Verem Nedir? Tüberkülozun Belirtileri ve Tedavi Seçenekleri Nelerdir?

- Hastalık Kataloğu
- Göğüs Hastalıkları
Bu içerik tıp ve sağlık ile ilişkilidir. Sadece bilgi amaçlı olarak hazırlanmıştır. Bireysel bir tıbbi tavsiye olarak görülmemelidir. Evrim Ağacı'ndaki hiçbir içerik; profesyonel bir hekim tarafından verilen tıbbi tavsiyelerin, konulan bir teşhisin veya önerilen bir tedavinin yerini alacak biçimde kullanılmamalıdır.
- Türkçe Adı Tüberküloz
- İngilizce Adı Tuberculosis
- Latince Adı Tuberculum
- ICD A15
- Diğer İsimleri Verem, Fitiz, Beyaz Veba, İnce Hastalık
Bu Makalede Neler Öğreneceksiniz?
- Identify tuberculosis as an airborne infectious disease caused by Mycobacterium tuberculosis, primarily affecting the lungs but capable of infecting almost any body part.
- Recognize active tuberculosis as the symptomatic, contagious phase where bacteria multiply, causing symptoms like cough, fever, night sweats, and weight loss.
- Acknowledge risk factors such as malnutrition, HIV, alcohol use disorders, smoking, and diabetes as major contributors to new tuberculosis cases, requiring multidisciplinary intervention.
Tüberküloz, Mycobacterium tuberculosis kompleksi organizmalarının neden olduğu hava yoluyla bulaşan bir enfeksiyon hastalığıdır. Öncelikle bir akciğer patojeni olmasına rağmen M. tuberculosis vücudun hemen hemen her yerinde hastalığa neden olabilir. M. tuberculosis enfeksiyonu, bakterilerin granülomlar içinde izole edildiği konakçıda tutulma durumundan, hastanın öksürük, ateş, gece terlemesi ve kilo kaybını içerebilen semptomlar göstereceği bulaşıcı bir duruma dönüşebilir; sadece aktif tüberküloz bulaşıcıdır.
Tüberküloz, birçok düşük ve orta gelirli ülkede önemli bir morbidite ve mortalite nedeni olmaya devam etmektedir ve ilaca dirençli tüberküloz birçok ortamda önemli bir endişe kaynağıdır. Yeni tüberküloz vakalarına katkıda bulunan başlıca risk faktörleri arasında yetersiz beslenme, HIV enfeksiyonu, alkol kullanım bozuklukları, sigara kullanımı ve diyabet yer almaktadır. Bu risk faktörleriyle mücadele, farklı sektörlerin işbirliğini ve multidisipliner bir yaklaşımı zorunlu kılmaktadır.
Terminoloji ve Sınıflandırma
Tüberküloz terimi basitçe, Mycobacterium tuberculosis'in neden olduğu hastalığı ifade eder; hastalığın sadece akciğerlerde olduğu anlamına gelmez. Ancak bu makalenin konusu "Pulmoner Tüberküloz" olduğu için yazı boyunca tüberküloz terimi bu anlamda kullanılmıştır.
Tüberküloz hastalığı, M. tuberculosis enfeksiyonundan aktif bulaşıcı hastalığa kadar dinamik bir süreklilik olarak görülebilmesine rağmen hastalar, klinik ve halk sağlığı çalışmalarında basitlik sağlamak için "aktif tüberküloz" veya "latent tüberküloz enfeksiyonu" olarak sınıflandırılır.
Primer Tüberküloz
Primer tüberküloz veya primer enfeksiyon, patojene karşı önceden bağışıklığı olmayan bireylerde M. tuberculosis'e maruziyeti takiben ortaya çıkan enfeksiyonun ilk aşamasını temsil eder, yani bir kişi M. tuberculosis'i ilk kez edinmiştir. Primer tüberküloz, bağışıklık sistemi tüberküloz bakterisi enfeksiyonuna karşı savunma yapamadığında ortaya çıkar. Reaktivasyon tüberkülozu, adından da anlaşılacağı gibi mevcut mikobakteriyel enfeksiyonunun yeniden aktive olmasıdır.
Aktif Tüberküloz
Aktif tüberküloz, M. tuberculosis'in konakçı içinde aktif olarak çoğalması ve semptomatik hastalığa yol açması ile karakterize klinik bir durumdur. Bakterilerin hareketsiz kaldığı latent tüberkülozun aksine aktif tüberkülozda bağışıklık sistemi bakteriyel büyümeyi kontrol altına alamaz ve bu da en yaygın olarak akciğerlerde olmak üzere potansiyel olarak diğer organlarda da önemli doku hasarına neden olur.

Aktif tüberkülozun patogenezi, bakteriyel virülans faktörleri ile konağın bağışıklık tepkileri arasında karmaşık bir etkileşimi içerir ve sonuçta granülom oluşumuna ve kazeöz nekroza yol açar. Zamanında tanı ve tedavi, aktif tüberkülozun yayılmasını kontrol altına almak ve ciddi komplikasyonları önlemek için kritik öneme sahiptir.
Latent Tüberküloz
Latent tüberküloz enfeksiyonu, bireyin M. tuberculosis ile enfekte olduğu ancak bakterilerin aktif hastalığa neden olmadan uyku halinde kaldığı durumu ifade eder. Bu aşamada, konağın bağışıklık sistemi bakterileri granülomlar içinde hapsederek çoğalmalarını ve vücuda yayılmalarını etkin bir şekilde engeller. Latent tüberküloz enfeksiyonuna sahip bireyler asemptomatiktir ve bulaşıcı değildir ancak özellikle bağışıklık sistemi tehlikeye girerse yaşam boyu reaktivasyon riski taşırlar.
Latent tüberküloz enfeksiyonundan aktif tüberküloza geçiş, yeni tüberküloz vakalarının potansiyel bir kaynağını temsil ettiği için halk sağlığı açısından kritik bir konudur. Bakteriyel dormansiyi sürdüren mekanizmaları ve reaktivasyonu tetikleyen faktörleri anlamak, latent tüberkülozdan aktif tüberküloza ilerlemeyi önlemek için etkili stratejiler geliştirmek için gereklidir.
İlaca Dirençli ve Çoklu İlaca Dirençli Tüberküloz
Tüberkülozun bu formu, Mycobacterium tuberculosis suşlarının bir veya daha fazla birincil anti-tüberküloz ilacına karşı direnç geliştirerek standart tedavi rejimlerini daha az etkili veya etkisiz hale getirmesiyle ortaya çıkar. En yaygın formlar, en az iki en güçlü tüberküloz ilacı olan izoniazid ve rifampine dirençli olan çok ilaca dirençli tüberküloz ve izoniazid, rifampin, herhangi bir florokinolon ve ikinci basamak enjekte edilebilir ilaçlardan en az birine dirençli olan yaygın ilaca dirençli tüberkülozdur.
İlaca dirençli tüberkülozun gelişimi ve yayılımı; eksik veya yanlış tedavi uygulamaları, hastaların tedaviye yeterince uymaması ve dirençli bakteri türlerinin kişiden kişiye bulaşması gibi etkenlere bağlıdır.
Evrim Ağacı'nın çalışmalarına Kreosus, Patreon veya YouTube üzerinden maddi destekte bulunarak hem Türkiye'de bilim anlatıcılığının gelişmesine katkı sağlayabilirsiniz, hem de site ve uygulamamızı reklamsız olarak deneyimleyebilirsiniz. Reklamsız deneyim, sitemizin/uygulamamızın çeşitli kısımlarda gösterilen Google reklamlarını ve destek çağrılarını görmediğiniz, %100 reklamsız ve çok daha temiz bir site deneyimi sunmaktadır.
KreosusKreosus'ta her 50₺'lik destek, 1 aylık reklamsız deneyime karşılık geliyor. Bu sayede, tek seferlik destekçilerimiz de, aylık destekçilerimiz de toplam destekleriyle doğru orantılı bir süre boyunca reklamsız deneyim elde edebiliyorlar.
Kreosus destekçilerimizin reklamsız deneyimi, destek olmaya başladıkları anda devreye girmektedir ve ek bir işleme gerek yoktur.
PatreonPatreon destekçilerimiz, destek miktarından bağımsız olarak, Evrim Ağacı'na destek oldukları süre boyunca reklamsız deneyime erişmeyi sürdürebiliyorlar.
Patreon destekçilerimizin Patreon ile ilişkili e-posta hesapları, Evrim Ağacı'ndaki üyelik e-postaları ile birebir aynı olmalıdır. Patreon destekçilerimizin reklamsız deneyiminin devreye girmesi 24 saat alabilmektedir.
YouTubeYouTube destekçilerimizin hepsi otomatik olarak reklamsız deneyime şimdilik erişemiyorlar ve şu anda, YouTube üzerinden her destek seviyesine reklamsız deneyim ayrıcalığını sunamamaktayız. YouTube Destek Sistemi üzerinde sunulan farklı seviyelerin açıklamalarını okuyarak, hangi ayrıcalıklara erişebileceğinizi öğrenebilirsiniz.
Eğer seçtiğiniz seviye reklamsız deneyim ayrıcalığı sunuyorsa, destek olduktan sonra YouTube tarafından gösterilecek olan bağlantıdaki formu doldurarak reklamsız deneyime erişebilirsiniz. YouTube destekçilerimizin reklamsız deneyiminin devreye girmesi, formu doldurduktan sonra 24-72 saat alabilmektedir.
Diğer PlatformlarBu 3 platform haricinde destek olan destekçilerimize ne yazık ki reklamsız deneyim ayrıcalığını sunamamaktayız. Destekleriniz sayesinde sistemlerimizi geliştirmeyi sürdürüyoruz ve umuyoruz bu ayrıcalıkları zamanla genişletebileceğiz.
Giriş yapmayı unutmayın!Reklamsız deneyim için, maddi desteğiniz ile ilişkilendirilmiş olan Evrim Ağacı hesabınıza üye girişi yapmanız gerekmektedir. Giriş yapmadığınız takdirde reklamları görmeye devam edeceksinizdir.
Ekstrapulmoner Tüberküloz
Akciğerler enfeksiyonun başlangıç bölgesi olmasına rağmen hastalık birçok organa yayılabilir. Akciğer dışındaki tüberküloz genellikle hematojen yayılımdan kaynaklanır. Bazen enfeksiyon doğrudan komşu bir organdan yayılır.
- Miliyer Tüberküloz: Yaygın hematojen tüberküloz olarak da bilinen miliyer tüberküloz, tüberküloz lezyonunun bir kan damarına sızması sonucu milyonlarca basilin kan dolaşımına karışarak tüm vücuda yayılmasıyla karakterizedir. Kontrolsüz kitlesel yayılma, primer enfeksiyon sırasında veya latent bir odağın reaktivasyonundan sonra meydana gelebilir. En sık akciğerler ve kemik iliği etkilenir ancak herhangi bir bölge de tutulabilir.
- Tüberküloz Menenjit: Meningeal tutulum genellikle diğer ekstrapulmoner bölgelerde enfeksiyon yokluğunda ortaya çıkar. Sıklıkla yaşlılarda ve bağışıklık sistemi baskılanmış kişilerde görülür ancak tüberkülozun yaygın olduğu bölgelerde tüberküloz menenjiti genellikle doğum ile 5 yaş arasında ortaya çıkar. Menenjit her yaşta tüberkülozun en ciddi formudur ve yüksek morbidite ve mortaliteye sahiptir. BCG aşısı ile çocukluk çağında önlenebildiği gösterilen tek tüberküloz türüdür.
- Tüberküloz Peritonit: Peritoneal tutulum, abdominal lenf düğümlerinden veya salpingo-ooforitten kaynaklanır. Peritonit özellikle sirozu olan alkol kullanım bozukluğu olan kişiler arasında yaygındır.
- Tüberküloz Perikardit: Perikardiyal tutulum, mediastinal lenf düğümlerindeki odaklardan veya plevral tüberkülozdan gelişebilir. Dünyanın bazı yüksek insidanslı bölgelerinde, tüberküloz perikarditi kalp yetmezliğinin yaygın bir nedenidir.
- Tüberküloz Lenfadenit: Lenf bezi tutulumu tipik olarak posterior servikal ve supraklaviküler zincirlerdeki lenf nodlarını tutar. Bu bölgelerdeki enfeksiyonun intratorasik lenfatiklerden veya tonsiller ve adenoidlerdeki enfeksiyondan kaynaklanan bitişik yayılmadan kaynaklandığı düşünülmektedir. Mediastinal lenf nodları da primer pulmoner hastalığın bir parçası olarak yaygın şekilde büyür.
- Kutanöz (Deri) Tüberküloz: Kutanöz tüberküloz, alttaki enfekte bir odaktan (lenf düğümü, kemik veya eklem gibi) cilde doğrudan yayılarak ülser ve akıntılı yollar (sinüs traktları) oluşturmasıyla meydana gelir. Lupus vulgaris, hassaslaşmış bir hastada ekstrakutanöz bir odaktan deriye hematojen veya lenfojen yayılım sonucu ortaya çıkar. Tüberküloz verrükoza kutis, basillere karşı orta ila yüksek düzeyde bağışıklığı olan, daha önceden hassaslaşmış bir hastanın cildine mikobakterilerin eksojen olarak doğrudan aşılanması sonrasında ortaya çıkar. Kaviter akciğer tüberkülozu olan hastalarda nadiren aşınmış deri üzerinde tüberküloz gelişir.
- Kemik ve Eklem Tüberkülozu: En sık ağırlık taşıyan eklemler tutulur, ancak özellikle yaralanma sonrasında bilek, el ve dirsek kemikleri de etkilenebilir. Pott hastalığı, bir omur gövdesinde başlayan ve genellikle komşu omurlara yayılan ve aralarındaki disk boşluğunun daralmasına neden olan omurga enfeksiyonudur. Tedavi edilmediği takdirde omurlar çökebilir ve muhtemelen omuriliğe baskı yapabilir. Pott hastalığında, omurilik sıkışması parapleji dahil nörolojik defisitlere neden olur; paravertebral şişme apseden kaynaklanabilir.
- Gastrointestinal Tüberküloz: Tüm gastrointestinal mukoza tüberküloz istilasına dirençli olduğundan enfeksiyon genellikle uzun süreli maruziyet ve yüksek miktarda bakteri alımı gerektirir. Sığır tüberkülozunun nadir görüldüğü ülkelerde (örneğin, süt pastörizasyonu ve sığırların rutin tüberküloz testi nedeniyle) çok nadirdir. M. bovis ile kontamine süt ürünlerinin tüketilmesiyle ağız ve orofarinks ülserleri gelişebilir; ince bağırsakta da primer lezyonlar oluşabilir. Bağırsak istilası genellikle hiperplaziye ve ağrı, ishal, tıkanma ve hematokezya ile seyreden inflamatuar bağırsak sendromuna neden olur. Apandisiti de taklit edebilir. Ülserasyon ve fistüller mümkündür.
- Karaciğer Tüberkülozu: Karaciğer enfeksiyonu, ilerlemiş akciğer tüberkülozu ve yaygın veya miliyer tüberkülozu olan hastalarda yaygındır. Ancak asıl enfeksiyon tedavi edildiğinde karaciğer genellikle sekel bırakmadan iyileşir. Karaciğerdeki tüberküloz bazen safra kesesine yayılarak tıkanma sarılığına yol açar.
Belirti ve Bulgular
Akciğer tüberkülozu asemptomatik olabilir ve göğüs radyografisinde tesadüfen keşfedilebilir. Az sayıda hastada tüberküloza nonspesifik semptomlar eşlik eder. Aktif akciğer tüberkülozu ile ilişkili klasik klinik özellikler aşağıdaki gibidir:
- Berrak veya mukopürülan balgamla birlikte öksürük (hastalığın erken dönemlerinde daha hafif olabilir ancak bronş tutulumuyla birlikte şiddetlenir)
- Kilo kaybı/anoreksiya
- Ateş
- Gece terlemeleri
- Pulmoner veya bronşiyal arterlerin erozyonundan kaynaklanan hemoptizi
- Plevral tutuluma bağlı göğüs ağrısı
- Yorgunluk
- Üşüme
- Yaşlı bireylerde bağışıklık yanıtı zayıflamış olabileceğinden, tüberküloz enfeksiyonu tipik belirti ve bulgularla seyretmeyebilir. Bu yaş grubunda aktif tüberküloz enfeksiyonu çözülmeyen pnömonit olarak ortaya çıkabilir.
Tüberkülozlu hastalarda göğüs ağrısı tüberküloz akut perikarditten de kaynaklanabilir. Perikardiyal tüberküloz kalp tamponadına veya daralmasına yol açabilir.
