. Bu yöntem, rDNA elde etmek için kullanılan en basit ve etkili yoldur.

Bağlayıcı ya da Aracı Moleküller Kullanarak Bağlanma
Bu yöntem, küt olan uçların bağlanmasında kullanılır. Aracı olarak yapay bağlayıcı moleküller kullanılmaktadır. Bu sentetik aracı moleküller 6-10 baz çiftinden oluşan oligonükleotidlerdir. Bu moleküller, 5' uçları polinükleotid kinaz ile fosforlanma sonrası T4 DNA ligaz yardımıyla küt uçlu parçalara bağlanır ve bir restriksiyon enzimi yardımıyla yapışkan uçlar oluşturulur. Bu şekilde oluşturulmuş diğer bir taşıyıcıya bağlanma ve aralıkların ligazla kapatılmasıyla bağlanma işlemi tamamlanır.
Homopolimerik Tek Zincirli Kuyruklar Kullanarak Bağlanma
Bu yöntemle de küt uçların bağlanması sağlanmaktadır. Küt uçların 3' uçlarında terminal transferaz enzimi yardımıyla homopolimerik tek zincirli kuyruklar takılır. Bu yöntem, genellikle ökaryotik genlerin çoğaltılmasında kullanılır.
Bu üç yöntemlerden birini kullanarak, genimizi vektörümüzle birleştirebiliriz. Böylece rekombinant bir vektör elde ederiz. Ancak DNA parçası vektörle çok iyi birleşse bile, henüz tam olarak hazır sayılmaz. Vektör özellikleri arasında saydığımız "marker gen" denen işaretleyici bir gene ihtiyaç vardır. Bu gen, genellikle antibiyotik direnç genidir ve ilerde bahsedeceğimiz vektörleri ayırma işleminde önemi daha net anlaşılacaktır.
Yeni genetik materyal kombinasyonları içeren, yabancı DNA eklenmiş plazmidlere rekombinant DNA molekülleri adı verilmiştir. Bu moleküllerin ürettiği proteinler ise rekombinant proteinler adını almıştır. Tüm rekombinant plazmidler, genleri ifade edemeyebilir ve proteinleri yalnızca belirli çevresel faktörlerle uyarıldıklarında ifade edecek şekilde tasarlanabilir. Bilim insanları da bu yolla rekombinant proteinlerin ifadesi üzerinde kontrol sahibi olmaktadır.
Çoğaltımsal Klonlama
Çoğaltımsal klonlama, çok hücreli bir organizmanın tamamının bir klonunu veya özdeş bir kopyasını yapmak için kullanılan bir yöntemdir. Çok hücreli organizmaların çoğu, iki bireyin de (ebeveyn) DNA katkısında bulunduğu eşeyli yolla ürer; bu da ebeveynlerden birinin bir klonunu üretmeyi imkansız hale getirir. Biyoteknolojideki son gelişmeler, memelilerin laboratuvar ortamında çoğaltımsal klonlama yöntemiyle klonlanmasını mümkün kılmıştır.
Doğal eşeyli üreme, döllenme sırasında bir sperm ve bir yumurtanın birleşmesini içerir. Bu gametlerin her biri haploiddir, yani çekirdeklerinde bir set kromozom içerirler. Ortaya çıkan hücre ya da zigot ise diploiddir ve iki set kromozom içerir. Bu hücre mitotik olarak bölünerek çok hücreli bir organizma meydana getirir. Bununla birlikte, herhangi bir iki hücrenin birleşmesi canlı bir zigot meydana getiremez; zira yumurta hücresinin sitoplazmasında, ilk birkaç hücre bölünmesi sırasında embriyonun erken gelişimi için gerekli olan bileşenler bulunmaktadır. Bu bileşenler olmaksızın sonraki gelişim evreleri başlayamaz. Bu nedenle, yeni bir bireyin oluşumu için hem diploid bir genetik tamamlayıcı, hem de bir yumurta sitoplazması gereklidir.
