20 Yaş Dişi Nedir? Neden Sorun Çıkarır?
Evrimsel Süreçte Körelmiş 20 Yaş Dişlerimiz, İnsan Evrimi ile İlgili Bize Neler Öğretir?

20 Yaş Dişleri (İng: Wisdom Teeth), insan türünün hem alt hem üst çenesinde bulunan azı dişleri arasında en arkada, üçüncü azı dişleri olarak çıkan dişlerdir. Ağıza sürme yaşı ortalama 17-25 arasında olduğundan ve insan bu yaşlarda daha eğitimli ve dolayısıyla nispeten akıllı olduğundan buna “akıl dişi” de denilmektedir.
Normal olarak, her bir çenenin iki köşesinde de birer tane olmak üzere 4 tanedirler. Ancak kimi yetişkinde bu sayı daha da artabilir.
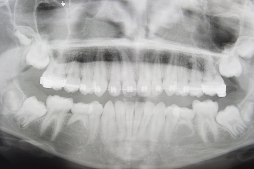
Yirmi yaş dişlerinin sıklıkla gömülü kalırlar, çıktıkları zaman doğru şekilde çıkmazlar ve diğer dişlere sürtünerek onların yapısını bozabilirler. Bu nedenle de ağrı ve enfeksiyona neden oldukları bilinmektedir. Bunun haricinde ise hiçbir işlevleri bulunmamaktadır. Dolayısıyla ağrıya neden oldukları zaman, diş hekimleri tarafından çekilerek hasta rahatlatılabilmektedir. 20 yaş dişleri çekilen kişilerin ağız fonksiyonlarında hiçbir azalma olmamaktadır. Aşağıda bu dişleri görmektesiniz:


Uzun yıllar insanlar bu dişlerin en başından neden var olduğunu anlayamamış ve bir çeşit "lanet" olarak görmüşlerdir; zira 20 yaş dişlerinin çıkmaya başlamasından çekilene kadar verdiği acıyı, bu dişleri sorunlu olarak çıkan kişiler gayet iyi bilirler. Ancak evrimsel biyolojinin gelişimiyle birlikte öncelikle insan evrimine ışık tutulmuş, daha sonra da bu tip körelmiş organların varlığı açıklanmıştır. 20 yaş dişleri de, insanda görülen 40'tan fazla körelmiş organ ve yapıdan sadece birisidir. Aşağıda, bu körelmiş yapıların ne şekilde hatalı oluşabileceklerine örnekler görülmektedir:


20 Yaş Dişleri ve Evrim
Evrimsel biyolojinin üzerine kurulduğu ve doğada her yerde görülen evrim yasasını açıklayan Evrim Kuramı'nın ortaya koyduğu üzere, insan türü günümüzden 6 milyon yıl kadar önce şempanzeler ve bonobolarla ortak olan atamızdan ayrılarak, günümüzdeki insana kadar evrimleşmiştir. Bu süreçte pek çok değişim geçirmiş, evrimi sırasında pek çok özellik edinip, pek çok özellik yitirmiştir. Bunlardan biri de, diyetin (beslenmenin) değişimine bağlı olarak yapısal evrim geçirmesidir.
İnsanların en ilkin ataları halen hem ağaçlarda, hem yerde yaşamaya uygun bir anatomiye sahiptiler. Genellikle meyveler ve yeşillikler ile beslenmektelerdi. Vücutlarında bulunan apandiks organı, yeşillik içerisinde bolca bulunan selülozun (glikozdan oluşan bir polimolekül) sindirimi için bazı enzimler salgılıyordu. Ancak selülozun sindirimi asla kolay olmadığı için, sadece bu enzimler yeterli olmuyordu.
Bu sebeple hayvanların pek çoğunun özel adaptasyonlar geçirmesi gerekti. Örneğin bir takım hayvan türünde bu sorun geviş getirmenin evrimleşmesi sonucu besinlerin birden fazla defa öğütülmesiyle çözülmüştür. Bazı diğerlerinde ise selüloz sindirebilen bakterilerle mutualist yaşam evrimleşmiştir ve bu bakterilerin üretebildiği selülaz enziminden faydalanmışlardır. Bu konuda daha fazla bilgiyi buradan alabilirsiniz. Bir diğer hayvan türü olan insanda ise bu sorun, güçlü bir çene ile, daha fazla mekanik kuvvet uygulayarak çözülme yoluna girmiştir.