Fizik Muayene Bulguları
Tüberküloz ilişkili fizik muayene bulguları tutulan organlara bağlıdır. Akciğer tüberkülozu olan hastalarda, özellikle üst loblarda veya diğer tutulan bölgelerde anormal nefes sesleri vardır. Tüberkülozun fizik muayene bulguları aşağıdakileri içerebilir:
- Azalmış fremitus ile dolgunluk (sıvı veya plevral kalınlaşma varlığını gösterir)
- Öksürük sonrası raller (istek üzerine öksürdükten sonra nefes alırken oluşan raller)
- Bronkofoni (akciğer parankiminde bronşiyal nefes sesleri), egofoni (eee'nin aaa olarak duyulması) ve fısıltılı pektoriloqui (bronkofoni oskültasyonu sırasında boğuk ses yerine hastanın fısıltısından net bir ses duyulması)
- Tübüler nefes sesleri (tiz bronşiyal solunum)
- Amfora (boşlukların üzerinden duyulan uzak içi boş nefes sesleri)
Fizik muayenede önemli bir bulgunun saptanmaması aktif tüberkülozu dışlamaz. Yüksek riskli hastalarda, özellikle de bağışıklık sistemi baskılanmış veya yaşlı olanlarda klasik semptomlar genellikle yoktur. Aktif tüberkülozu olan hastaların %20'si semptomları göstermeyebilir. Bu nedenle, göğüs radyografisi bulguları tüberküloz ile uyumlu olduğunda balgam örneklemesi şarttır.
Radyografik Bulgular
Tüberkülozun radyografik bulguları aşağıdakileri içerebilir:
- Akciğer tüberkülozu olan HIV-negatif kişilerin %60'ında ve akciğer tüberkülozu olan HIV-pozitif kişilerin %22'sinde göğüs röntgeni normal görünebilir veya belirgin bir bulgu saptanmayabilir.
- Göğüs röntgeni, nüfusun çoğunluğunda tüberküloz hastalığının tanı ve takibinin temel taşıdır. Üst lobun apikal veya subapikal posterior bölgelerinde veya alt lobun superior segmentlerinde sıklıkla yamalı veya nodüler bir infiltrat görülür.

- BT veya MR görüntülemede daha belirgin olan kavite oluşumu da görülebilir. Hava sıvısı seviyeleri daha çok alt lob boşluklarında görülür.
- Fibrotik skarlar keskin sınırlarla görülebilir.
- Alt lob tüberküloz bulguları nonspesifiktir ve kötü rezolüsyonlu pnömoni, atelektazi, kitle lezyonları ve kaviteleri içerir.
- Hiler lenfadenopati ile birlikte pnömoni primer tüberkülozun göstergesidir.
Laboratuvar Bulguları
Tüberkülozun laboratuvar bulguları aşağıdakileri içerebilir ancak bunlarla sınırlı değildir:
- Normositik normokromik anemi
- Hipoalbüminemi
- Hipergamaglobulinemi
- HIV ile yaşayan kişilerde düşük beyaz kan hücresi ve CD4 sayısı
- Monositoz
Hastalıkla İlişkili Genler, Etken Faktörler ve Risk Faktörleri
Tüberküloz hastalığından küresel olarak Mycobacterium tuberculosis enfeksiyonunun devam eden bulaşması ve latent tüberküloz reaktivasyonu sorumludur. Tüberküloz vakalarının çoğunlu M. tuberculosis (sensu stricto) veya yakından ilişkili organizma Mycobacterium africanum'a atfedilmektedir; vakaların az bir kısmı Mycobacterium bovis veya Mycobacterium caprae gibi M. tuberculosis kompleksinin zoonotik üyelerinden kaynaklanmaktadır.
M. tuberculosis'in bilinen bir çevresel rezervuarı yoktur; bilinen tek rezervuarı insanlardır. Dolayısıyla M. tuberculosis hem bir patojen hem de bir simbiyonttur. Bu da konak-patojen etkileşimlerinin anlaşılması açısından önemli sonuçlar doğurmaktadır.
Konak-Patojen Etkileşimleri
Genomik çalışmalar, dünyanın dört bir yanından izolatlar arasında önemli genetik değişkenlik olduğunu göstermiştir (4.4 milyon baz çiftinden oluşan bir genomda birkaç bin tek nükleotid polimorfizmi); bu da ya insan göçü modelleriyle ilişkili birikmiş genetik sürüklenmeyi ya da farklı soyların değişken patojenitesini yansıtmaktadır.
Epidemiyolojik çalışmalara dayanarak hipervirülan suşların var olduğu öne sürülmüştür. Doğruysa, bu tür suşların genomik çalışması, sonuçta hasta bakımı ve enfeksiyon kontrol kararlarına öncelik vermek için kullanılabilecek soylara özgü virülans faktörlerini ortaya çıkarabilir. M. tuberculosis'in insanlarda artan bulaşıcılık, ilaç direnci ve deneysel bir modelde mortalite gibi çeşitli özellikleri belirli suşlarla ilişkilendirilmiş olsa da, bulgular çalışmalar arasında tutarsızdır ve klinik bakıma hemen aktarılmalarını zorlaştırmaktadır.
Konak ile M. tuberculosis arasındaki etkileşimlerin karmaşıklığı nedeniyle, sadece bakteri virülans faktörlerini konak duyarlılık belirleyicilerinden bağımsız incelemek, aralarındaki sinerjik (birbirini güçlendiren) etkileri gözden kaçırabilir. Örneğin, spesifik bir konak-patojen etkileşimi, Doğu Asya soyundan gelen suşların Asya popülasyonlarında neden yüksek oranda enfektif ve patojenik olduğunu, ancak Kanada veya İsviçre'ye ithal edildiğinde neden normal bir klinik ve epidemiyolojik tabloya sahip olduğunu açıklayabilir.
Tersine, genomik ve laboratuvar karakterizasyonuna göre başka türlü dikkat çekici olmayan suşlar, uygun sosyal ve epidemiyolojik ortam göz önüne alındığında salgınlarla ilişkilendirilebilir.
Latent Enfeksiyon
M. tuberculosis'e maruz kalma iki genel sonuca yol açmaktadır: patojenin ortadan kaldırılması veya kalıcı hale gelmesi. İlk durumda, patojen ya doğuştan gelen bağışıklık yanıtları nedeniyle ya da adaptif bağışıklık yanıtları nedeniyle ortadan kaldırılır. Patojen nasıl ortadan kaldırılırsa kaldırılsın, bu birey latent tüberküloz enfeksiyonu tedavisinden fayda görmeyecektir.
Tüberkülozlu hastaların yakın ev temaslıları arasında bile, maruz kalan bireylerin neredeyse yarısının tüberkülin deri testi sonuçlarının negatif olduğu uzun zamandır bilinmektedir. Çok sayıda maruziyete rağmen tüberkülin deri testlerinin sürekli negatif kalmasına genetik yatkınlık olduğu bulgusu, bazı insanların neden tüberküloza karşı doğal olarak dirençli olduğuna dair potansiyel bir açıklama sunmaktadır.
Bununla birlikte, M. tuberculosis enfeksiyon kontrol altına alınmışsa, patojen sakin veya latent bir durumda kalabilir ve tipik olarak bireyde pozitif tüberkülin deri testi ve salım testleri (IGRA) sonuçları gelişir ancak semptom görülmez. Bu birey muhtemelen latent tüberküloz enfeksiyonu tedavisinden fayda görecektir. Ne yazık ki, pozitif bir tüberkülin deri testi veya IGRA sonucu otomatik olarak latent tüberküloz enfeksiyonu anlamına gelmez çünkü enfeksiyonu başarıyla ortadan kaldırılan bireyler bellek T hücresi nedeniyle hala tüberkülin deri testleri veya IGRA pozitif olabilir. Bu bulgu, deri testlerinin ve IGRA'ların düşük prediktif (prognostik) değerini kısmen açıklamaktadır.
Mikroorganizma Profili
Mycobacterium tuberculosis, insanlarda tüberküloz hastalığına neden olan uzman ve ölümcül bir patojendir. Uzun süreler boyunca kopyalanmama (çoğalmama) ve latent enfeksiyona neden olma yeteneği, kronik enfeksiyon sırasında metabolik olarak yeniden şekillenme, kültürde yavaş büyüme hızı vb. gibi birkaç önemli özelliği vardır.
Bir patojen olarak M. tuberculosis, konakçısıyla karmaşık bir ilişkiye sahiptir, makrofajların içinde çoğalabilir ve çeşitli immünomodülatör molekülleri eksprese (ifade) edebilir. M. tuberculosis günümüzde yılda 1.25 milyondan fazla kişinin ölümüne neden olarak dünyanın en ölümcül insan patojeni haline gelmiştir.
Temel Özellikler
M. tuberculosis, insanları etkileme konusunda uzun bir geçmişe sahip olağanüstü başarılı bir patojendir. Hastalığın ilerlemesi karmaşık bir süreçtir; maruz kalan insanların yalnızca küçük bir kısmı enfekte olur ve bunların çoğunluğu bakterilerin metabolik olarak inaktif veya yavaş çoğalan bir durumda on yıllarca devam edebileceği latent enfeksiyona sahiptir.
Tahminlere göre, dünya genelinde yaklaşık 2 milyar insan latent tüberküloz enfeksiyonu taşımakta ve bu durum küresel ölçekte büyük bir enfeksiyon rezervuarı oluşturmaktadır. Enfeksiyon, genellikle ilk odağın çevresinde granülom oluşumuyla sınırlanır. Ancak bazı durumlarda, bu yapıların bozulmasıyla aktif hastalık gelişir ve kazeöz nekroz ile birlikte kavite oluşumu ortaya çıkabilir.
Bu geçiş süreci, çoğalmayan (dormant) ancak canlı kalan bakterilerin varlığını sürdürebildiği latent faza özgüdür. Bu durumun korunmasında, ana genetik düzenleyicilerin kontrol ettiği karmaşık biyolojik mekanizmalar rol oynar ve bu mekanizmalar enfeksiyonun uzun süre sessiz kalmasını sağlayabilir.
Enfeksiyon sırasında M. tuberculosis'in metabolizması, temel olarak konakçıdan sağlanan kolesterol gibi yağ asitlerinin kullanımına yönelir. Bu nedenle, glioksilat şantı bakterinin konak içinde (in vivo) hayatta kalması için kritik öneme sahiptir. M. tuberculosis kendi besinlerini sentezleyebilen bir prototrof olsa da, enfeksiyon ortamında konaktan temin edebileceği çeşitli metabolitlerin bulunduğu düşünülmektedir. Nitekim, demir alımında kullanılan siderofor mikobaktin gibi bazı besin edinim sistemleri detaylı olarak incelenmiştir.
M. tuberculosis'in hücre duvarı mikobakterilerin karakteristik özelliğidir; Gram-pozitif olarak sınıflandırılmasına rağmen, uzun zincirli, dallanmış yağ asitleri olan mikolik asitleri içeren ikinci bir 'dış zar' ile Gram-negatif bakterilerinkine benzer bir yapıya sahiptir. Sitoplazmik membranın dışındaki tabaka, arabinogalaktan ile bağlantılı peptidoglikan içeren çekirdek ile mikolik asitlere (mAGP kompleksi) bağlı büyük bir kompleks oluşturur.
Antibiyotiklere karşı göreceli olarak geçirmezlik (sızdırmazlık) gibi birçok önemli özellik kazandırmanın yanı sıra, hücre duvarı lipoarabinomannan, sülfolipidler ve phthiocerol dimcyocerosate dahil olmak üzere sayısız immünomodülatör molekül içerir. Kordon faktörü (trehaloz dimikolat) virülans için gereklidir ve M. tuberculosis'in kültürde uzun, yılan benzeri kordonlar şeklinde karakteristik büyümesinden sorumludur. Ancak bu karmaşık hücre duvarı, aynı zamanda basilin Aşil topuğudur (zayıf noktasıdır); zira sentez süreci, izoniazid, etambutol ve etiyonamid gibi birçok temel anti-tüberküloz ilacının hedefidir.
M. tuberculosis'in tanımlayıcı bir özelliği yavaş büyüme hızıdır. Yavaş büyümenin altında yatan metabolik nedenler tam olarak anlaşılamamış olsa da, bunun nedeni yalnızca tek bir rRNA operonunun varlığı, hücre duvarının karmaşık sentetik gereksinimleri, besin alımı ve yavaş DNA replikasyon hızının bir kombinasyonu olabilir.
Hücre Yapısı
Mycobacterium tuberculosis yavaş büyüyen, kemo-organotrofik, motil olmayan, spor oluşturmayan, aerobik bir basildir. M. tuberculosis, 37 °C'deki optimum laboratuvar koşullarında her 24 saatte bir iki katına çıkar ve agar plakaları üzerinde devetüyü renginde, kaba koloniler oluşturması yaklaşık 3 hafta sürer. Kalın, mumsu hücre duvarının asit-alkol yıkamaları karşısında karbol fuschin boyasını tutması sayesinde Ziehl-Neelsen asit-hızlı boyası ile görüntülenir.
Pozitif niasin üretimi ve nitratı indirgeme yeteneği dahil olmak üzere biyokimyasal testler, diğer mikobakterilerden ayırt etmek için kullanılır, ancak bunlar birçok durumda spesifik genetik lokusların PCR tabanlı analizi ile değiştirilmiştir.
Genom
M. tuberculosis H37Rv genom dizilimi yapılan ilk mikobakteri olup, 4018 gen kodlayan 4.4 Mb'lık bir genom ve %65.9'luk yüksek bir GC içeriği ortaya çıkarmıştır. Başlıca bulgular arasında, prolin-glutamin (PE) veya prolin-prolin-glutamin (PPE) içeren korunmuş N-terminal alanları ve değişken C-terminal alanları sunan 160'tan fazla üyeye sahip iki büyük protein ailesinin keşfi yer almaktadır.
PE ve PPE proteinleri, lipid metabolizması, hücre duvarı mimarisi ve bağışıklık modülasyonunda rol oynayan farklı üyelerle çeşitli işlevlere sahiptir. Genomun kodlama kapasitesinin %9'undan fazlası lipid metabolizmasına adanmıştır; bu da karmaşık, lipid bakımından zengin mikobakteriyel hücre duvarının sentezi için metabolik taleplerin yanı sıra in vivo karbon kaynakları için konakçı lipidlerinin kullanımının altını çizmektedir.
Beş ESX Tip VII salgı sistemi mevcuttur ve PE/PPE proteinlerinin, virülans efektörlerinin, T-hücre antijenlerinin ve metal homeostazının salgılanmasında rol oynar. Genom çapında mutajenez çalışmaları, in vitro M. tuberculosis büyümesi için gerekli olan yaklaşık 600 geni tanımlamıştır ve çok sayıda başka çalışma, diğer koşullar için koşullu olarak gerekli genleri önermektedir.
Filogeni
M. tuberculosis, memeli türlerinde tüberküloza neden olan mikobakteriyel patojenler grubu olan M. tuberculosis kompleksinin tip suşudur. M. tuberculosis kompleksi ayrıca insan patojeni M. africanum'un yanı sıra hayvanlara adapte olmuş M. microti, M. pinnipedii, M. orygis, M. mungii, M. caprae ve M. bovis suşlarını da içerir. Karşılaştırmalı genom analizleri, M. tuberculosis kompleksindeki türler arasında düşük genetik çeşitlilik ve klonal (tek bir atadan dallanarak) bir evrim süreci olduğunu göstermiştir. Farklılık bölgelerinin aşamalı olarak kaybolması, M. tuberculosis'in bu kompleksin ortak atasına en yakın tür olduğunu düşündüren bir evrimsel senaryo sunmaktadır.
Küresel M. tuberculosis popülasyonlarının tüm genom dizilimi, insan göç modellerini yansıtan farklı coğrafi lokalizasyona sahip yedi ana soy ortaya çıkarmıştır. M. tuberculosis kompleksinin en son ortak atasının yaşına ilişkin tahminler, mevcut suşların genom analizine dayanarak 70.000'den, karakteristik tüberküloz lezyonları olan Peru ve Macar mumyalarından çıkarılan antik DNA kullanılarak 6000 yıl öncesine kadar değişmektedir.