Bir bireyin yapay olarak klonlanması süreci, bir bireyin yumurta hücresinin alınması ve haploid çekirdeğin çıkarılmasıyla başlar. Bunun ardından ikinci bir bireyin diploid çekirdeği alınır ve alınan haploid yumurta çekirdeğine yerleştirilir. Daha sonra yumurtaya, bölünmenin başlaması için elektrik verilir ve böylece gelişim devam eder. Bu şekilde anlatıldığında kulağa basit gelse de, her bir adımın başarıyla tamamlanması için pek çok deneme yapılması gerekmektedir.
İlk klonlanmış tarım hayvanı, 1996 yılında doğan koyun Dolly'dir. O dönemde çoğaltımsal klonlamanın başarı oranı çok düşüktü. Nitekim Dolly de altı yıl yaşamış, bir akciğer tümörü nedeniyle ölmüştür. Bu ölümün ardından Dolly'de kullanılan hücre DNA'sının daha yaşlı bir bireyden gelmesinin, bir başka deyişle DNA yaşının Dolly'nin ömrünü etkilemiş olabileceğine dair spekülasyonlar doğmuştur. Dolly'den bu yana atlar, boğalar ve keçiler gibi çeşitli hayvan türleri başarıyla klonlanmıştır.
Embriyonik kök hücre kaynağı olarak kullanmak üzere klonlanmış insan embriyosu üretmeye yönelik girişimler de olmuştur. Bu prosedürde yetişkin bir insandan alınan DNA, bölünmesi için uyarılan bir insan yumurta hücresine eklenir. Bu yöntem, Dolly'yi üretmek için kullanılan teknolojiye benzemektedir; ancak Dolly'den farklı olarak embriyo, taşıyıcı anneye yerleştirilmemektedir. Üretilen hücreler, kas ve sinir hücreleri gibi birçok farklı hücre türüne dönüşebilme kapasitesine sahiptir ve bu nedenle embriyonik kök hücreler olarak adlandırılır. Bu embriyonik kök hücreler, araştırma amaçlarıyla ve nihayetinde hasarlı dokuların değiştirilmesi gibi terapötik amaçlarla kullanılabilmektedir. Zira klon, genin anıldığı organizma ile özdeş olduğundan mükemmel eşleşmeler mümkün olmaktadır. Dolayısıyla bu yöntem ile örneğin bir lösemi hastası, kemik iliği nakli için doku uyumu olan bir kardeşe ihtiyaç duymayacaktır.

Taşıyıcının Konak Hücreye Aktarılması
Tüm bakteri türleri, DNA alımında eşit şekilde etkili değildir ve klonlamada en çok E. coli bakterisi kullanılmaktadır.
Transformasyondan önce vektörün bakteriye daha rahat girmesini sağlamak için bakteriye bazı muameleler uygulanır. Bu uygulamalardan sonra bakteriye "kompetan bakteri hücresi" denir ve vektörü içine alma kapasitesi arttırılır.
Transformasyon Etkinliği
Konak hücrenin hedef geni taşıyan ve onu ifade edebilecek hücre dışı aracı molekülü alabilme kapasitesidir ve tamamen kompetent hücreye bağlıdır. Transformasyon öncesi konağa gönderilecek aracı molekülün konsantrasyonu iyi ayarlanmalı ve optimum miktarda olmalıdır. Az veya yoğun olması transformasyon başarısını olumsuz olarak etkiler.
Transformasyon Etkinliğini Etkileyen Faktörler
Transformasyon basamağının başarılı olabilmesini sağlayan bir dizi faktör bulunmaktadır. Bunlar, şu şekilde sıralanabilir:
- Plazmid boyutu: Hücre kapasitesini zorlamayacak büyüklükte molekül olmalıdır.
- DNA formu: Süper sarmal yapıya sahip plazmidlerin transformasyonda daha etkili olduğu doğrulanmıştır.
- Hasarlı Materyal: Hücrelerin doğru şekilde kompetent hale getirilmemesi. Kullanılan materyallerin kontamine olması.