Burada "çözmüştür", "çalışmıştır" gibi etken fiiller kullanmamız sizi yanıltmasın. Elbette evrim, bir türün "istekleri" ve "çabaları" doğrultusunda yaşanmaz. Dolayısıyla az önce söylediklerimizi daha doğru ifade edecek olursak: Her zaman daha geniş, daha çok ve güçlü diş barındırabilen çenelere sahip olan bireyler, yedikleri yeşilliklerden daha fazla enerji üretebilmeyi başarmışlardır (daha fazla sindirebildikleri için) ve bu sayede de gerek hayatta kalma konusunda, gerek üreme konusunda daha avantajlı konuma geçmişlerdir. Böylece kendilerine bu avantajı sağlayan genler gelecek nesillere daha sık aktarılmış ve türün popülasyonları, bu özelliği giderek daha sık göstermeye başlamışlardır. İşte bu, evrimdir!
Yani buradan anlamamız gereken şudur: Eskiden türümüzün çenesi çok daha genişti ve daha fazla diş barındırıyordu. İşte 20 yaş dişleri dediğimiz üçüncü azı dişlerimiz de bu zamanlarda otların daha güçlü bir şekilde, daha hızlı ve daha etkili parçalanmasını ve öğütülmesini sağlamaktaydı. Yani bunlar, o zamanlar son derece işlevsel yapılardı.
Ancak evrimsel sürecin bir noktasında, şempanzelerden ayrılmamızdan çok da uzun olmayan bir süre sonra, insan türü ağaçlardan inerek savana yaşantısına başladı. Bu ortamda uzun mesafelerde göç etmeye, savananın kısa otları arasında hayatını sürdürmeye ve uzun zamanlar saklanacak veya meyvelerinden faydalanacak tek bir ağaç bile bulamadan yaşamaya başladı. Bu sebeple de eskiden yiyebildiği yeşillikleri ve meyveleri bulabilmesi giderek zorlaştı. İşte bu yüzden, türümüzün atalarının popülasyonları içerisinde, savana ortamında bolca bulunan ete yönelebilen bireyler avantajlı konuma geçmeye başladılar.
Et, otlara ve meyvelere göre çok daha farklı bir besin kaynağıydı, başa çıkması güç bakterilere sahipti ve hatta ilk defa et yemeye başlayan atalarımız için mide bulandırıcıydı. Ancak içerisindeki ot ve meyvelerle kıyaslanmayacak kadar fazla olan besin maddesi ve yeni yaşam ortamında bolca bulunabilmesi açısından o günlerde yaşayan bireyler için bir zorunluluktu. Öte yandan, bazı araştırmalara göre belki de atalarımız ormanlarda yaşadığı zamanlarda da et tüketiyordu; ancak bu et tüketimi, diyetlerinin çok küçük bir yüzdesini oluşturuyordu. Örneğin yaşayan en yakın kuzenimiz olan şempanzeler, ormanlarda yaşayıp aslen meyve-kökenli besinlerle beslenseler de, sıklıkla et de tüketmektedirler. Biz de, bu şekilde eti çok da zorlanmadan tüketmeye ve hatta ana besin kaynağımız haline getirmiş olabiliriz.
Aslında maddi destek istememizin nedeni çok basit: Çünkü Evrim Ağacı, bizim tek mesleğimiz, tek gelir kaynağımız. Birçoklarının aksine bizler, sosyal medyada gördüğünüz makale ve videolarımızı hobi olarak, mesleğimizden arta kalan zamanlarda yapmıyoruz. Dolayısıyla bu işi sürdürebilmek için gelir elde etmemiz gerekiyor.
Bunda elbette ki hiçbir sakınca yok; kimin, ne şartlar altında yayın yapmayı seçtiği büyük oranda bir tercih meselesi. Ne var ki biz, eğer ana mesleklerimizi icra edecek olursak (yani kendi mesleğimiz doğrultusunda bir iş sahibi olursak) Evrim Ağacı'na zaman ayıramayacağımızı, ayakta tutamayacağımızı biliyoruz. Çünkü az sonra detaylarını vereceğimiz üzere, Evrim Ağacı sosyal medyada denk geldiğiniz makale ve videolardan çok daha büyük, kapsamlı ve aşırı zaman alan bir bilim platformu projesi. Bu nedenle bizler, meslek olarak Evrim Ağacı'nı seçtik.
Eğer hem Evrim Ağacı'ndan hayatımızı idame ettirecek, mesleklerimizi bırakmayı en azından kısmen meşrulaştıracak ve mantıklı kılacak kadar bir gelir kaynağı elde edemezsek, mecburen Evrim Ağacı'nı bırakıp, kendi mesleklerimize döneceğiz. Ama bunu istemiyoruz ve bu nedenle didiniyoruz.