Mekanizma
Tüberküloz enfeksiyonu yaklaşık 1 ay içinde aşağıdaki 4 aşamada gerçekleşir:
- İlk Makrofaj Tepkisi: İlk aşama, tüberküloz basilinin solunmasından sonraki ilk hafta içinde gerçekleşir. Basil akciğerdeki alveollere ulaştıktan sonra, makrofaj adı verilen bağışıklık sisteminin özel hücreleri tarafından alınır. Bu makrofajlar genellikle alveol dokusu içinde bulunur; görevleri alveol boşluğuna giren herhangi bir yabancı nesneyi yutmak ve etkisiz hale getirmektir. Makrofajlar tüberküloz basilini yutar. Bunu izleyen olaylar büyük ölçüde tüberküloz basilinin miktarına ve makrofajın gücüne bağlıdır. Eğer basil sayısı çok fazlaysa veya makrofaj bakteriyi yok edecek kadar güçlü değilse, basiller makrofaj içinde çoğalmaya başlar. Bu da sonuçta makrofajın yok olmasına ve ortaya çıkan tüberküloz basillerini yutmaya çalışan yeni, yakındaki makrofajların enfeksiyon kapmasına yol açar.
- Büyüme Aşaması: Makrofaj tüberküloz basilini tutamazsa, tüberküloz enfeksiyonu yaklaşık bir hafta sonra ikinci aşamaya yani büyüme aşamasına girer. Tüberküloz basili katlanarak çoğalmaya başlar, yani her ilk basil için iki yeni basil ortaya çıkar. Bu ikisi daha sonra ikişer tane üretir, vs. Bu, ilk tüberküloz basilinin hızla genişlemesine yol açar ve makrofajlar artık yayılmayı kontrol altına alamaz. Bu aşama ilk enfeksiyondan sonraki üçüncü haftaya kadar sürer.
- Bağışıklık Kontrol Aşaması: Üçüncü haftadan sonra basiller artık katlanarak büyümez ve enfeksiyon üçüncü aşamasına girer - bu aşamada basillerin büyümesi ve makrofajlar tarafından yok edilmesi dengelenmiş gibi görünmektedir. Vücut, bölgeyi stabilize etmek için daha fazla bağışıklık hücresi getirir ve enfeksiyon kontrol altına alınır. Mycobacterium tuberculosis ile enfekte olan 10 hastadan en az 9'u bu aşamada durur ve aktif hastalık belirtileri veya fiziksel bulgular geliştirmez. Akciğerlerinde, tüberküloz basilleri ve onları yutan makrofajlar, ortada tüberküloz basilleri ve enfekte makrofajlar ve onları çevreleyen sağlıklı makrofajlarla yuvarlak bir kompleks oluşturur. Buna, terimi ilk tanımlayan Avusturyalı patoloğun adıyla Ghon odağı denir. Genellikle tüberküloz basilleri çevredeki lenf düğümlerini de enfekte eder. Akciğer dokusundaki bir kompleks ve enfekte olmuş bir lokal lenf düğümünün kombinasyonuna primer kompleks (Ghon kompleksi de denir) denir. Tüberküloz basilleri akciğer dokusundan korunur; ancak makrofajlarda yıllarca yaşayabilirler. Bu aşamadaki hastalar, tüberküloz basilleri hava yollarına ulaşmadığı için öksürük veya nefes yoluyla dışarı atılamaz ve dolayısıyla bulaştırıcı değildir. Bağışıklık sistemi güçlüyse, primer kompleks iyileşir ve dokuda küçük bir boşluk ve yara izinden başka bir şey bırakmaz. Bu yara izi daha sonra röntgende görülebilir ve kişinin Mycobacterium tuberculosis ile enfeksiyon geçirdiğinin bir işaretidir.
- Kavitasyon Aşaması: Vakaların yaklaşık %5'inde primer kompleks iyileşmez ve tüberküloz basilleri ilk enfeksiyondan 12 ila 24 ay sonra yeniden aktive olur: bu enfeksiyonun 4. evresidir. Yeniden aktifleşen tüberküloz basilleri hızla çoğalır ve dokuda vücudun bağışıklık sisteminin ulaşamayacağı bir boşluk oluşturur. Bu boşluktan tüberküloz basilleri hızla dokuya yayılır ve kişide öksürük gibi aktif tüberküloz belirti ve semptomları gelişir. Bu aşamada kişi oldukça bulaşıcıdır çünkü balgamında aktif tüberküloz bakterileri bulunur. HIV enfeksiyonu veya yetersiz beslenme gibi bağışıklık sisteminin zayıfladığı durumlarda yeniden aktivasyonun gerçekleşme olasılığı daha yüksektir.
Bulaşma ve Belirleyicileri
M. tuberculosis bir insandan diğerine çoğunlukla; aerosol yoluyla, nadiren sindirim veya perkütan inokülasyon (örneğin, laboratuvar veya hastane kazası yoluyla), katı organ veya hematopoetik kök hücre nakli yoluyla bulaşabilen bir bakteridir. Aerosollerdeki damlacıklar saniyede 0.5 mm veya daha az gibi son derece yavaş bir çökelme hızına sahiptir, bu da hava akımları, kanal sistemleri veya asansör boşlukları ile kaynak noktadan önemli mesafelere taşınmasına izin verir.
Büyük partiküller hızla çöker veya temas eden kişiler tarafından solunmaz ya da solunursa üst solunum yolunun mukusunda hapsolur. Sadece 1 ila 5 mikron boyut aralığındaki damlacık çekirdekleri terminal hava boşluklarına veya alveollere ulaşır; her birinin sadece birkaç bakteri içerdiği anlaşılmaktadır.
Bir bulaş olayının gerçekleşme olasılığı, hava hacmi başına düşen bulaşıcı damlacık çekirdeklerinin sayısına (bulaşıcı partikül yoğunluğu) ve enfekte olmamış bireyin bu havayı soluyarak geçirdiği sürenin uzunluğuna bağlı olacaktır.
Kaynak (Hasta) Faktörleri
Nadir istisnalar dışında bulaşma, bir tüberküloz hastasının enfeksiyöz aerosol üretebilmesini gerektirir. Bu nedenle, ağırlıklı olarak yetişkin tipi akciğer tüberkülozu olan ergen veya yetişkin hastalar aracılığıyla gerçekleşir. Küçük çocuklar nadiren bulaştırıcı olabilirler; çünkü genellikle akciğer lezyonlarında daha az sayıda basil bulunur ve balgam çıkarmazlar.
Pulmoner tüberküloz hastalarının bulaştırma kabiliyeti bir dizi faktöre bağlı olarak değişebilir. Bu faktörler, hastanın insan immün yetmezlik virüsü (HIV) serostatusundan bağımsız olarak bulaşıcılığı etkiler ancak HIV ile koenfekte tüberküloz hastaları, şiddetli immünosupresyona sahip olduklarında HIV ile enfekte olmayan tüberküloz hastalarına göre daha az bulaştırıcıdır.
En bulaşıcı akciğer tüberkülozu hastaları yayma pozitif/kültür pozitif olan hastalardır; bunu yayma negatif/kültür pozitif hastalar takip eder; en az bulaşıcı olanlar ise yayma negatif/kültür negatif olan hastalardır.
Düz akciğer grafiğinde kavitasyon bulunan tüberküloz hastalarının, yayma durumu dikkate alındıktan sonra, kavitasyon bulunmayan hastalara kıyasla daha enfeksiyöz (bulaşıcı) olduğu düşünülmektedir. Akciğer kavitasyonu olan yayma pozitif tüberküloz hastaları, kavitasyon olmayanlara göre daha yüksek yarı kantitatif yayma sonuçlarına sahiptir. Tipik göğüs radyografisi bulguları olan yayma pozitif tüberküloz hastaları, diğer tüm atipik göğüs radyografisi bulguları olan yayma pozitif tüberküloz hastalarından daha bulaşıcıdır.
Ek olarak, larenks tüberkülozu olan hastalar, pulmoner vakalara göre daha bulaşıcıdır. Bu hastaların çoğunda ileri derecede akciğer hastalığı da vardır.
Semptomatoloji
Genel olarak, normal nefes alma az sayıda bulaşıcı partikül üretir; bir öksürük nöbeti veya 5 dakika normal tonda konuşma çok daha fazlasını üretir; ve hapşırma en çoğunu üretir. Ev temaslılarının enfekte olma olasılığı kaynak vakadaki öksürük sıklığı ile artar.
Yayma pozitif hastalardan gelen damlacıkların havadan enfektivitesi, balgamın yapay olarak atomize edilmesi ve kobayların standart bir doza maruz bırakılmasıyla değerlendirildiğinde, aerosol haline getirilmiş balgamın enfektivitesinde belirgin bir değişkenlik olduğu görülmüştür.
Bu da belki de yayma pozitif hastalar arasındaki enfeksiyözlüğün olağanüstü heterojenliğini açıklamaktadır. Dolayısıyla hastaların balgamlarında eşit sayıda bakteri varmış gibi görünse de, balgamlarının fiziksel ve kimyasal özellikleri ve/veya davranışları çok veya az sayıda damlacık çekirdeği üretip üretmediklerini belirleyebilir.
Gecikmiş Teşhis ve Tedavi
Tanıya kadar geçen süre arttıkça temaslı sayısı ve her bir temasın maruz kalma süresi de artabilir. Kaynak vakada semptomların süresi uzadıkça bulaşma riski de artar.
İlaç duyarlılık testi sonuçlarına uygun etkili tedavi, öksürük sıklığını ve balgamdaki bakteri sayısını hızla azaltır. İlaç direncinin sıklığı göz önüne alındığında, tedavinin belirli bir hastanın bulaşıcılığını azaltmada etkili olduğunun belirlenmesi, sadece tedavinin başlamasından bu yana geçen süreyi değil, objektif klinik, radyografik ve/veya mikrobiyolojik iyileşmeyi yansıtmalıdır.
Alıcı (Hasta) Faktörleri
Daha önce enfekte olmuş ve bağışıklık sistemi güçlü kişilerde, yeniden enfeksiyona karşı yaklaşık %80 oranında koruma geliştiği tahmin edilmektedir. Öte yandan, bağışıklık sistemi baskılanmış kişiler, geçmişte enfekte olmuş ve yeterli tedavi görmüş olmalarına rağmen yeniden enfekte olabilirler. Gözlemsel çalışmalar, bebeklik döneminde Bacille Calmette-Guerin aşılamasının, interferon-gama salınım tahlili (IGRA) ile tespit edildiği üzere M. tuberculosis enfeksiyonuna karşı bir miktar koruma sağladığını göstermektedir.
Patojen Faktörleri
M. tuberculosis'in bir veya daha fazla virülans özelliğinin bulaşma kabiliyetini etkileyebileceğini düşündüren veriler ortaya çıkmaktadır. Örneğin, bir suş, konağın doğuştan gelen direncinin üstesinden gelmek için diğerine göre daha uygun olabilir. İlaca dirençli suşlar hayvan modellerinde virülanslarının azaldığını göstermiş olsa da, bulaşabilirliklerine dair klinik kanıtlar ikna edicidir ve pratik amaçlar için ilaca duyarlı suşlar kadar bulaşabilir kabul edilmelidirler.
Pekin/W suşlarının hipervirülan olduğu bildirilmiştir, ancak bu suşlara sahip hastalarda bulaşma indekslerinin diğer suşlara sahip hastalardan daha yüksek olmadığı görülmüştür.
Çevresel Faktörler
Nadir istisnalar dışında, dış mekan maruziyetlerinin bulaşma ile sonuçlanması olası değildir. Neredeyse tüm bulaşmanın iç mekanlarda gerçekleştiği anlaşılmaktadır. İç mekanlarda bulaşma faktörleri arasında ise havanın sirkülasyonu ve ventilasyonu ile enfekte olan kişiye yakınlık ve maruziyet süresi bulunur.
Hava Sirkülasyonu ve Ventilasyonu
Havaya atılan belirli sayıda bakteri göz önüne alındığında, bakterilerin içine atıldığı havanın hacmi, bu havayı soluyan duyarlı bir bireyin enfekte olma olasılığını belirler. Temas edilen kişinin soluduğu havadaki yüksek canlı bakteri konsantrasyonu, küçük alanlar, yetersiz havalandırma veya hava sirkülasyonu ve az güneş ışığı tarafından tercih edilir. Havalandırma, enfeksiyöz damlacık çekirdeklerinin konsantrasyonunu seyreltir.
Kaynak Hastaya Yakınlık ve Maruziyet Süresi
Kaynak hastaya yakınlık da bulaşmanın bir belirleyicisidir. Bununla bağlantılı olarak, odada çok sayıda kişinin bulunması sonucunda bir kişi bulaşıcı var vakaya yakın olmak zorunda kalırsa enfeksiyon riskinin artması muhtemeldir; ve tabiki maruz kalan kişi sayısı da artar.
Kaynağa yakınlığa ek olarak, enfeksiyöz bir hastaya maruz kalma süresi de tüberküloz enfeksiyonunun önemli bir belirleyicisidir. Bulaşma ile ilişkili maruziyet süresi genellikle uzundur ancak raporlar nadir durumlarda birkaç dakika kadar kısa kapalı alan maruziyetlerinin bir kişiyi enfekte etmek için yeterli olabileceğini doğrulamıştır.
Risk Faktörleri
Tüberküloz basiline maruziyetten aktif hastalık gelişimine ilerleme riski iki farklı husustur ve hem eksojen (dışsal) hem de endojen (içsel, yani konakçı ile ilgili) risk faktörleri tarafından yönetilen iki aşamalı bir süreçtir. Bu faktörlerin doğru bir şekilde anlaşılması tüberküloz kontrol stratejilerinin planlanması için gereklidir.
Tüberküloz maruziyetini takiben enfeksiyon riski öncelikle eksojen faktörler tarafından yönetilir ve kaynak vakanın bulaşıcılığı, temas yakınlığı, sigara ve alkol kullanımı, iç mekan hava kirliliği gibi sosyal ve davranışsal risk faktörlerinin kendi içinde bir kombinasyonu tarafından belirlenir. Sosyal etkileşim olasılığının arttığı ortamlarda (aşırı kalabalıkla birlikte) bulaşma riski de yüksek olacaktır. Benzer şekilde, bulaşıcı bir hastaya maruz kalma süresini uzatan koşullar arasında tanıda gecikme gibi sağlık sistemiyle ilgili faktörler de yer almaktadır.
Enfeksiyonun hastalığa ilerleme riskini artıran faktörler ise öncelikle endojen faktörlerdir. Bağışıklık yanıtını değiştiren durumlar, HIV koenfeksiyonu ile hastalığa ilerleme riskini artırmaktadır. Ancak nüfus düzeyinde bu risk faktörünün etkisi HIV'in yerel prevalansına bağlı olarak değişebilir. Diyabet, alkol, yetersiz beslenme, tütün dumanı ve iç mekan hava kirliliği, nüfusun daha büyük bir bölümünü etkileyen ve tüberküloz hastalığına ilerlemeyi hızlandıran faktörlerdir.
Bireysel Faktörler
İmmünosupresif Koşullar
HIV koenfeksiyonu, aktif tüberküloz hastalığı gelişimi için en güçlü immünosupresif (bağışıklığı baskılayan veya azaltan) risk faktörüdür. Güney Afrika, HIV enfeksiyonu prevalansının en yüksek olduğu bölgedir. Yetişkin HIV prevalansının %20'den fazla olduğu altı güney Afrika ülkesinde tahmini tüberküloz vaka bildirim oranları yılsa 100.000'de 461 ila 719 arasındadır. Karşılaştırma yapmak gerekirse, ABD'deki bildirim oranı yılda 100.000'de 5'tir.
HIV koenfeksiyonu, tüberkülozun latent enfeksiyonunun yeniden aktive olma olasılığını büyük ölçüde artırmakta ve primer enfeksiyonu takiben hızlı hastalık gelişimini artırmaktadır. HIV prevalansının yüksek olduğu ülkelerdeki yapılan çalışmalar, tüberküloz insidansındaki mekansal ve zamansal varyasyonun HIV enfeksiyonu prevalansı ile güçlü bir şekilde ilişkili olduğunu göstermiştir. Hem yüksek hem de düşük tüberküloz yüküne sahip ülkelerde yapılan bireysel çalışmalar, artan tüberküloz insidansını HIV enfeksiyonuna bağlamıştır.
HIV koenfeksiyonu tüberkülozun şiddetini artırırken, tüberküloz koenfeksiyonu da akciğerler ve plevra gibi etkilenen organlarda HIV replikasyonunu hızlandırır. Hücre aracılı bağışıklık, M. tuberculosis'e karşı konak savunmasında çok önemli bir bileşendir ve HIV enfeksiyonu ile zayıflar, bu da tüberkülozun yeniden aktivasyonunda artan risklerle sonuçlanır ve hematojen yayılımla ekstrapulmoner tüberküloza neden olur.