- Transformasyon Yöntemi: Bu alt başlığı daha ayrıntılı incelememiz gerekiyor çünkü iki farklı transformasyon yöntemimiz vardır ve oldukça önemlidir.
Transformasyon Yöntemleri
Isı Şoku
Bakterileri ve plazmidi soğuk ortamdan hızlıca sıcak ortama geçirerek, bakteri hücresinde porların açılmasını ve vektörün hücre içine girmesini sağlarız. Basamakları şu şekildedir:
- E. coli'ler büyümenin lag fazı evresindeyken soğuk kalsiyum klorür solüsyonuna alınır. Aynı zamanda plazmidler soğuk solüsyona atılır.
- Solüsyon, 42 derece de ısı şokuna alınır ve bu sırada E. coli'ler plazmidleri içine almış olur.
- Solüsyondan çıkarılan E. coli'ler besi ortamına alınır.
Elektroporasyon
E. coli'lere, elektroşok tüpünde elektrik vererek ve bu elektrik sayesinde hücre zarında nanometre boyutunda gözenekler açarak, E. coli'nin plazmidi içeri almasını sağlayan yöntemdir. Bu yöntemde dikkat edilmesi gereken şey, elektrik yükü altında kalmış bakterilerin besince zengin besi yerlerine hızlıca alınması gerektiğidir. Basamakları şu şekildedir:
- Yine lag fazındaki E. coli kültürü santrifüj edilir.
- Bakterileri steril suda süspanse ettikten sonra, süspanse edilen kap buzlu kova içine alınır ve bekletilir. Bu bekletmeden sonra bir kez daha santrifüj yapılır.
- E. coli'ler ve plazmidler elektroşok tüpüne alınır ve yüksek voltajda elektrik kısa süreli olarak verilir.
Son Adımlar
Bu iki yöntemden birini kullanarak plazmidi (vektör) E. coli bakterilerine aktardıktan sonra, bakterileri hemen uygun besi yerine almak gerekir. Uygun besi yeri, mikroorganizmaların veya hücrelerin gelişimini desteklemek için hazırlanmış sıvı yada jel olan besleyici ortamdır. Bu ortamda E. coli'ler rahatça büyür ve gelişir.
Sonrasında, vektörü alan bakterilerin hangileri olduğunu anlamak için besi yerine antibiyotik eklenir. Hatırlayacağınız üzere vektörün içinde antibiyotik direnç geni bulunmaktaydı. İşte o gen, bu basamak nedeniyle önemlidir. Bu sayede, antibiyotikli besi yerinde sadece vektörü taşıyan bakteriler kalır.
Bu vektörü taşıyan canlı hücreleri ölü hücrelerden ayırmak için LacZ geni kullanılır. Vektöre başta eklenen LacZ geni, beta galaktosidaz enzimini parçalar ve ortama renk verir. Böylece vektörü taşıyan canlı hücreleri ölü hücrelerden kolaylıkla ayrılır. Ayrılan hücreleri yeni bir besi yerine alarak, çoğaltmak istenen genler istendiği kadar klonlanabilir. Klonlanan genler de protein ifadesinde kullanılarak ürüne dönüştürülebilir.
Genetik Mühendislik
Bir organizmanın DNA'sını arzu edilen özellikleri elde edecek şekilde değiştirme amacıyla rekombinant DNA teknolojisinin kullanılması, genetik mühendisliğinin alanıdır. Moleküler klonlama ile üretilen rekombinant DNA vektörleri aracılığıyla yabancı DNA eklenmesi, genetik mühendisliğinde kullanılan en yaygın yöntemdir. Rekombinant DNA içeren organizmalara ise genetiği değiştirilmiş organizma (GDO) adı verilir. Eklenen yabancı DNA farklı bir türden geliyorsa, konakçı organizma transgenik olarak adlandırılır. Genetik değiştirme çalışmaları, bakteriler, bitkiler ve hayvanlarda 1970'lerin başından bu yana akademik, tıbbi, tarımsal ve endüstriyel amaçlarla uygulanmaktadır.