Ancak her nasıl olursa olsun, savana yaşantısına geçiş, otlara göre sindirimi çok daha kolay olan etlerle beslenmeye başlamamız ile sonuçlanmıştır. Bunu yapan atalarımız avantajlı konuma geçmişlerdir. Eğer ki halen ot-temelli beslenmek isteyen atalarımız olmuşsa, bunlar muhtemelen kısa sürede açlık dolayısıyla elenmişlerdir. Tabii avlanmanın bir güç gösterisi haline dönüşmesi, cinsel seçilimi de tetiklemiş olabilir. Bu durumda, etin türümüz evrimindeki rolü katlanarak artmış olacaktır.
Sonuç olarak insan türü yavaş yavaş et tabanlı bir diyete başlamış oldular ve bunun çok önemli sonuçları oldu. Bunlar arasında açık ara en önemlisi, etin içerisinde bulunan bol proteinin sinir hücrelerinin üretimi için gereken enerjiyi bolca sağlaması ve böylece beynin harcayacağı enerji için yeterli miktarda besin maddesi bulunabilmesi oldu. Tabii zekamızın evrimi sadece et diyetine geçişle ilgili değildir, bu konuda daha fazla bilgiyi buradaki makalemizden alabilirsiniz.
Ancak evrimsel süreçte et tüketilmesinin başlamasının tek etkisi, zeka üzerine olmadı. Sindirim sistemimiz boyunca pek çok organın evrim geçirmesi ve bu yeni besini sindirmeye adapte olması gerekti. Hatta bağışıklık sistemimiz bile evrimleşmek durumunda kaldı, çünkü ette bol miktarda bakteri ve virüs bulunuyordu ve sadece bunlara karşı bağışıklık geliştirebilecek bireyler hayatta kalmayı başardılar.
Tüm bunlar sonucunda etkilenen organlardan biri de, çene ve diş yapımızdı. Beynimizin büyüyebilmesinin bizlere avantaj sağlamasından ötürü, beyne yer açmak adına ve diyetin de değişmesiyle birlikte çene yapımız küçülmeye başladı. Artık eski güçlü ve vahşi ağızlara ihtiyacımız azalmaya başlamıştı. Otlara göre sindirimi çok daha kolay olan et için fazladan dişlere ihtiyacımız kalmamıştı. İşte bu yüzden de fazladan dişler üretmeye harcanan enerji, başka alanlara harcanabilirdi. Zaten çenenin küçülebilmesi için en dıştan başlayarak dişlerden fedakarlık etmek avantaj sağlamaktaydı.
Ne var ki evrim süreci asla birkaç günde olabilecek bir süreç olmamıştır; bu, doğa yasasının "doğasından" dolayı böyledir. Nasıl ki kıta kaymaları birkaç günde gözlenebilir olaylar değilse (ve bu durum, kıtaların hareketinin doğasından ötürü böyleyse), evrim yasası da kısa sürede aşırı hızlı değişimlerin gözlenebildiği bir yasa değildir. Bunun önemiyle ilgili daha fazla bilgiyi buradaki yazımızdan alabilirsiniz. Organizmaların bütün yapıları ani çevresel değişimlere aynı hızda cevap veremezler. Çok ani değişimler, diğer yapıların bu değişime ayak uyduramamasına neden olacak ve türün elenmesiyle sonuçlanacaktır. Ancak ayak uydurabilenlerin yapıları yavaş yavaş değişmeye başlayacaktır.
Evrim sürecinin yavaş olmasından ötürü, körelmiş organların da öyle birkaç günde veya yılda kaybolması veya körelmesi beklenememektedir. Ancak canlılara baktığımızda, köreldiği belli olan organlar evrimsel süreçte varlık-yokluk skalasında farklı noktalara düşmektelerdir. Yani bir organ/yapı/mekanizma henüz işlevini yitirmeye başlamışken, bir organ/yapı/mekanizma körelmenin ileri düzeylerindedir, bir diğer organ/yapı/mekanizma yok olmak üzeredir. Pek çok organ/yapı/mekanizma da bu süreçte çoktan yok olmuştur ancak çoğu zaman yok olan bir organın eskiden orada olduğunu tespit etmek zor olabilmektedir. Körelmiş organlarla ilgili daha fazla bilgiyi buradaki makalemizden alabilirsiniz.