Tüberküloz ayrıca sistemik immün aktivasyonunun artması yoluyla HIV ilerlemesini hızlandırır. Dolayısıyla, koenfeksiyon birçok nedenden ötürü hastalığın ilerlemesi ve ölüm oranlarında artışa yol açmaktadır.
Malnütrisyon
Çalışmalar, hem makro hem de mikro düzeyde malnütrisyonun (yani yetersiz beslenme), bozulmuş bağışıklık tepkisi nedeniyle tüberküloz riskini artırdığını göstermiştir. Tüberküloz hastalığının kendisi de iştahın azalması ve metabolik süreçlerdeki değişiklikler nedeniyle yetersiz beslenmeye yol açabilir.
Genç Yaş
Çocuklar tüberküloz enfeksiyonu ve hastalığına yakalanma açısından daha yüksek risk altındadır. Çalışmalar, balgam yayması pozitif bir vakaya maruz kalanların %60-80'inin enfekte olduğunu, buna karşılık balgam yayması negatif bir kaynak vakaya maruz kalanların yalnızca %30-40'ının enfekte olduğunu göstermiştir.
İki yaşından küçük çocukların çoğunluğu evdeki kaynak vakadan enfekte olurken, iki yaşından büyük çocukların çoğunluğu toplum içinde enfekte olmaktadır. Evdeki balgam pozitif kaynak vaka, çocuklar için en önemli risk faktörüdür ve 5-10 yaşına kadar enfeksiyona önemli bir katkıda bulunmaya devam etmektedir.
Hastalık belirtileri çoğunlukla ilk enfeksiyonu izleyen bir yıl içinde ortaya çıkar; bu nedenle maruziyet sonrası ilk yıl, hastalık gelişimi açısından en riskli dönemdir. Primer enfeksiyonu 2 yaşından önce veya 10 yaşından sonra geçiren çocuklarda hastalık gelişimi riski artmıştır. Primer enfeksiyonu takiben tüberküloza bağlı ölüm için en yüksek risk bebeklik döneminde meydana gelmiştir. Risk 1 ila 4 yaş arasında %1'e düşmüş, 15 ila 25 yaş arasında ise %2'nin üzerine çıkmıştır. Bu bulgular, çoğu gelişmekte olan ülkede 5 yaşından küçük çocuklara ve çoğu sanayileşmiş ülkede tüm hane halkı temaslılarına odaklanan klasik temaslı araştırması uygulamalarına bilimsel temel sağlamıştır.
Diyabet
Diyabetin aktif tüberküloz hastalığı riskini artırdığı gösterilmiştir. Günümüzde diyabetli kişilerin %70'inin düşük ve orta gelirli ülkelerde yaşadığı tahmin edilmektedir ve Hindistan ve Sahra-altı Afrika dahil olmak üzere tüberkülozun endemik olduğu bölgelerde oranlar giderek artmaktadır. Diyabet ve tüberküloz arasındaki ilişkiyi inceleyen 13 çalışmanın karşılaştırıldığı sistematik bir incelemede, diyabet hastalarının tüberküloza yakalanma riskinin diyabeti olmayanlara kıyasla yaklaşık üç kat daha fazla olduğu bulunmuştur.
Biyolojik kanıtlar, diyabetin doğuştan gelen ve adaptif bağışıklık tepkilerinin doğrudan bozduğunu ve böylece tüberkülozun çoğalmasını hızlandırdığı teorisini desteklemektedir. Hayvan çalışmaları, deneysel olarak M. tuberculosis ile enfekte edilen diyabetik fareler arasında daha yüksek bir bakteri yükü olduğu göstermiştir.
Sosyoekonomik ve Davranışsal Faktörler
Gelişmekte olan ülkelerde görülen hızlı kentleşme ve bireylerin sosyoekonomik durumunun da bir kişinin enfeksiyona yatkınlığı üzerinde etkili olduğu gösterilmiştir. Tüberküloz yükü, en yoksulların en yüksek riske sahip olduğu ülkeler arasında ve içinde güçlü bir sosyoekonomik gradyan izlemektedir.
Düşük sosyoekonomik statüye sahip kişiler, tüberküloz riskini artıran çeşitli risk faktörlerine (yetersiz beslenme, iç mekan hava kirliliği, alkol vb.) maruz kalmaktadır. Düşük sosyoekonomik statüye sahip kişilerin kalabalık, daha az havalandırılan yerlere maruz kalma olasılığı daha yüksektir. Mahkumlar da dahil olmak üzere marjinalleştirilmiş nüfusun tüberküloza yakalanma olasılığı, çoğunlukla kalabalık yaşam koşulları, HIV ile koenfeksiyon ve enjeksiyonla uyuşturucu kullanımı nedeniyle daha yüksektir.
Tütün Dumanı
Sigara ve tüberküloz arasındaki ilişki çeşitli sistematik incelemelerle araştırılmıştır. 2007 yılında yapılan, sigara içmenin tüberküloz üzerindeki etkilerini inceleyen 24 çalışmayı kapsayan bir meta-analizde, tüberküloz hastalığının göreceli riskinin sigara içenlerde içmeyenlere kıyasla yüksek olduğu, sigara içmenin tüberküloz enfeksiyonu ve hastalığı için bir risk faktörü olmaya devam ettiği ve aktif tüberkülozu olan kişilerde ek ölüm riskine yol açtığı tespit edilmiştir.

Yine aynı yıl, sigara içmenin ve iç mekan hava kirliliğinin tüberküloz üzerindeki rolünü inceleyen ve 38 çalışmayı kapsayan başka bir sistematik inceleme ve meta-analiz çalışması daha yapılmıştır. Özellikle sigara içenlerde tüberkülin reaktivitesini inceleyen altı çalışmanın analizi sonucunda, sigaranın latent tüberküloz enfeksiyonu üzerindeki etkisinin alkol için yapılan düzeltmelerden sonra da devam ettiği görülmüştür.
Çalışmaya katılan yazarlar, ortak bulgularında sigara dumanına maruziyet ile tüberküloz enfeksiyonu, hastalığı ve ölümleri arasında artan bir risk gösterdiklerini, sigara maruziyeti ile tüberküloz edinme olasılığı arasında nedensel bir bağlantıyı desteklediklerini ve sigaranın birincil etkisinin enfeksiyon riskini artırmak olduğunu ifade etmişlerdir.
Alkol
Alkol, tüberküloz hastalığı için güçlü bir risk faktörü olarak kabul edilmiştir ve moleküler epidemiyolojik çalışmaların yakın tarihli bir meta-analizi, alkolün hem yüksek hem de düşük insidanslı ülkelerde kümelenme (veya yakın zamanda tüberküloz bulaşması) için bir risk faktörü olduğunu ortaya koymuştur.
Kohort ve vaka kontrol çalışmalarının sistematik bir incelemesi, günde 40 g'dan fazla alkol alan ve/veya alkol kullanım bozukluğu olan kişilerde aktif tüberküloz riskinin önemli ölçüde arttığı sonucuna varmıştır. Risk artışının nedenleri arasında bağışıklık sisteminde, özellikle de sitokin üretiminden sorumlu sinyal moleküllerinin değişmesinde meydana gelen değişiklikler yer almaktadır.
İç Mekan Hava Kirliliği
Gelişmekte olan ülkelerde yemek pişirmek için katı yakıt kullanım oranı %80'den fazladır. Yakacak odun veya biyokütle dumanı daha önce Hindistan ve Brezilya'da yapılan vaka kontrol çalışmalarında tüberküloz hastalığı için bağımsız bir risk faktörü olarak kabul edilmiştir.
Bununla birlikte, biyokütle dumanının kronik akciğer hastalıklarına neden olduğu mekanizma hakkında sınırlı veri mevcuttur; ancak hayvan çalışmaları, akut odun dumanının makrofaj fagositik fonksiyonunu, yüzey yapışmasını ve bakteriyel klirensi bozduğunu göstermiştir. Ayrıca biyokütle yanmasının karbon monoksit, nitrojen oksit, formaldehit ve poliaromatik hidrokarbonlar gibi alveollerin derinliklerinde birikebilen ve önemli hasara neden olabilen büyük partikül maddeler saldığı gösterilmiştir.
Bulaşmanın Durdurulması
Bulaşmanın durdurulmasına yönelik en yüksek öncelik erken tanıya, kaynak hastanın derhal izole edilmesine ve etkili tedavinin derhal sağlanmasına verilmelidir. Tüberkülozlu hastaların çoğunda semptomların sinsice gelişmesi, genellikle hastanın tanı için başvurmasından önce haftalar veya aylar süren bir gecikmeyle sonuçlanmaktadır.
Tanı aşamasında sağlık personeli veya sistemden kaynaklanan herhangi bir gecikme, hastalığın gereksiz yere yayılmasına neden olabilir. Bu nedenle, sağlık hizmeti sağlayıcıları arasında tüberküloz konusunda uygun bir farkındalığın sürdürülmesi, erken teşhis ve tedaviyi başlatmalarını sağlayarak bulaşmayı azaltmak için kritik öneme sahiptir.
Sağlık hizmetlerinde ve diğer toplu ortamlarda maruziyeti azaltmayı amaçlayan idari ve mühendislik kontrolleri, hızlı tanı ve uygun tedaviyi tamamlar ancak bunların yerini alamaz. Bir zamanlar tüberkülozun bulaşmasını önlemede önemli olduğu düşünülen giysi veya nevresim gibi kişisel eşyaların atılması, fomitlerin sterilize edilmesi, kep ve önlük kullanılması, bulaşıkların kaynatılması ve duvarların yıkanması gibi yöntemler gereksizdir, çünkü bunların hava yoluyla bulaşmaya hiçbir etkisi yoktur. Cansız nesnelere yerleşen bakterilerin çoğu kuruma, ısı veya güneş ışığının etkisiyle hızla ölür.
Teşhis Yöntemleri
Teşhis, tüberküloz bakımı ve kontrolünün en zayıf yönüdür. Tüberkülozun teşhisi kolay olmadığından, teşhise giden yol genellikle tüberküloz enfeksiyonunun kanıtlarını oluşturan bir dizi klinik araştırma ve testi içermektedir. Bunlardan bazıları, örneğin göğüs röntgeninde belirtiler göstererek vücudun tüberkülozla enfekte olabileceğine dair ipuçları sağlarken, diğerleri M. tuberculosis'i bularak hastalığın varlığını kanıtlayacaktır.
Aktif tüberküloz terimi, Mycobacterium tuberculosis'in bulaşabileceği bir aşamadaki enfeksiyonunu tanımlar. Bunun gerçekleşmesi için bakterinin solunum yollarına erişmiş olması gerekmektedir. Öksürme veya hapşırma yoluyla damlacıklar halinde bulaşır. Aktif tüberküloz, hastadan alınan klinik örnekte Mycobacterium tuberculosis'in bulunmasıyla teşhis edilir. Latent tüberküloz, yani tüberküloz basili ile enfekte olma ancak semptomların veya aktif basil etkisinin (yani aktif hastalık belirti ve bulgularının) olmaması durumunda tanı koymak daha zordur. Burada sağlık çalışanları, tüberküloz enfeksiyonu için dolaylı kanıt sağlayan testlere/yöntemlere güvenirler. Ancak çoğu zaman kesinlik yoktur.
M. tuberculosis'i bulmak genellikle zordur. Bunun nedeni kalın hücre duvarı ve ulaşılması zor, havasız ve izole vücut boşluklarında yaşama yeteneğidir. Bu nedenle, sağlık çalışanının genellikle yukarıda açıklanan incelemeleri birleştirmesi gerekir. Bir araştırmanın tekrarlanması da gerekebilir. Bir kişiye aktif tüberküloz teşhisi konulduktan sonra, o kişiyle birlikte yaşayan veya yakın temasta bulunan herkesin de tüberküloz açısından test edilmesi çok önemlidir.
Tanısal Sınıflandırma
Amerikan Toraks Derneği (ATS) ve Hastalık Kontrol ve Önleme Merkezleri (CDC), tüberküloz enfeksiyonuna ve hastalığına yönelik tanısal yaklaşımlar için bir çerçeve sağlamak ve hastalığın yönetimini kolaylaştıran bir sınıflandırma şeması sunmak amacıyla tüberkülozun tanısı ve sınıflandırması için standartlar geliştirmiştir. Tüberküloz kılavuzları, HIV ile enfekte hastalarda tanı ve tedaviye farklı bir yaklaşım gerekebileceğinden, hastanın HIV durumunun bilinmesi gerektiğini belirtmektedir. Sınıflandırma şeması aşağıdaki gibidir:
- Sınıf 0 (Tüberküloz Maruziyeti Yok, Enfekte Değil): Maruziyet öyküsü yok; tüberkülin deri testine negatif reaksiyon.
- Sınıf 1 (Tüberküloz Maruziyeti Var, Enfeksiyon Kanıtı Yok): Bu hastalarda tüberkülin deri testi negatiftir. Kılavuzlar, bu hastalarda alınacak önlemin esas olarak M. tuberculosis'e maruz kalma derecesine, ne kadar yakın zamanda gerçekleştiğine ve hastanın bağışıklık durumuna bağlı olduğunu belirtmektedir. Üç ay içinde önemli bir maruziyet meydana gelmişse, son maruziyetten 10 hafta sonra tekrar bir deri testi yapılmalıdır. Buna ek olarak, özellikle 15 yaşından küçük çocuklarda ve HIV enfeksiyonu olan hastalarda latent tüberküloz tedavisine başlanması düşünülmelidir.
- Sınıf 2 (Latent Tüberküloz Enfeksiyonu Var, Hastalık Yok): Bu sınıf, tüberkülin deri testinde pozitif bir reaksiyonla karakterize edilir, ancak aktif tüberkülozun klinik, bakteriyolojik veya radyografik kanıtı yoktur. Bazı hastalarda latent tüberküloz tedavisi endike olabilir. Hastanın tedavi durumu aşağıdaki şekilde belirlenmelidir:
- Hasta hiç antitüberküloz tedavi almamıştır.
- Hasta şu anda tedavi görüyordur.
- Hasta bir tedavi sürecini tamamlamıştır.
- Hasta tamamlanmamış bir tedavi süreci geçirmiştir.
- Sınıf 3 (Tüberküloz, Klinik Olarak Aktif): Bu sınıf, tanısal değerlendirmesi tamamlanmış ve aktif tüberküloz hastalığına sahip olduğu belirlenen tüm hastaları kapsar. ATS/CDC kılavuzlarına göre, tanı hala beklemedeyse, hasta "tüberküloz şüphelisi" olarak sınıflandırılmalıdır (sınıf 5). Klinik olarak aktif tüberkülozu olan hastalar, en kesin olarak M. tuberculosis izolasyonu ile belirlenen mevcut tüberkülozun klinik, bakteriyolojik ve/veya radyografik kanıtlarına sahiptir. Hasta, mevcut atağın tedavisi tamamlanana kadar sınıf 3'te kalır.
- Sınıf 4 (Tüberküloz, Klinik Olarak Aktif Değil): Bu sınıf, geçmişte tüberküloz geçirmiş veya stabil anormal radyolojik bulguları olan, PPD testi pozitif ancak aktif hastalık bulgusu olmayan hastaları içerir. Bakteriyolojik çalışmalar negatiftir ve mevcut hastalığa dair klinik ve/veya radyografik kanıt yoktur. Kılavuzlar, bu sınıftaki hastaların hiç kemoterapi almamış olabileceğini, latent enfeksiyon için tedavi görüyor olabileceğini veya daha önce kemoterapi kürünü tamamlamış olabileceğini belirtmektedir.
- Sınıf 5 (Tüberküloz Şüphelisi, Tanı Beklemede): ATS/CDC kılavuzları, hastaların bu sınıfta üç aydan fazla kalmamasını şart koşmaktadır. Tanısal çalışmalar tamamlandığında, hastanın hastalığı önceki dört sınıftan birine göre sınıflandırılmalıdır.
Hasta Öyküsü ve Fizik Muayene
Hasta öyküsü ve fizik muayene, aktif tüberküloz hastalığının tanısal değerlendirilmesinde önemli bir başlangıç noktasıdır. Yetkin bir klinisyen tarafından yapılan dikkatli bir değerlendirme, mevcut en hızlı ve en düşük maliyetli tarama testleri arasındadır ve tüberkülozun birçok klinik sunumunu tanımak, tanıyı doğrulamak için ek yönlendirilmiş tanısal testler elde etmek için esastır. Ayrıca, fizik muayene ve iyi alınmış bir öykü, hastanın klinik ve epidemiyolojik koşullarına göre sonraki testlerin yapılmasına ve sonuçların yorumlanmasına yardımcı olur.