Genlerin işlevini incelemeye yönelik klasik yöntemler, belirli bir fenotipin genetik temellerini belirlemekle sınırlı kalmaktadır. Buna karşın modern yöntemler, araştırmacıların DNA dizisi düzeyinde çalışmalarına başlayıp "Bu gen veya DNA elementi ne işe yarıyor?" sorusunu sormalarına olanak tanır.
Tersine genetik olarak adlandırılan bu teknik, klasik genetik yöntemlerin tersine çevrilmesiyle oluşturulmuştur. Bu yöntemin bir örneği, bir vücut parçasının işlevini belirlemek amacıyla bu vücut parçasına zarar vermeye benzer. Yani, bir kanadını kaybeden bir böcek uçamaz, bu da kanadın işlevinin uçuş olduğu anlamına gelir. Klasik genetik yöntem, uçamayan böcekleri uçabilen böceklerle karşılaştırır ve uçamayan böceklerin kanatlarını kaybettiğini gözlemler. Tersine genetikte de benzer bir yaklaşımla, genlerin mutasyona uğraması veya silinmesi, araştırmacılara mutasyona uğramış veya silinen genin işlevi hakkında ipuçları verir. Tersine genetik yaklaşımının kullanıldığı bir başka alan da bir genin normalden fazla ifade edilmesine sebep olarak hangi fenotipik etkilerin doğacağını gözlemlemektir.
Özet
- Nükleik asitler, hücrelerin açılması ve diğer tüm ana makromoleküllerin enzimatik yollarla yok edilmesiyle hücrelerden izole edilebilir ve incelenebilir.
- Bütün halinde veya parçalanmış kromozomlar, jel elektroforezi ile boyut ölçütü kullanılarak ayrılabilir.
- Kısa DNA parçaları PCR yöntemi ile çoğaltılabilir.
- DNA, restriksiyon enzimleri kullanılarak kesilebilir (ve daha sonra yeniden birleştirilebilir).
- Biyoteknolojinin moleküler ve hücresel teknikleri, araştırmacıların arzu edilen özellikleri elde etme amacıyla değiştirmelerine olanak tanır.
- Klonlama, küçük DNA parçalarının klonlanmasını (moleküler klonlama) veya tüm organizmaların klonlanmasını (çoğaltımsal klonlama) içerebilir.
- Bakteriler üzerinde yapılan moleküler klonlamada, istenen bir DNA parçası restriksiyon enzimleri ile bir bakteri plazmidine yerleştirilir ve plazmid, yabancı DNA'yı ifade edecek bakterilerce hücreye alınır.
- Başkaca teknikler kullanılarak genler, ökaryotik hücrelere de aktarılabilmektedir.
- Her iki durumda da organizmalar transgenik, yani türlerinin dışında bir gen taşıyan organizmalar olarak adlandırılır.
- Çoğaltımsal klonlamada, donörden alınan çekirdek, çekirdeği alınmış bir yumurta hücresine konulur ve bu hücrenin de şoklanma yoluyla bölünmesi ve gelişmesi sağlanır.
- Tersine genetik yöntemlerinde ise bir gen, tüm organizmanın fenotipi üzerindeki etkisini belirlemek amacıyla mutasyona uğratılır veya silinir. Bu yolla genin fonksiyonu da belirlenmektedir.
Evrim Ağacı'nda tek bir hedefimiz var: Bilimsel gerçekleri en doğru, tarafsız ve kolay anlaşılır şekilde Türkiye'ye ulaştırmak. Ancak tahmin edebileceğiniz gibi Türkiye'de bilim anlatmak hiç kolay bir iş değil; hele ki bir yandan ekonomik bir hayatta kalma mücadelesi verirken...