20 Yaş Dişleri Körelmeye Devam Ediyor!
20 yaş dişleri de popülasyon içerisinde yok olmaya doğru adım adım gitmektedir. Et ile beslenmeye 2.5 milyon yıl önce başladık ve bu sürede, artık işe yaramadığı için ve çenenin küçülebilmesi için yer açmanın avantajlı hale gelmesiyle, insan popülasyonu içerisinde 20 yaş dişleri giderek yok olmaya başladı. Eskiden popülasyonlarda bireylerin %99'undan fazlasında 20 yaş dişlerinin var olduklarını bilmekteyiz, ancak günümüzde, Dünya geneline baktığımızda bazı insanlarda ömürleri boyunca hiç 20 yaş dişinin çıkmadığını görmekteyiz.
İstatistik vermemiz gerekirse, günümüzde insanların %35'inde bu diş hiç oluşmamaktadır. Buna, evrimsel biyolojide agenez denmektedir. Yani popülasyon normları aksine, aynı popülasyon içerisindeki bireylerin, belirli bir organ/yapı/mekanizmayı embriyonik dönemde ya da zamanı geldiğinde üretememesi...
Genel olarak insan popülasyonunda ise Tazmanya'da yaşayan Aborjinlerde 20 yaş dişleri hiçbir bireyde çıkmamaktadır. Öte yandan Meksika yerlilerinde popülasyon içerisindeki tüm bireylerde 20 yaş dişleri çıkmaktadır. Diğer tüm toplumlarda ise bu dişlerin varlığı geniş bir çeşitlilik göstermektedir. Örneğin bazı ailelerde anne tarafında 20 yaş dişleri hiç çıkmazken, baba tarafında bu dişler tamamen ağrısız olarak çıkabilmektedir. Yavrular da buna bağlı olarak çeşitlilik spektrumunda belirli noktalarda yer alabilmektedir.
20 Yaş Dişlerinin Popülasyondaki Dağılımı Çeşitliliğe Örnektir
İşte bu, popülasyon içi varyasyon (çeşitlilik) demektir. Bu çeşitlilik içerisinde, ortam koşullarına en uygun olan bireyler hayatta kalacaklardır. Örneğin insan türü de diğer hayvanlar gibi halen vahşi hayatta yaşıyor olsalardı ve et kıtlığı yaşansaydı, 20 yaş dişlerine sahip ve bunları az çok acısız kullanabilen bireyler yeşil bitkileri çok daha etkili bir şekilde sindirebileceklerdir ve vahşi ortamda diğer insanlara göre avantajlı konuma geçeceklerdir. Belki bu kıtlık ya da yeni yaşam biçimi milyonlarca yıl sürecek olsa, bir diğer körelmiş organ olan apandiks yeniden işlevini kazanmak üzere seçilim baskısına uğrayacaktır (çünkü halen apandiks eser miktarda da olsa selüloz sindirimi için salgı sağlamaktadır; ancak bu salgı hiçbir işe yaramayacak kadar azdır). Veya daha önce olanın aksine, belki apandiks değil ama karaciğerimiz ya da pankreasımız bunu yapabilecek şekilde evrimleşecektir.
Sonuçta evrim, popülasyon içerisindeki çeşitliliğin, çevre koşullarının baskısı altında, farklı yönlerde seçilmesi ve bunun sonucunda avantaj/dezavantaj durumuna göre bireylerin hayatta kalıp üreyebilenlerinin kendilerindeki güçlü fiziksel özelliklere sebep olan genleri yavrularına aktarabilmeleriyle olur. Çünkü bunun sonucunda, uzun nesiller sonrasında popülasyon içerisindeki bireyler her zaman ortama daha adapte olabilmiş bir hale gelirler ve bu değişim sırasında, seçilim tek konuda, tek yönlü olmadığı için yüzlerce, binlerce özellikleri değişecektir. İşte bir noktada türler, eskiden birbirleriyle çiftleşebilirlerken, farklı yönlerde değiştikleri için (farklı bölgelerde, farklı seçilim/doğa baskıları altında kaldıklarından ötürü) birbirleriyle çiftleşemeyecek kadar farklılaştıklarında, türleşme meydana gelir ve bir türün, yeni birden fazla türe evrimi bu şekilde olur.
Evrim Ağacı'nda tek bir hedefimiz var: Bilimsel gerçekleri en doğru, tarafsız ve kolay anlaşılır şekilde Türkiye'ye ulaştırmak. Ancak tahmin edebileceğiniz gibi Türkiye'de bilim anlatmak hiç kolay bir iş değil; hele ki bir yandan ekonomik bir hayatta kalma mücadelesi verirken...