Akciğer tüberkülozunun klasik semptomları, hastalara öksürük varlığı ve süresi; balgam varlığı ve fiziksel görünümü; ateş, titreme, gece terlemesi ve kilo kaybının varlığı ve süresinin sorulması gereken dikkatli bir klinik öykü alınarak tanımlanabilir. Kapsamlı bir öykü ve fizik muayenede diğer fiziksel şikayetler veya anormallikler de araştırılmalıdır. Bunlar tüberkülozun akciğer dışı belirtilerini düşündürebilir ve tüberkülozun tanısal olarak doğrulanması için ek fırsatlar sağlayabilir.
Bu nedenle, kapsamlı bir öykü, hasta tarafından belirtilen diğer fiziksel şikayetleri veya anormallikleri araştırmalıdır. Örneğin, baş ağrısı, konfüzyon, ense sertliği veya motor güçsüzlük varlığı merkezi sinir sistemi tüberkülozuna işaret edebilir; göz ağrısı, bulanık görme veya fotofobi üveit için endişe yaratmalıdır; sırt ağrısı spinal tüberküloza işaret edebilir ve nefes darlığı pulmoner, perikardiyal veya plevral tüberküloza işaret edebilir.
Semptom taraması, tüberküloz için en yaygın kullanılan triyaj testidir. Uluslararası Tüberküloz Bakım Standartları, tüberküloz açısından daha fazla değerlendirilmesi gereken kişileri belirlemek için tarama sorusu olarak iki ila üç hafta süren öksürük kriterinin kullanılmasını önermektedir.
Klinik öykünün sisteme göre ayrıntılı bir şekilde gözden geçirilmesine ek olarak, dikkatli bir öyküde geçmişte aktif tüberküloz öyküsü; doğrulanmış veya olası aktif akciğer tüberkülozu olan kişilerle yakın temas; veya daha önce tüberküloz enfeksiyonu öyküsü (pozitif tüberkülin deri testi veya interferon gama salınım tahlili ile tanımlandığı şekilde) de sorgulanmalıdır. Önceki tüberküloz maruziyeti veya latent enfeksiyon bağlamında, HIV veya farmakolojik tedavi, diyabet ve kronik böbrek hastalığı nedeniyle immünosupresyon gibi latent tüberkülozdan aktif tüberküloza ilerleme için risk faktörleri özellikle önemlidir.
Fizik muayene genellikle klinik öykü bulgularına odaklanmalı ve bunları takip etmelidir. Ancak, PLWH (HIV/AIDS ile yaşayan kişiler) olmak ve/veya solunum sistemi dışında lokalize semptomların bildirilmesi gibi ekstrapulmoner tüberküloz için risk faktörleri varsa, daha kapsamlı bir fizik muayene önerilir. Öykünün tüberkülozu düşündürdüğü hastalarda, fizik muayenede akciğer dışı tüberkülozdan en sık veya en ciddi şekilde etkilenen belirli organ sistemleri değerlendirilmelidir.
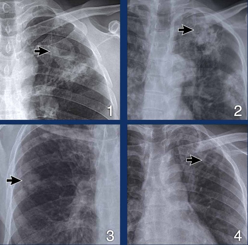
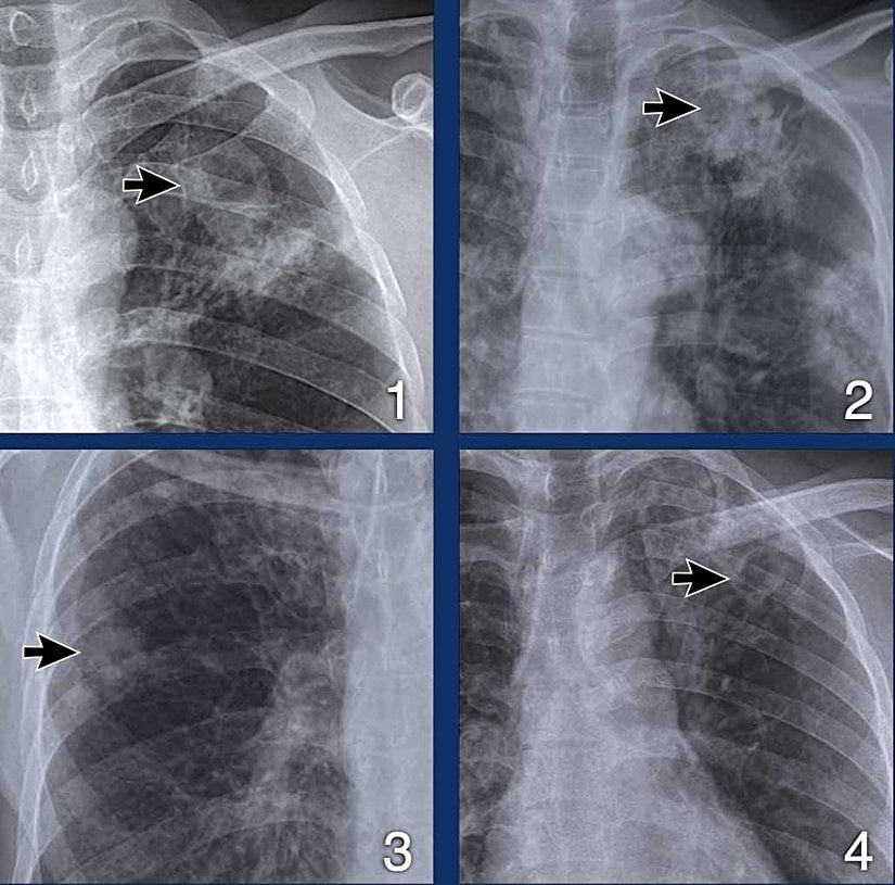
Göğüs Radyografisi
Göğüs radyografisi, akciğer tüberkülozunu taramak için en yaygın kullanılan testler arasındadır. Erişilebilir olduğu yerlerde, ya tüberküloz tanısal değerlendirmesinin rutin bir parçası olarak ya da daha kısıtlı kaynaklara sahip ortamlarda, balgam üretemeyen veya balgamın hızlı mikrobiyolojik incelemesinde (örn. yayma mikroskopisi veya nükleik asit amplifikasyon testleri ile) negatif çıkan bireylerde bir takip testi olarak yapılır.
Göğüs radyografisinin şiddetle tavsiye edildiği diğer gruplar HIV ile yaşayan kişiler ve göğüs radyografisinin ek tanısal değerlendirmeyi (örneğin, plevral efüzyonu düşündüren fiziksel bulgular) veya yönetimi (örneğin, bronkoskopi veya başka bir müdahalenin endike olabileceği önemli hemoptizisi olan bir hasta) etkileyebileceği kişilerdir. Bireylerin ağırlıklı olarak asemptomatik ve klinik öncesi hastalığa sahip olduğu toplum ortamlarında aktif vaka bulma sırasında, akciğer grafisi tüberküloz tanılarının verimini önemli ölçüde artırabilir. Bu deneyim, bilgisayar destekli yorumlama özelliğine sahip, düşük maliyetli, taşınabilir dijital radyografiye olan ilgiyi artırmıştır.
Akciğer tüberkülozunun radyografik bulguları enfeksiyon ve hastalığın evrelerine bağlıdır. Primer enfeksiyon sırasında, granülom oluşumu parankimde fokal bir skar veya kalıcı nodüle (Ghon lezyonu olarak adlandırılır) ve bazen hilum ve/veya mediastende kalsifiye lenf düğümlerine yol açabilir ve bunlar birlikte görüldüğünde Ranke kompleksi olarak adlandırılır. Bireylerin önemli bir azınlığında, bu radyografik anormallikler kalsifikasyonlu veya kalsifikasyonsuz bir skar veya kalınlaşma olarak devam edecek ve tarama göğüs radyografisinde veya bilgisayarlı tomografide ömür boyu tespit edilebilecek klinik öneme sahip olacaktır.
Primer tüberküloz enfeksiyonunu kontrol altına alamayan bireylerde tüberkülom veya fokal ya da lober infiltrat gelişebilir; bireylerin %25 kadarında multifokal hastalık olabilir. Tüberkülozun en yaygın ve ayırt edici radyografik belirtileri arasında, genellikle üst akciğer alanlarında bulunan boşluklar yer alır. Tüberkülozun bir diğer ayırt edici ancak nadir görülen radyografik bulgusu, yaygın ve rastgele mikronodüler bir paterndir; bu patern, miliyer olarak da bilinen yaygın tüberküloz için oldukça spesifiktir.
HIV ile yaşayan bireyler arasında bulgular genellikle atipik olarak basit pulmoner infiltratlar şeklinde ortaya çıkabilir ve CD4 sayısı azaldıkça PLWH arasında bulgular daha atipik hale gelir. Antiretroviral tedaviye başlandıktan sonra bağışıklık sisteminin yeniden yapılandırılmasına bağlı olarak infiltratlar ortaya çıkabilse de, önemli bir oranda normal görünümlü göğüs radyografisi bile olabilir.
Bronkoskopi
Fiberoptik bronkoskopi, merkezi hava yollarının incelenmesine ve bronşiyal yıkama, bronkoalveolar lavaj (BAL), endobronşiyal fırçalama, endobronşiyal biyopsi, ultrason rehberliğinde veya ultrason rehberliği olmadan erişilebilir yerlerde genişlemiş paratrakeal, mediastinal ve hiler lenf nodlarının transbronşiyal iğne aspirasyonu ve/veya transbronşiyal akciğer biyopsisi yoluyla alt solunum yolu örneklerinin toplanmasına izin veren yarı invaziv bir muayenedir.
Örnekler sıklıkla hücre sayımı, sitolojik boyama ve/veya akış sitometrisinin yanı sıra AFB yayma mikroskopisi, NAAT ve mikobakteriyel kültür dahil mikrobiyolojik incelemeler için gönderilebilir. Hava yolu muayenesinde endobronşiyal mukozanın granülomatöz lezyonları nadiren tespit edilebilir ve transbronşiyal aspiratlar ve biyopsilerde bazen aktif tüberkülozu doğrulayan doku veya tüberküloz dışı mikobakterilere bağlı enfeksiyon veya mantar enfeksiyonu, sarkoidoz gibi enflamatuar bir durum veya malignite gibi alternatif bir tanı tespit edilebilir. Bağışıklık sistemi baskılanmış hastaların değerlendirmeye tabi tutulması gibi bazı klinik senaryolarda, diğer enfeksiyonların teşhisi için örnek almak amacıyla bronkoskopi endike olabilir. Bu durumlarda, ayırıcı tanı ve alınacak numune türleri hakkında bilgi verebilecek radyografik paternleri ve hastalık yerlerini belirlemek için prosedür genellikle göğüs BT'si tarafından yönlendirilir. Bu tür senaryolarda bronkoskopi, tüberküloz veya diğer enfeksiyonların teşhisine kadar geçen süreyi kısaltabilecek ve yönetim değişikliklerine yol açabilecek konsantre salin yıkamaları elde etme fırsatı sunabilir. Diğer senaryolarda, olası akciğer kanseri gibi pulmoner infiltratlara, boşluklara veya nodüllere neden olan başka bir durum için tanısal değerlendirmenin bir parçası olarak beklenmedik bir şekilde tüberküloz teşhisi konulabilir. Bronkoskopinin faydalı olabileceği belirli bir grup, radyografide rastgele dağılım gösteren 2-3 mm'lik yaygın nodüler opasitelerle karakterize "miliyer" patern gösteren hastalardır; bunların darı tohumlarına benzediği ve hematojen olarak yayılmış mikobakterileri temsil ettiği söylenir. Basillerin vaskülatür yoluyla bu geniş dağılımı göz önüne alındığında, balgam örnekleri paucibasiller olma eğilimindedir ve mikrobiyolojik inceleme duyarsızdır; endobronşiyal fırçalama, transbronşiyal biyopsi ve/veya bronkoalveolar lavaj, miliyer tüberkülozlu hastaların yarısından fazlasında tanıyı doğrulayabilir.
Güncel Balgam Testleri
Yayma Mikroskopisi
Balgam yayma mikroskopisi, Robert Koch'un 1882'de M. tuberculosis'i keşfettiği döneme dayanır ve tüberküloz için en yaygın tanı testi olmaya devam etmektedir. Genellikle balgam üzerinde yapılan test, küçük bir tanı materyali örneğinin tek kullanımlık bir cam lam üzerine doğrudan sürülmesini, materyalin cama ısıyla sabitlenmesini ve mikobakteriler ile Nocardia ve Rhodococcus dahil az sayıda başka bakteri için spesifik olan kimyasal boyaların uygulanmasını içerir.
Klasik karbol-fuksin boyaları, mikobakteriyel hücre duvarının parlak fuşya renkli boyayı emmesini sağlayan benzersiz bir özelliğinden yararlanır. Metilen mavisi karşı boyası uygulandıktan ve ardından asit alkol ile boya uzaklaştırma prosedürü uygulandıktan sonra bile bu rengi korurlar. Işık mikroskobu altında, koyu pembe basiller mavi arka plana karşı kolayca görülebilir ve basil yükünün yarı nicel bir ölçüsü olarak sayılabilir.
Tekniğin bir sınırlaması, teknisyenin yayma pozitif tüberkülozu dışlamak için 10 dakika boyunca 1000x objektif altında en az 2 cm'lik bir lam uzunluğunu görüntülemesini gerektirmesidir. Uzun ömürlü, düşük maliyetli LED ampuller kullanan yeni mikroskoplar, mikobakteriyel sitoplazmanın florokrom boyalarını görselleştirmek için uyarlanmıştır, bu da 200x'de görüntülemeye izin verir ve bir lamı okumak için gereken süreyi büyük ölçüde azaltır.
Bununla birlikte, balgam yayma mikroskopisi, aktif akciğer tüberkülozu hastalarının yalnızca %50 ila %70'ini tespit eden düşük hassasiyetle sınırlıdır. Ayrıca, tüberküloz prevalansının yüksek olduğu ortamlarda teknik yüksek özgüllüğe sahipken tüberküloz prevalansının düşük olduğu ortamlarda ve daha önce tüberküloz öyküsü olan hastalar arasında özgüllüğü ve pozitif prediktif değeri önemli ölçüde azalmaktadır.
Mukolitik (mukus eriten) ajanların kullanılması ve işleme öncesinde santrifüj işleminin yayma mikroskopisinin hassasiyetini ortalama %13 oranında artırdığı gösterilmiştir. Santrifüj gerektirmeyen işleme yöntemleri de tanımlanmıştır, ancak bunlar özgüllüğün mütevazı ölçüde azalmasıyla ilişkilidir.
Mikobakteri Kültürü
Katı veya sıvı besi ortamında iki-üç solunum örneğinin mikobakteriyel kültürü, akciğer tüberkülozu tanısı için referans standart test olarak kabul edilmektedir. Ne yazık ki, mikobakteri kültürü, Biyogüvenlik Seviye 3 (BSL-3) koruması da dahil olmak üzere önemli teknik uzmanlık ve laboratuvar altyapısı gerektirir, çünkü kültürdeki yüksek basil konsantrasyonu laboratuvar personeline M. tuberculosis bulaşma riskini artırır. Sonuç olarak, mikobakteriyel kültür genellikle sadece merkezi ticari veya halk sağlığı laboratuvarlarında mevcuttur ve çoğu düşük gelirli ülkelerde rutin olarak mevcut değildir.
Numune toplama ve işleme ile ilgili çeşitli faktörler mikobakteriyel kültürün duyarlılığı ve özgüllüğü üzerinde önemli bir etkiye sahiptir. Örneğin, basil miktarı aynı denek içinde bile numuneden numuneye değişebileceğinden, kaynaklar izin veriyorsa kültür için en az üç numune gönderilmelidir. Ağızdaki normal bakteri florası (kommensaller), balgam çıkarma sırasında örneğe karışarak kültür ortamında hızla çoğalabilir ve M. tuberculosis'in üremesini baskılayabilir.
Bunu sınırlamak için, laboratuvarlar kültüre aşılamadan önce balgamı sodyum hidroksit kullanarak dekontamine eder, ancak bu işlem örnekteki tüm mikobakterilerin üçte birini ortadan kaldırabilir. Mikroskopide olduğu gibi, N-asetil-L-sistein gibi mukolitik ajanlarla muamele ve santrifüj yoluyla konsantrasyon, inokülasyon için mikobakteri sayısını en üst düzeye çıkarmaya yardımcı olur.