O nedenle sizin desteklerinize ihtiyacımız var. Eğer yazılarımızı okuyanların %1'i bize bütçesinin elverdiği kadar destek olmayı seçseydi, bir daha tek bir reklam göstermeden Evrim Ağacı'nın bütün bilim iletişimi faaliyetlerini sürdürebilirdik. Bir düşünün: sadece %1'i...
O %1'i inşa etmemize yardım eder misiniz? Evrim Ağacı Premium üyesi olarak, ekibimizin size ve Türkiye'ye bilimi daha etkili ve profesyonel bir şekilde ulaştırmamızı mümkün kılmış olacaksınız. Ayrıca size olan minnetimizin bir ifadesi olarak, çok sayıda ayrıcalığa erişim sağlayacaksınız.
Makalelerimizin bilimsel gerçekleri doğru bir şekilde yansıtması için en üst düzey çabayı gösteriyoruz. Gözünüze doğru gelmeyen bir şey varsa, mümkünse güvenilir kaynaklarınızla birlikte bize ulaşın!
Bu makalemizle ilgili merak ettiğin bir şey mi var? Buraya tıklayarak sorabilirsin.
Soru & Cevap Platformuna Git- 8
- 3
- 2
- 2
- 2
- 1
- 1
- 1
- 0
- 0
- 0
- 0
- T. A. Brown. (1990). Gene Cloning: An Introduction.. ISBN: 9781119072560. Yayınevi: Chapman and Hall.
- Y. Zhang, et al. (2000). Dna Cloning By Homologous Recombination In Escherichia Coli. Nature Biotechnology, sf: 1314-1317. | Arşiv Bağlantısı
- A. J. Griffiths, et al. (2015). An Introduction To Genetic Analysis. ISBN: 9781464109485. Yayınevi: W. H. Freeman.
- Wikipedia. Transformasyon. (10 Mart 2021). Alındığı Tarih: 28 Kasım 2021. Alındığı Yer: Wikipedia | Arşiv Bağlantısı
- C. Baum, et al. (1994). An Optimized Electroporation Protocol Applicable To A Wide Range Of Cell Lines.. Biotechniques, sf: 1058-1068. | Arşiv Bağlantısı
- Y. Ünver. (Bilimsel Broşür, 2021). Gen Mühendisliği.
Evrim Ağacı'na her ay sadece 1 kahve ısmarlayarak destek olmak ister misiniz?
Şu iki siteden birini kullanarak şimdi destek olabilirsiniz:
kreosus.com/evrimagaci | patreon.com/evrimagaci
Çıktı Bilgisi: Bu sayfa, Evrim Ağacı yazdırma aracı kullanılarak 23/10/2025 17:45:33 tarihinde oluşturulmuştur. Evrim Ağacı'ndaki içeriklerin tamamı, birden fazla editör tarafından, durmaksızın elden geçirilmekte, güncellenmekte ve geliştirilmektedir. Dolayısıyla bu çıktının alındığı tarihten sonra yapılan güncellemeleri görmek ve bu içeriğin en güncel halini okumak için lütfen şu adrese gidiniz: https://evrimagaci.org/s/13689
İçerik Kullanım İzinleri: Evrim Ağacı'ndaki yazılı içerikler orijinallerine hiçbir şekilde dokunulmadığı müddetçe izin alınmaksızın paylaşılabilir, kopyalanabilir, yapıştırılabilir, çoğaltılabilir, basılabilir, dağıtılabilir, yayılabilir, alıntılanabilir. Ancak bu içeriklerin hiçbiri izin alınmaksızın değiştirilemez ve değiştirilmiş halleri Evrim Ağacı'na aitmiş gibi sunulamaz. Benzer şekilde, içeriklerin hiçbiri, söz konusu içeriğin açıkça belirtilmiş yazarlarından ve Evrim Ağacı'ndan başkasına aitmiş gibi sunulamaz. Bu sayfa izin alınmaksızın düzenlenemez, Evrim Ağacı logosu, yazar/editör bilgileri ve içeriğin diğer kısımları izin alınmaksızın değiştirilemez veya kaldırılamaz.