O nedenle sizin desteklerinize ihtiyacımız var. Eğer yazılarımızı okuyanların %1'i bize bütçesinin elverdiği kadar destek olmayı seçseydi, bir daha tek bir reklam göstermeden Evrim Ağacı'nın bütün bilim iletişimi faaliyetlerini sürdürebilirdik. Bir düşünün: sadece %1'i...
O %1'i inşa etmemize yardım eder misiniz? Evrim Ağacı Premium üyesi olarak, ekibimizin size ve Türkiye'ye bilimi daha etkili ve profesyonel bir şekilde ulaştırmamızı mümkün kılmış olacaksınız. Ayrıca size olan minnetimizin bir ifadesi olarak, çok sayıda ayrıcalığa erişim sağlayacaksınız.
Makalelerimizin bilimsel gerçekleri doğru bir şekilde yansıtması için en üst düzey çabayı gösteriyoruz. Gözünüze doğru gelmeyen bir şey varsa, mümkünse güvenilir kaynaklarınızla birlikte bize ulaşın!
Bu makalemizle ilgili merak ettiğin bir şey mi var? Buraya tıklayarak sorabilirsin.
Soru & Cevap Platformuna Git- 58
- 26
- 17
- 15
- 13
- 9
- 6
- 2
- 2
- 1
- 0
- 0
- R. M. Nesse, et al. (2006). Medicine Needs Evolution. Science, sf: 1071. | Arşiv Bağlantısı
- H. Vastardis, et al. (1996). A Human Msx1 Homeodomain Missense Mutation Causes Selective Tooth Agenesis. Nature Genetics, sf: 417–421. | Arşiv Bağlantısı
- J. Moggi-Cecchi. (2001). Questions Of Growth. Nature, sf: 595–597. | Arşiv Bağlantısı
- A. A. Dahlberg. (1945). The Changing Dentition Of Man. The Journal of the American Dental Association, sf: 676-690. | Arşiv Bağlantısı
- D. Main. Ancient Mutation Explains Missing Wisdom Teeth. (13 Mart 2013). Alındığı Tarih: 1 Ağustos 2019. Alındığı Yer: Live Science | Arşiv Bağlantısı
- M. Edmonds. Are People Without Wisdom Teeth More Highly Evolved?. (11 Ağustos 2008). Alındığı Tarih: 1 Ağustos 2019. Alındığı Yer: How Stuff Works | Arşiv Bağlantısı
- Smithsonian Institute. Why Do We Have Wisdom Teeth?. (1 Ağustos 2019). Alındığı Tarih: 1 Ağustos 2019. Alındığı Yer: Smithsonian Institute | Arşiv Bağlantısı
- J. A. Krisch. How Evolution Is Making Our Wisdom Teeth Disappear. (26 Mart 2016). Alındığı Tarih: 1 Ağustos 2019. Alındığı Yer: Vocativ | Arşiv Bağlantısı
Evrim Ağacı'na her ay sadece 1 kahve ısmarlayarak destek olmak ister misiniz?
Şu iki siteden birini kullanarak şimdi destek olabilirsiniz:
kreosus.com/evrimagaci | patreon.com/evrimagaci
Çıktı Bilgisi: Bu sayfa, Evrim Ağacı yazdırma aracı kullanılarak 08/10/2025 15:11:44 tarihinde oluşturulmuştur. Evrim Ağacı'ndaki içeriklerin tamamı, birden fazla editör tarafından, durmaksızın elden geçirilmekte, güncellenmekte ve geliştirilmektedir. Dolayısıyla bu çıktının alındığı tarihten sonra yapılan güncellemeleri görmek ve bu içeriğin en güncel halini okumak için lütfen şu adrese gidiniz: https://evrimagaci.org/s/259
İçerik Kullanım İzinleri: Evrim Ağacı'ndaki yazılı içerikler orijinallerine hiçbir şekilde dokunulmadığı müddetçe izin alınmaksızın paylaşılabilir, kopyalanabilir, yapıştırılabilir, çoğaltılabilir, basılabilir, dağıtılabilir, yayılabilir, alıntılanabilir. Ancak bu içeriklerin hiçbiri izin alınmaksızın değiştirilemez ve değiştirilmiş halleri Evrim Ağacı'na aitmiş gibi sunulamaz. Benzer şekilde, içeriklerin hiçbiri, söz konusu içeriğin açıkça belirtilmiş yazarlarından ve Evrim Ağacı'ndan başkasına aitmiş gibi sunulamaz. Bu sayfa izin alınmaksızın düzenlenemez, Evrim Ağacı logosu, yazar/editör bilgileri ve içeriğin diğer kısımları izin alınmaksızın değiştirilemez veya kaldırılamaz.