Bu önlemlere rağmen, mikobakteri kültürü için gönderilen tüm balgam örneklerinin yaklaşık %5'i kontaminasyon nedeniyle belirsiz bir sonuç verecektir. Kontaminasyon olasılığını azaltmak için, kültüre gönderilen balgam soğuk zincirle muhafaza edilerek taşınmalı ve laboratuvara ulaştıktan sonra mümkün olduğunca hızlı bir şekilde işlenmelidir. Alternatif olarak balgam, soğuk zincir gerekmeksizin mikobakteriyel hücreleri stabilize etmek ve aşırı büyümeden korumak için tasarlanmış setilpiridyum klorür ve diğer yeni ticari ajanlar gibi ajanlarla tedavi edilebilir.
Nükleik Asit Amplifikasyon Testi (NAAT)
Tüberküloz için nükleik asit amplifikasyon testi, balgamda veya başka bir respiratuar numunede M. tuberculosis kompleksinin DNA'sını tespit etmek için kullanılan moleküler bir testtir. Bir örnekteki DNA miktarı çok küçük olduğundan NAAT genetik materyali çoğaltan (veya kopyalanan) bir adım içerir. Polimeraz Zincir Reaksiyonu (PCR), laboratuvar teşhisinde kullanılan yaygın bir NAAT yöntemidir. GeneXpert®️ MTB/RIF testi, M. tuberculosis kompleksini ve rifampin direnci sağlayan genetik mutasyonu aynı anda tespit eden bir PCR'dir.
Xpert MTB/RIF Testi
Xpert MTB/RIF, tüberkülozu ve önemli birinci basamak tüberküloz ilaçlarından biri olan rifampine karşı direnci sadece iki saat içinde tespit edebilen moleküler bir tanı testidir. Rifampin direnci genellikle çok ilaca dirençli tüberkülozun vekil belirteci olarak kabul edilir.
Geleneksel yayma mikroskopisinden daha hızlı olmasının yanı sıra Xpert/RIF, HIV ile yaşan bireylerden ve çocuklardan alınan örneklerde tüberkülozu daha iyi tespit edebilir. Xpert MTB/RIF daha hızlı ve daha hassa bir sonuç verse de daha pahalıdır ve kesintisiz bir elektrik kaynağı gerektirir.
Genotip MTBDR ve INNO-LiPA RIF Testi (LPA's)
Genotip MTBDR ve INNO-LiPA RIF, tüberkülozu ve rifampin direncini tespit edebilen diğer iki moleküler testtir. INNO-LiPA RIF, bir diğer önemli birinci basamak tüberküloz ilacı olan izoniazide karşı direnci de tespit edebilir. Bu testler, ilaç direnciyle ilişkili gen mutasyonlarını vurgulayan bir renklendirici madde kullanarak tüberküloz bakterisinin DNA'sındaki mutasyonları tespit ettikleri için "çizgi prob testleri" (line probe assays - LPA's) olarak adlandırılır.
Teknik olarak, her iki test de tüberkülozu ve direnci bir gün içinde tespit edebilir fakat Xpert MTB/RIF'den farklı olarak, bu testler uygun ekipmana ve eğitimli personelin bulunduğu merkezi laboratuvar tesislerinde yapılmalıdır ve laboratuvar işlem süresi gerektirir; bu da çoğu zaman hastalar için sonuçların gecikmesine ve uygun tedaviye başlamanın ertelenmesine neden olur.
Tüberkülin Deri Testi
Tüberkülin deri testi yaygın olarak kullanılan tüberküloz tanı testlerinden biridir. Genellikle saflaştırılmış protein türevi (PPD) kullanılarak yapılan tüberkülin deri testi, M. tuberculosis'e karşı immünolojik yanıtı ölçer ve bu nedenle hem latent hem de aktif enfeksiyonda pozitif olmalıdır ve bu nedenle ikisi arasında ayrım yapamaz; Bacille Calmette-Guérin ile aşılanmış kişilerde yanlışlıkla pozitif olabilir. Deri testi sonuçları pozitif olan kişilerde aktif akciğer tüberkülozunu ekarte etmek veya doğrulamak için göğüs röntgeni kullanılabilir.

Standart doz olan 0.1 mL solüsyon içinde 5 tüberkülin ünitesi PPD volar ön kola enjekte edilir. Enjeksiyonun deri altına değil deri içine yapılması çok önemlidir; enjeksiyon sonrasında iyi sınırlandırılmış bir kabarıklık enjeksiyonun doğru şekilde yapıldığını gösterir. Enjeksiyondan 48 ila 72 saat sonra kolun uzun ekseninin çaprazındaki endürasyonun (eritem değil) çapı ölçülür.
Ciltteki endürasyonun sınırlarını belirlemek için bir kalem kullanılması daha hassas ölçümler yapılmasına yardımcı olabilir, ancak deri testlerini okumak doğası gereği değişkendir ve terminal basamak tercihi, yani 5, 10, 15 ve 20 mm'lik sonuçları kaydetmeyi tercih etme eğilimi de dahil olmak üzere bir dizi hataya tabidir.
Endürasyon sınırlarını belirlemek ve ölçmek zor olabildiğinden, milimetrik farklara aşırı klinik anlam yüklemekten kaçınılmalıdır. Örneğin, 9 mm'lik bir okuma muhtemelen 11 mm'lik bir okumadan farklı olarak yorumlanmamalıdır, yani 11 mm'lik okumayı latent enfeksiyon olarak değerlendirirken 9 mm'lik okumayı enfekte olmamış olarak göz ardı etmemek gerekir.
Laboratuvar Uygulamaları
Tüberküloz enfeksiyonu (aktif veya latent) için birincil tarama yöntemi, saflaştırılmış protein türevi (PPD) ile Mantoux tüberkülin deri testidir. Ayrıca Mycobacterium tuberculosis'e özgü antijenlerle interferon-gama salınım testine (IGRA) dayanan bir in vitro kan testi de latent tüberküloz enfeksiyonunu tarayabilir. IGRA testleri, tüberkülin deri testine göre bazı avantajlar sunmaktadır.
Tüberküloz şüphesi olan hastalarda aşağıdaki laboratuvar testleri yapılmalıdır:
- Aside dirençli basil (AFB) yayması ve kültürü (hastadan alınan balgam kullanılarak)
- Tüberkülozu olan ve HIV durumu bilinmeyen tüm hastalarda HIV serolojisi
AFB boyaması hızlıdır ancak pozitiflik için çok yüksek organizma yükü ve boyanmış numuneyi okumak için uzmanlık gerektirir. Bu test akciğer hastalığı olan hastalarda daha yararlıdır. Tanıda gecikme hasta mortalitesini artırabileceğinden, diğer tanısal testlerin değerlendirilmesi gerekebilir. Geleneksel mikobakteriyel kültürlerde üreme ve tanımlama için haftalar gerekir. Daha yeni teknolojiler 24 saat içinde tanımlamaya izin vermektedir.
Olası ilişkili pulmoner bulguları değerlendirmek için bir akciğer grafisi çekilmelidir. Göğüs radyografisi bulguları tüberküloza işaret ediyorsa ve balgam yaymasında AFB pozitifse tüberküloz tedavisi başlatılmalıdır. Göğüs radyografisinde belirsiz bulguları olan hastalarda bilgisayarlı tomografi (BT) taraması anormalliklerin daha iyi tanımlanmasına yardımcı olabilir.
Soliter pulmoner nodüller için teknesyum-99m (99m Tc) metoksi izobütil izonitril tek foton emisyon BT (SPECT) taraması, tüberkülozu maligniteden ayırt etmek için yüksek bir prediktif değer sağlar. Bu nedenle, özellikle endemik bölgelerde pozitron emisyon tomografisi (PET) taraması mevcut olmadığında düşük maliyetli bir alternatif olarak hizmet etme potansiyeline sahiptir.
Semptomlar ve radyografik bulgular çok ilaca dirençli tüberkülozu tam duyarlı tüberkülozdan ayıramamaktadır. Hastanın daha önce tüberküloz tedavisi öyküsü varsa, çok ilaca dirençli tüberküloz prevalansının yüksek olduğu bir ülkede doğmuş veya yaşamışsa, çok ilaca dirençli bir tüberküloz vakasına maruz kaldığı biliniyorsa veya standart tüberküloz tedavisine rağmen klinik olarak ilerliyorsa çok ilaca dirençli tüberkülozdan şüphelenilmelidir.
Numune Toplama
Ekspektore Balgam
Alt solunum yollarından alınan bir örneğin incelenmesi, yayma mikroskopisi, nükleik asit amplifikasyon testi (NAAT) veya mikobakteriyel kültür kullanılarak akciğer tüberkülozu için test yapılmasında önemli bir ilk adımdır. Yüksek kaliteli balgam örneklerinin elde edilmesi muhtemelen önemlidir ancak zor olabilir. Yeterli bilimsel kanıt sınırlı olsa da, klinik deneyim ve uzman görüşleri, örnek kalitesinin yeterli hacme ve makroskopik görünüme (tükürük yerine balgam olmasına) göre değerlendirilmesini önermektedir.
Muayene için balgam ekspektorasyon veya indüksiyon yoluyla elde edilebilir. İyi kalitede balgam elde etmek için balgamın toplanmasına özen gösterilmelidir. Balgam eğitimli ve deneyimli bir sağlık çalışanı tarafından alınmalıdır. Yayma mikroskopisi için balgam toplanmasına ilişkin DSÖ kılavuzları, bir sağlık çalışanının hastaya iyi kalitede balgamı nasıl çıkaracağını öğretmek için aşağıdaki üç adımı izlemesini önermektedir:
- Hastaya balgam almadan hemen önce üç derin nefes alması söylenir
- Hastadan kuvvetli bir şekilde öksürmesi istenmeli
- Hastaya tükürük yerine balgam çıkarması talimatı verilmeli
Balgam incelemesinin bir diğer önemli yönü de numunelerin sayısı, toplanma zamanı ve toplanma süresiyle ilgilidir. DSÖ 2007 yılından bu yana, yayma mikroskopisi ile inceleme için hasta başına yalnızca iki balgam örneği alınmasını önermektedir.
DSÖ, 2012 yılında, bir saat arayla alınan iki örneğin incelenmesinin, farklı günlerde alınan iki örnekle benzer bir tanı verimi sağladığını ve takip için ilk kayıp oranlarını azalttığını gösteren yüksek kaliteli verilere dayanarak, "aynı gün mikroskopi" adı verilen yeni bir balgam toplama yaklaşımını onaylamıştır. Balgam yayma incelemesinin verimini en üst düzeye çıkarmak için sabah erken saatlerde balgam alınması uzun zamandır önerilmektedir fakat hastaların sağlık tesislerine geri dönmelerini gerektirmesi, tanı sürecinden yüksek oranda vazgeçme ile ilişkilendirilmiştir.
Aktif tüberküloz için değerlendirme yapılan 8967 kişiyi kapsayan 23 çalışmanın sistematik olarak gözden geçirilmesini içeren iki yeni yüksek kaliteli çalışma, sabah erken saatlerde balgam alınmasının, rastgele zamanlanmış, "yerinde" balgam alınmasına göre tanı veriminde istatistiksel olarak anlamlı bir artış sağlamadığını ortaya koymuştur. Birleştirilmiş gece balgam toplama bile, iyi kalitede balgam örneğinin nasıl üretileceğine dair talimatlara sahip bir sağlık çalışanı tarafından doğrudan gözlemlenen yerinde balgam toplamadan daha yüksek bir verim sağlamamıştır.
Balgam değerlendirmesinin tek bir ziyarette tamamlanmasının hastalar, sağlık hizmeti sağlayıcıları ve halk sağlığı açısından birçok faydası vardır; bunlar arasında hastalar için daha erken teşhis, daha fazla kolaylık ve daha düşük maliyet; sağlık hizmeti sağlayıcıları için daha az bakım süresi ve halk sağlığı için daha az takip kaybı yer almaktadır.
Tüberküloz teşhisi için balgam toplamanın bir dizi operasyonel sınırlaması vardır. Bunlardan en önemlisi enfeksiyon kontrolüyle ilgili endişelerdir çünkü balgamın çıkarılması tüberkülozun nozokomiyal yayılımına yol açabilecek öksürük aerosolleri üretir. Bu nedenle, sağlık çalışanları N95 partikül maskeleri gibi kişisel koruyucu ekipmanlar kullanmalı ve kaynakların elverdiği durumlarda balgam ve solunum örnekleri negatif basınçlı havalandırma ve yüksek verimli partikül egzoz sistemleriyle donatılmış odalarda toplanmalıdır; işlemin ardından havanın ultraviyole mikrop öldürücü ışınlama ile sterilize edilmesi ek bir koruma önlemi sağlar.
Bu tür tesisler mevcut değilse, numuneler diğer hastalardan uzakta, yeterli doğal havalandırmanın ve bol güneş ışığının olduğu bir yerde toplanmalıdır. İkinci olarak, tüm hastalar, özellikle de küçük çocuklar balgam çıkaramayabilir. En az 1-5 mL iyi kalitede, tükürük dışı balgam toplanmalı, ancak mevcut en iyi örnek analiz edilmelidir. İlk talepte ve yönlendirmeyle balgam çıkaramayan bireylerde, balgam indüksiyonu veya bronkoskopiye geçmeden önce daha sonraki bir zamanda ikinci bir balgam isteğin bulunmak faydalı olacaktır.
İndükte Balgam
Öksürdükten sonra balgam çıkaramayan hastalarda, ultrasonik nebülizör veya pnömatik kompresör kullanılarak aerosol haline getirilen ve bir ağızlıktan yüksek akışlı hava yoluyla verilen hipertonik salin ile 15 dakikalık bir tedavi, öksürmeyi ve alt hava yollarından bir numunenin ekspektorasyonunu (çıkarılmasını) indüklemek için iyi bilinen bir prosedürdür.
Genellikle %3-%7 NaCl konsantrasyonlarında uygulanan aerosolize salin, merkezi hava yollarına yerleşir ve burada interstisyel sıvının solunum yoluna ozmotik girişini teşvik eder. Bu ilave sıvı, hava yolu reseptörleri aracılığıyla öksürüğü tetikler ve hastanın, gözetmen sağlık çalışanının teşvikiyle, mikrobiyolojik inceleme için gönderilebilecek mukuslu veya mukussuz ince sıvı çıkarmasına yol açar.
Tükürük örneğinin uygunsuz bir şekilde reddedilmesini önlemek için numune indüklendiğinde laboratuvar personeli bilgilendirilmelidir. Balgam indüksiyonunda enfeksiyon kontrolü özellikle önemlidir çünkü hastadan birkaç dakika boyunca tekrar tekrar öksürmesi istenir ve buna dikkat edilmelidir.
Ayırıcı Tanı
Tüberküloz, diğer enfeksiyöz ve hastalık süreçlerini taklit etme yeteneği ile iyi bilindiğinden ayrıcı tanısı geniştir. Örneğin konjenital tüberküloz, konjenital sifilis veya sitomegalovirüs enfeksiyonunu taklit edebilir. Ayırıcı tanıda düşünülmesi gereken durumlardan bazıları şunlardır:
Genel Ayırıcı Tanı: (Bu liste hem pulmoner hem de bazı ekstrapulmoner formları taklit edebilecek durumları içerir)
- Aktinomikoz
- Aspergilloz
- Bronşektazi
- Konstriktif Perikardit
- Mantar Pnömonisi
- Histoplazmoz
- Akciğer Apsesi
- Nocardiosis
- Küçük Hücreli Dışı Akciğer Kanseri
- Pott Hastalığı (Tüberküloz Spondilit)
Pulmoner Ayırıcı Tanı: (Bu liste daha çok akciğer bulgularıyla seyreden tüberküloz tablolarıyla karışabilecek durumları içerir)
- Blastomikoz
- Tularemi
- Aktinomikoz (pulmoner formu)
- Mycobacterium avium-intracellulare enfeksiyonu
- M. chelonae enfeksiyonu
- M. fortuitum enfeksiyonu
- M. gordonae enfeksiyonu
- M. kansasii enfeksiyonu
- M. marinum enfeksiyonu
- M. xenopi enfeksiyonu
- Skuamöz hücreli karsinom
Tedaviler veya İdare Yöntemleri
Önlenebilir ve tedavi edilebilir bir hastalık olan tüberkülozun teşhisi, tedavisi ve önlenmesi; ön saflardaki halk sağlığı görevlileri, yetişkin ve çocuk birinci basamak klinisyenleri, ileri bakım klinisyenleri, klinik laboratuvar teknologları, göğüs hastalıkları uzmanları, bulaşıcı hastalıklar uzmanları, eczacılar ve hemşireler arasında koordinasyon gerektirir.
Tüberkülozun ustalıkla yönetilmesi, öykü alma, fizik muayene ve tanı testlerinin yorumlanmasında uzmanlık ve hastalara özel kanıta dayalı tedavi rejimlerinin uygulanmasında yeterlilik gerektirir. Etik olarak, hasta özerkliğine saygı, mahremiyetin korunması, yararlılık ve zarar vermeme ilkeleri gözetilerek, hastaların kendi refahları doğrultusunda karar alma süreçlerine katılımı sağlanmalıdır.
Hastaneye Yatış
Aktif tüberkülozun hastaneye yatış için ana endikasyonları şunlardır:
- Ciddi eşlik eden hastalık
- Teşhis prosedürlerine duyulan ihtiyaç
- Sosyal konular (örneğin evsizlik)
- Daha önce maruz kalmamış insanlarla düzenli olarak karşılaşılabilecek toplu ortamlarda yaşayan insanlar için olduğu gibi solunum izolasyonu ihtiyacı (öncelikle etkili tedavi sağlanamıyorsa önemlidir)
İlaca dirençli tüberkülozun sonuçları oldukça ciddi olduğundan, en azından tedaviye klinik yanıt kesinleşene kadar, tedavi başlangıcı için solunum izolasyonu ile hastaneye yatış gereklidir. İdeal olarak, hastaneye yatırılan tüm hastalar saatte 6 ila 12 hava değişimi olan negatif basınçlı bir odada olmalıdır. Odaya giren sağlık personeli, uygun şekilde takılmış ve Ulusal Mesleki Güvenlik ve Sağlık Enstitüsü sertifikasına (N-95 veya üstü) uygun bir solunum cihazı (cerrahi maske değil) takmalıdır.
Hastanede yatan diğer savunmasız hastalara bulaştırma sonuçları yüksek olduğundan, etkili tedavi alan hastalar balgam yaymaları negatif hale gelmeden önce bulaşıcı olmamasına rağmen solunum izolasyonundan serbest bırakma genellikle en az bir sabah erken negatif örnek dahil olmak üzere 2 gün içinde 3 negatif balgam yayması gerektirir.
İki negatif balgam NAAT'si, semptom veya bulgulara dayalı olarak değerlendirilen hastalarda izolasyon amacıyla tüberkülozu ekarte etmek için kullanılabilir, ancak bilinen tüberkülozu olan hastalarda kullanılamaz çünkü M. tuberculosis DNA'sı NAAT'ler tarafından tedavi hastaları enfeksiyonsuz hale getirdikten çok sonra tespit edilebilir.
Bununla birlikte, balgam yayma durumuna bakılmaksızın hastaların izolasyon odalarından doğrudan evlerine taburcu edilmesi genellikle mantıklıdır çünkü (daha önce maruz kalmış olan) ev halkı üyeleri, hastalıkları onları daha savunmasız hale getiren hastane hastalarına göre muhtemelen daha az risk altındadır.
Sıkça sorulan bir soru, hastaların tüberküloz nedeniyle ne kadar süreyle hastanede kalması gerektiğidir. Balgam yayma durumu ne olursa olsun, tüberkülozlu hastaların çoğunun evde yaşarken tamamen ayaktan teşhis ve tedavi edilebileceği göz önüne alındığında, taburcu edilmeden önce hastanede yatış süresi gerekmemeli veya taburcu balgam yayma veya kültür durumuna bağlı olmamalıdır.
Belirtildiği gibi, etkili tedavinin başlaması bulaşmayı hızla azaltmaktadır. ABD'de tüberkülozlu hastalarla genellikle ilk olarak hastanenin acil servisinde karşılaşılmakta, tanı için hastaneye yatırılmakta ve tedaviye başlanmakta, bu sırada sağlık departmanı vakadan haberdar edilmekte ve temas araştırmaları ve gözetimli tedavi için düzenlemeler yapılmaktadır.
Bu hastaneye kabul ve solunum izolasyonu sırası sıklıkla gerçekleştiğinden, balgam testlerine göre kişinin bulaşıcı olmadığına karar verilene kadar hastaneye yatış ve solunum izolasyonunun gerekli olduğuna dair yanlış bir izlenim vardır. Bu gereklilik yanlıştır ve klinisyenler klinik olarak sorumlu erken taburculuğa odaklanmalıdır.
Hastanelerde ve kliniklerde en yüksek tüberküloz bulaşma riskinin, etkili tedavi gören bilinen tüberküloz hastalarından değil, tanı konmamış tüberküloz veya tanımlanmamış ilaç direnci olan ve yetersiz tedavi gören hastalardan kaynaklandığını unutmamamak önemlidir.
Nozokomiyal Bulaşın Önlenmesi
Hastane kaynaklı yayılımı önlemek için, olası aktif tüberkülozu olan hastalar hastaneye kabul edildikleri andan itibaren hastalık riskine göre kategorize edilmeli ve yönetilmelidir. Kliniklere veya acil servislere başvuran hastalarda aktif tüberkülozdan şüphelenildiğinde, hasta bakım alanlarında geçirilen süreyi en aza indirmek için hastalar hızla değerlendirilmelidir. Risk kategorileri aşağıdakileri içerir:
- En Yüksek Riskli (Tüberküloz şüphesi yüksek ancak aside dirençli yayma sonuçları bekleniyor. Aside dirençli yayma negatif ancak çok ilaca dirençli tüberkülozdan şüpheleniyor. Yeni teşhis edilmiş aktif tüberküloz): Bu kategorideki hastalar, tüberküloz dışlanana veya bulaştırıcılıklarının azaldığı kanıtlanana kadar en yüksek bulaştırma riskine sahip olduğu varsayılır. Derhal Havayolu Enfeksiyon İzolasyon Odasına veya saatte en az 6-12 hava değişimi sağlayan eşdeğer bir negatif basınçlı izolasyon odasına yerleştirilmelidirler. Bu hastaların odasına giren tüm sağlık çalışanları, her seferinde uygunluk kontrolü yapılmış N95 veya FFP2/FFP3 seviyesinde koruyucu solunum maskesi takmalıdır. Tanının hızla doğrulanması veya dışlanması kritik olduğundan, balgam veya diğer uygun klinik örneklerden aside dirençli basil yayma ve özellikle Nükleik Asit Amplifikasyon Testleri acil olarak çalışılmalı ve laboratuvar sürecinde önceliklendirilmelidir. Hastanın oda dışına çıkışı tıbbi olarak zorunlu durumlar dışında kesinlikle sınırlandırılmalı, transfer gerektiğinde hastaya cerrahi maske takılmalıdır. İlgili uzmanlık dallarından (Enfeksiyon Hastalıkları ve/veya Göğüs Hastalıkları) mümkün olan en kısa sürede konsültasyon istenmesi kuvvetle önerilir.
- Yüksek Riskli (Pozitif aside dirençli yayma mevcut ve yeterli kemoterapi alıyor): Bu hastaların tüberküloz tanısı mikrobiyolojik olarak doğrulanmıştır ve etkili kabul edilen bir tedavi rejimi altındadırlar. Etkili tedavi bulaştırıcılığı hızla azaltsa da, özellikle tedavinin başlangıç döneminde (genellikle ilk 2 hafta) ve yeterli klinik/mikrobiyolojik yanıtın kanıtları elde edilene kadar bulaştırma riski devam edebilir. Bu nedenle, genellikle izolasyon odası/negatif basınçlı odada izolasyonun ve sağlık personelinin N95 veya eşdeğeri maske kullanımının sürdürülmesi standart bir uygulamadır. İzolasyondan çıkarılma kararı, hastanın klinik yanıtı (öksürük azalması, genel durumda iyileşme) ile birlikte, genellikle ardışık olarak (örneğin, 24 saat arayla) alınan balgam örneklerinde aside dirençli basil yayma negatifliğinin gösterilmesine dayanır (spesifik kriterler için kurum protokolleri ve güncel kılavuzlar esas alınmalıdır).
- Düşük-Orta Riskli (Tüberküloz şüphesi var ancak üç veya daha fazla aside dirençli yayma negatif): Bu hastalarda başlangıç yayma testlerinin negatif olması tüberküloz olasılığını azaltsa da, klinik ve/veya radyolojik bulgular nedeniyle şüphe devam etmektedir. Özellikle hastanın immün yetmezliği varsa, kaviter lezyonları mevcutsa, radyolojik bulgular çok tipikse veya güçlü bir alternatif tanı bulunamıyorsa, tüberküloz tamamen dışlanana kadar ihtiyati önlemler gerekebilir. Kurum politikalarına bağlı olarak, mikobakteriyel kültür sonuçları veya daha hassas testlerin sonuçları çıkana kadar izolasyon odası/negatif basınçlı odada izolasyon ve N95 maske kullanımı geçici olarak devam ettirilebilir. Bu süreçte tüberküloz dışı ayırıcı tanılar da aktif olarak araştırılmalıdır.
- Düşük Riskli (Tüberküloz olası ancak düşük ihtimal): Bu grupta, hastanın semptomları, öyküsü veya başlangıç bulguları tüberkülozu düşündürse de, diğer tanılar daha olası görülmektedir veya şüphe düzeyi düşüktür. Genellikle özel solunum izolasyonu önlemleri başlangıçta gerekli görülmez. Standart önlemler ve bazı durumlarda damlacık önlemleri yeterli olabilir. Ancak, hasta klinik olarak yakından takip edilmeli; durumu kötüleşir, tüberküloz lehine yeni bulgular ortaya çıkar veya ayırıcı tanılar dışlanırsa risk durumu yeniden değerlendirilerek gerekirse izolasyon önlemleri başlatılmalıdır.
Yukarıda tanımlanan yaklaşımlar genel ilkeleri yansıtmaktadır. Tüberküloz kontrol önlemleri dinamik olup, hastanın klinik seyrine, yeni laboratuvar sonuçlarına, ilaca direnç durumuna ve her zaman ilgili sağlık kuruluşunun güncel enfeksiyon kontrol protokolleri ve ulusal/uluslararası kılavuz önerilerine göre ayarlanmalıdır.
Tedavi Prensipleri ve Zorlukları
Anti-tüberküloz tedavisinin amacı, tüm vakalarda hastalığı yok etmek ve bulaşmayı ortadan kaldırmaktır; bu, pratikte ulaşılması son derece zor olan kesin bir hedeftir. Tarihsel olarak, anti-tüberküloz rejimleri aylarca tedavi gerektirmekte ve hastaların tedaviye uyumunu zorlaştırmaktadır. Bu zorluklar her yerde var olmakla birlikte, dünyanın tüberküloz prevalansının en yüksek olduğu, halk sağlığı altyapısının ve tüberküloz okuryazarlığının eksik olduğu bölgelerinde özellikle sorunludur.
Basit ve bir şekilde standartlaştırılmış tüberküloz tedavi kılavuzları küresel olarak uygulama kolaylığını artırmaktadır; ancak standart bir “herkese uyan” 6 aylık rejim bazıları için çok uzun, bazıları içinse yeterince uzun olmayabilir. Tedavi öncesi bir risk katmanlandırma algoritması, tedavi süresini optimize edebilir ve bireyselleştirebilir.
Tüberküloz yönetimi çok karmaşıktır. Hastalık Kontrol ve Korunma Merkezleri ve Dünya Sağlık Örgütü kılavuzları dozaj, birinci ve ikinci basamak tüberküloz ilaçları, ilaç-ilaç etkileşimleri, tedavi kesintisinin yönetimi, tedaviden kaynaklanan advers olaylar, kültür negatif tüberküloz, ekstrapulmoner tüberküloz, HIV koenfeksiyonu, çocuklar, ileri yaş, gebelik, emzirme ve komorbiditeler hakkında ayrıntılı öneriler sunmaktadır.
Doğrudan Gözetimli Tedavi
Tüberküloz tedavi rejimlerine uyum, karmaşıklığı ve süresi, bazı hastalarda semptomların olmaması ve ilaç yan etkileri nedeniyle sınırlıdır. 1993 yılında akciğer tüberkülozu olan hastaların en az yüzde 20'si tedaviyi tamamlamamıştır. Uyumsuz hastaların çoklu ilaca dirençli tüberküloz bulaştırma, uzun süreli tedavi gerektirme ve hastalığın ilerlemesi veya nüksetmesi olasılığı uyumlu hastalara göre 10 kat daha fazladır; ayrıca enfeksiyonlarının bir sonucu olarak ölme olasılıkları da daha yüksektir. Uyumsuzluğun erkeklerde, evsizlerde, uyuşturucu bağımlılarında, alkoliklerde, HIV ile enfekte hastalarda, zihinsel ve fiziksel engelli hastalarda ve daha önce tedavide başarısız olmuş hastalarda bir faktör olma olasılığı daha yüksektir.
Hangi hastanın tedaviye uyum göstermeyeceğini önceden kesin olarak tahmin etmek mümkün değildir. Bu nedenle, hastaların her ilaç dozunu yutarken gözlemlendiği doğrudan gözetimli tedavi, haftada iki veya üç kez uygulanan rejimlerle tedavi edilen latent tüberküloz enfeksiyonu olan hastalarda ve aktif tüberküloz tedavisi gören tüm hastalarda kuvvetle düşünülmelidir.
Doğrudan gözetimli tedavi uygulandığında, tedaviyi tamamlama oranları %85 ila %96,5 arasında değişmektedir. Doğrudan gözetimli tedavinin daha yaygın olarak kullanılmaya başlanmasından sonraki ilk iki yılda, tüm tüberküloz vakalarında %21, çok ilaca dirençli tüberküloz vakalarında ise %39 azalma görülmüştür.
Hamilelik Sırasında Tedavi
Aktif tüberkülozu olan gebe hastalar, gebeliğin ilk evresinde bile tedavi edilmelidir; izoniazid, rifampin ve etambutol kullanılabilir. ABD'de pirazinamid, çoklu ilaca dirençli tüberküloz şüphesi olan kadınlar için ayrılmıştır. Dünyanın başka yerlerinde pirazinamid, tüberkülozu olan hamile bireylerde yaygın olarak kullanılmaktadır. Streptomisin kullanılmamalıdır çünkü fetüs üzerinde zararlı etkileri olduğu gösterilmiştir.
Hamilelik sırasında, özellikle aşağıdaki hasta türlerinde koruyucu tedavi önerilmektedir:
- HIV seropozitif olan veya HIV enfeksiyonu için davranışsal risk faktörlerine sahip olan ancak HIV testini reddeden tüberkülin deri testi sonucu pozitif olan hamile hastalar
- Tüberkülin deri testi sonucu pozitif olan ve akciğer tüberkülozu için yayma pozitif olan bir hasta ile yakın temasta bulunan hamile bireyler
- Önceki 2 yıl içinde belgelenmiş tüberkülin deri testi konversiyonu olan gebe hastalar.
Hamile bireyler izoniazid kaynaklı hepatotoksisite açısından artmış risk altındadır ve tedavi sırasında aylık alanin aminotransferaz takibine tabi tutulmalıdır. Bu risk doğum sonrası dönemde 2-3 ay boyunca devam eder. İzoniazid alan gebe hastalara piridoksin de verilmelidir. Ek olarak, önleyici tedavi sırasında emzirmeye devam edilebilir. Birçok uzman anne sütüyle beslenen bebekler için piridoksin takviyesi önermektedir.
Çocuklarda Tedavi
Tüberkülozlu çocukların çoğu 6 ay boyunca izoniazid ve rifampin ile ve kaynak vakadan alınan kültür tam duyarlı ise ilk 2 ay boyunca pirazinamid ile tedavi edilebilir. Doğum sonrası tüberküloz için birçok uzman, 12 aydan küçük çocuklarda olası bağışıklık sistemi bozukluğu nedeniyle tedavi süresini 9 veya 12 aya çıkarmaktadır. Bacillus Calmette-Guérin aşısı Amerika Birleşik Devletleri'nde bebeklerde önerilmemektedir ancak dünya genelinde yaygın olarak kullanılmaktadır.
İzoniazid tabletleri ezilebilir ve yiyeceklere eklenebilir. Emilimin azalmasına neden olabilecek ozmotik ishalden kaçınmak için sorbitol içermeyen izoniazid sıvısı kullanılmalıdır. Rifampin kapsülleri açılabilir ve toz gıdaya eklenebilir. Rifampin tolere edilemiyorsa, hafif yemeklerden 20 dakika sonra bölünmüş dozlar halinde alınabilir.
Etambutol genellikle küçük çocuklarda görme keskinliği ve renk algısının izlenmesindeki güçlükler nedeniyle kullanılmaz. Ancak çalışmalar etambutolün (15 mg/kg) iyi tolere edildiğini ve çocuk dirençli bir suşla enfekte olmuşsa daha fazla direnci önleyebileceğini göstermektedir.
Bedaquiline, 5 yaş ve üzeri çocuklarda çok ilaca dirençli akciğer tüberkülozu için etkili bir tedavi rejiminin başka türlü sağlanamadığı durumlarda 4 ilaçlı rejimin bir parçası olarak da düşünülebilir.
HIV Koenfekte Hastalarda Tedavi
HIV enfeksiyonu olan hastalarda aktif veya latent tüberküloz için tedavi rejimleri HIV negatif hastalarda kullanılanlara benzerdir, ancak doz ayarlamaları gerekli olabilir. En önemli farklılıklar, proteaz inhibitörleri kullanan hastalarda rifampinden kaçınılmasını içerir. Bu hastalarda rifampin yerine rifabutin kullanılabilir.
Yapılan çalışmalar, antiretroviral tedaviye erken başlanmasının AIDS'e ilerlemeyi ve ölümü azalttığını göstermiştir. Ancak CD4+ T-hücresi sayısı daha yüksek olan hastalarda, antiretroviral tedaviye başlamayı tüberküloz tedavisinin devam aşamasına kadar ertelemek makul bir strateji olabilir çünkü immün rekonstitüsyon inflamatuar sendromu ve antiretroviral ilaçların değiştirilmesini gerektiren advers olaylar için riskler antiretroviral tedaviye daha geç başlanmasıyla daha düşüktür.
Antiretroviral Tedavi
HIV ve tüberküloz hastalarında antiretroviral tedaviye başlarken paradoksal bir yanıt olan immün rekonstitüsyon inflamatuar sendromu gelişebilir. Bu yanıt, M. tuberculosis'e karşı daha güçlü bir bağışıklık yanıtına atfedilmektedir. Klinik bulgular arasında ateş, kötüleşen pulmoner infiltratlar ve lenfadenopati yer almaktadır.
Tek İlaca Dirençli Tüberküloz Tedavisi
CDC 2018 yılında tüberküloz vakalarının %9,4'ünün izoniazide dirençli olduğunu; %16'sının ise çoklu ilaca dirençli tüberküloz olduğunu bildirmiştir. İzoniazide dirençli tüberküloz 6 ay boyunca rifampin, pirazinamid ve etambutol ile tedavi edilebilir. Hasta 2 aylık tedaviden sonra kültür pozitif kalırsa tedavi 9 aya uzatılmalıdır.
Sadece rifampine dirençli tüberküloz, ki bu nadir bir durumdur, klinik yanıta bağlı olarak 12-18 ay boyunca izoniazid, bir florokinolon (levofloksasin veya moksifloksasin) ve etambutol ile tedavi edilebilir. Tedavinin en azından ilk 2 ayı pirazinamid içermelidir.
Çok İlaca Dirençli Tüberküloz Tedavisi
Çok ilaca dirençli tüberküloz, hem izoniazid hem de rifampine (ve muhtemelen diğer ilaçlara) dirençli izolatları ifade eder. İlişkili bir hasta öyküsü veya epidemiyolojik bilgi nedeniyle çok ilaca dirençli tüberkülozdan şüphelenildiğinde kültür sonuçları elde edilmeden önce ampirik olarak tedaviye başlanmalı, mümkünse moleküler ilaç duyarlılık testi yaptırılmalıdır. Sonuçlar öğrenildikten sonra, duyarlılığa göre rejim değiştirilebilir. Başarısız bir tedavi rejimine sadece tek bir yeni ilaç eklemekten kaçınılmalıdır.
Tedavinin yoğun fazı için en az 5 ilaç ve devam fazı için en az 4 ilaç uygulanmalıdır. Çok ilaca dirençli tüberkülozun başarılı tedavisi; hastanın daha önce anti-tüberküloz ilaçlara daha az maruz kalması, enfeksiyonun hala duyarlı olduğu anti-tüberküloz ilaç sayısının daha fazla sayıda olması ve ilk tüberküloz tanısından bu yana geçen sürenin daha kısa olması gibi faktörlerle daha olasıdır.
Çok ilaca dirençli tüberküloz için yoğun faz tedavisi 5-7 ay olmalıdır; bunu devam fazı takip etmeli, böylece kültür dönüşümünden sonra toplam tedavi süresi 18-24 ay olmalıdır. İlaçlar günlük olarak reçete edilmeli, aralıklı tedavi uygulanmamalı ve hasta her zaman doğrudan gözetimli tedavide olmalıdır. Tüm hastalar tedavi tamamlandıktan sonra 2 yıl boyunca yakından izlenmeli ve tüberküloz tedavi merkezine sevk için düşük bir eşik belirlenmelidir.
Rezeksiyon Cerrahisi
Çok ilaca dirençli tüberküloz hastalarında basil yükünü azaltmak için enfekte akciğerin cerrahi rezeksiyonu düşünülebilir ve tıbbi tedavi ile prognozu kötü olan çok ilaca dirençli tüberküloz hastaları için önerilmektedir. Cerrahi müdahale, ameliyattan sonra 1 yıldan uzun süre kemoterapötik rejim kullanılarak düşük mortalite oranıyla gerçekleştirilebilir.
Prosedürler segmentektomi, lobektomi ve pnömonektomiyi içerir. Cerrahi rezeksiyonlarda etkilenmemiş (sağlıklı) akciğer dokusunda intraoperatif enfeksiyon gözlenmiştir. Olası diğer komplikasyonlar arasında aşağıdakiler yer alır:
- Perioperatif Komplikasyonlar: Bunlar, cerrahi müdahale ile ilişkili, işlem öncesi, sırası veya sonrasında ortaya çıkabilen olağan sorunlardır.
- Tekrarlayan Hastalık: Hastalıklı doku veya lezyonun rezekte edilmesine rağmen zamanla hastalığın tekrarlamasını ifade eder. Bu, cerrahi müdahalenin tam iyileşme sağlamadığı durumlarda görülebilir.
- Bronkoplevral Fistüller: Bronkoplevral fistüller, bronşiyal tüpler ile plevral boşluk arasında anormal bir bağlantı oluşmasıdır. Oldukça ciddi bir komplikasyondur ve nefes almada güçlük gibi sorunlara yol açabilir.
Segmentektomi
Segmental rezeksiyon olarak da bilinen segmentektomi, tüm vücut parçasının çıkarılmasını içerebilen rezeksiyonun bir alt türü olarak bir organın veya bezin bir kısmını çıkarmak için kullanılan cerrahi bir prosedürdür. Bir tümörü ve etrafındaki normal dokuyu çıkarmak için de kullanılabilir.
Akciğer segmentektomisinin amacı, fazla normal akciğeri çıkarmadan akciğer hastalığını ortadan kaldırmaktır. Bu operasyon teknik olarak zorlayıcı olduğundan bazı cerrahlar akciğer lezyonunu bir stapler kullanarak sıkıştırmayı tercih etmektedir. Bununla birlikte, kama rezeksiyonundan sonra nüks oranı daha yüksektir.
M. tuberculosis'in yeniden ortaya çıkması ve ilaca dirençli suşların gelişmesiyle birlikte segmentektomi yeniden popüler bir teknik haline gelmektedir. Hem lobektomi hem de pnömonektomi, akciğerin kanserli lezyonlarını tedavi etmek için yaygın olarak kullanılmaktadır. Bununla birlikte, birçok göğüs hastasında kronik obstrüktif akciğer hastalığı (KOAH) veya amfizem vardır ve akciğer rezervi minimaldir. Bu hastalar geniş akciğer rezeksiyonlarını tolere edemezler. Segmentektomi bu tür hastalarda iyi bir seçenektir.
Lobektomi
Lobektomi, akciğer loblarından birini çıkarmak için yapılan bir ameliyattır. Hastalıktan etkilenen lob çıkarılır ve kalan sağlıklı akciğer dokusu normal şekilde çalışabilir. Lobektomi esasen genel bir terimdir ve basitçe "lob" adı verilen anatomik bir yapının cerrahi olarak çıkarılmasını ifade eder. Lobektomi adayı rezeksiyonu tolere edebilecek yeterli pulmoner rezerve sahip olmalıdır.
İnsan akciğerleri; sağ akciğerde 3 (üst, orta ve alt), sol akciğerde ise 2 (üst ve alt) olmak üzere 5 lobdan oluşur. Akciğerlerin beş lobunun adını taşıyan (sol alt lobektomisi, sağ orta lobektomisi gibi) beş temel lobektomi tipi vardır ve hastanın durumu, hastalığın yeri ve cerrahın uzmanlığı gibi faktörlere bağlı olarak farklı cerrahi prosedürlerle gerçekleştirilebilir.
Bu prosedürlerden en yaygın olanı, açık ameliyat olarak da bilinen ve invaziv bir yöntem olan torakotomidir. Bu tür bir operasyon; kaburgaların arasında yapılan bir kesi sonrası kaburgaların açılmasını ve akciğer lobunun açık kesiden çıkarılması gibi duruma göre değişebilecek işlemleri içerir.
Daha az invaziv olan bir başka yöntem ise laparoskopik cerrahidir. Video yardımlı torakoskopik cerrahi (VATS) adı verilen bu yöntemde göğsün yan tarafında birkaç küçük kesi açılır ve torakoskop adı verilen uzun, bükülebilir bir tür kullanılır; torakoskop bir fiber optik kameraya bağlanır, bu sayede göğsün içi bir video ekranından görüntülenir.
Pnömonektomi
Akciğerin tamamının cerrahi olarak çıkarılması anlamına gelen pnömonektomi, öncelikle küratif tedavi için tam rezeksiyonun gerekli olduğu merkezi veya lokal olarak ilerlemiş akciğer tümörlü hastalar için endikedir. İlk kez 1933 yılında uygulanan bu prosedür, lobektomi gibi akciğer korumaya yönelik ameliyatların yetersiz kaldığı durumlarda kritik bir seçenek olmaya devam etmektedir.
Gelişmeler sonuçları iyileştirmiş olsa da, pnömonektomi hala daha az kapsamlı rezeksiyonlara kıyasla daha yüksek perioperatif mortalite dahil olmak üzere önemli riskler taşımaktadır. Tüm bir akciğerin çıkarılmasının gerektirdiği fizyolojik ve anatomik ayarlamalar göz önüne alındığında, hasta sonuçlarını optimize etmek için kapsamlı preoperatif değerlendirme ve dikkatli intraoperatif ve postoperatif yönetim şarttır.
Komplikasyon Cerrahisi ve Diğer Cerrahi Yaklaşımlar
Tüberküloz tedavisinde, özlelikle çok ilaca dirençli vakalarda veya ileri derecede hasarlı akciğer dokusunun çıkarılması amacıyla uygulanan rezeksiyon cerrahisi önemli bir yer tutar. Ancak tüberkülozun cerrahi tedavisi yalnızca rezeksiyonla sınırlı değildir; hastalığın kendisinin veya tedavisinin yol açtığı komplikasyonları yönetmek ve spesifik sorunları gidermek için başka yöntemlere de başvurulmaktadır.
Modern anti-tüberküloz ilaçlarının etkinliği sayesinde birçok cerrahi yönteme eskisi kadar sık başvurulmasa da, özellikle belirli komplikasyonların yönetiminde cerrahi hala kritik bir öneme sahiptir. Günümüz pratiğinde en sık uygulanan veya gerekli görülen birkaç temel yaklaşım aşağıdakileri içerir:
- Dekortikasyon ve Ampiyem Cerrahisi: Bu, muhtemelen rezeksiyon dışı yöntemler arasında en sık uygulanan müdahalelerden biridir. Tüberküloza bağlı olarak plevral boşlukta iltihap birikmesi (ampiyem) veya akciğerin kalınlaşmış plevra nedeniyle genişleyememsi durumlarında uygulanır. Uygulamanın amacı, plevral boşluğu temizlemek, iltihabı boşaltmak ve akciğerin tekrar normal şekilde havalanmasını sağlamak için kalınlaşmış plevral kabuğu soymaktır (dekortikasyon). Genellikle video destekli toraskopik cerrahi veya açık torakotomi ile gerçekleştirilir.
- Spinal Cerrahi: Tüberkülozun omurgayı tuttuğu durumlarda (Pott hastalığı), özlelikle omurilik basısı sonucu nörolojik kayıplar gelişmişse veya omurgada ciddi çökme ve bir instabilite varsa cerrahi müdahale zorunlu hale gelir. Apse drenajı, omuriliğe olan basının kaldırılması (dekompresyon) ve omurganın metal implantlarla sabitlenmesi gibi işlemleri içerir. Ekstrapulmoner tüberkülozun en önemli cerrahi endikasyonlarından biridir.
- Aspergilloma Cerrahisi: Tüberküloz sonrası akciğerde kalan kronik kavitelerin içine yerleşen mantar toplarının (aspergilloma) cerrahi olarak çıkarılmasıdır. Bu durum (yani aspergilloma) özellikle tekrarlayan ve bazen hayatı tehdit eden kanlı balgama (hemoptizi) neden olduğunda cerrahi müdahale gerekir. Bu işlem sıklıkla kavitenin bulunduğu akciğer bölümünün rezeksiyonunu gerektirse de, temel motivasyon tüberkülozun bir komplikasyonunu tedavi etmektir.
Yukarıdakilere ek olarak, bazı klinik senaryolarda tanısal belirsizlikler devam edebilir ve tüberkülozun özellikle akciğer kanseri gibi diğer ciddi hastalıklardan kesin olarak ayırt edilmesi gerekebilir. Bronkoskopi veya perkütan iğne biyopsisi gibi daha az invaziv tanı yöntemlerinin yetersiz kaldığı veya sonuç vermediği bu gibi durumlarda, tanıya ulaşmak amacıyla eksploratif (keşif amaçlı) cerrahiye başvurulabilir.
Bu yaklaşım, genellikle şüpheli lezyonun bulunduğu bölgeye (akciğer parankimi, plevra veya mediastinal/hiler lenf nodları) doğrudan cerrahi yolla ulaşarak yeterli doku örneği almayı hedefler. İşlem sıklıkla minimal invaziv bir yöntem olan video destekli toraskopik cerrahi ile, daha nadiren ise açık torakotomi ile gerçekleştirilir. Bu tür bir cerrahi girişimin birincil amacı, tüberkülozu tedavi etmekten ziyade kesin tanıyı koymak ve uygun tedaviyi yönlendirmektir.
Farmakolojik Tedavi
Tüberkülozun farmakolojik tedavisi aşağıdaki temel terapötik ilkeleri karşılamalıdır:
- Herhangi bir rejime Mycobacterium tuberculosis'in duyarlı odluğu birden fazla ilaç kullanılmalıdır.
- İlaçlar düzenli olarak alınmalıdır.
- Tedavi, hastalığın tamamen geçmesine yetecek bir süre boyunca devam etmelidir.
Yeni vakalar başlangıçta dört ilaçla tedavi edilir: izoniazid, rifampin, pirazinamid ve etambutol ya da streptomisin. İki ay sonra, izoniazid ve rifampin ile 4 aylık bir devam aşamasına geçilir. Yeniden tedavi gerektiren hastalar başlangıçta izoniazid, rifampin, pirazinamid ve hastanın maruz kalmadığı en az 2 (tercihen 3) yeni ilaç dahil olmak üzere en az 5 ilaç almalıdır.
Antitüberküloz Ajanlar
Tüberküloz tedavisinin hedefleri; tüberkülozun klinik seyrini kısaltmak, komplikasyonları önlemek, latent ve/veya sonraki nükslerin gelişmesini önlemek ve tüberküloz bulaşma olasılığını azaltmaktır. Latent tüberkülozu olan hastalarda tedavinin amacı hastalığın ilerlemesini önlemektir.
İzoniazid: Önleyici tedavide kullanım için tercih edilen ilaçtır ve aktif tüberküloz için kombinasyon tedavisinde kullanım için birincil ilaçtır. Ayrıca latent tüberkülozu olan 2 yaş ve üzeri yetişkinler ve çocuklar için rifapentin ile kombinasyon halinde 12 hafta boyunca haftada bir kez doğrudan gözetimli tedavi olarak kullanılır. Kesin etki mekanizması tam anlaşılmamış olsa da, izoniazidin mikolik asit sentezini engelleyerek bakteri hücre duvarını bozduğu düşünülmektedir. Aktif tüberküloz tedavisi alan hastalarda, periferik nöropatiyi önlemek için günde bir kez oral yoldan 25-50 mg piridoksin birlikte verilmelidir.
Rifampin: Aktif tüberküloz tedavisi için en az 1 diğer antitüberküloz ilaç ile birlikte kullanılır. Bakteri hücrelerinde DNA'ya bağımlı RNA polimeraz aktivitesini inhibe eder ancak memeli hücrelerinde inhibe etmez. Çapraz direnç oluşabilir. Çoğu duyarlı vakada hasta 6 aylık tedaviye tabi tutulur. Hastanın balgam kültürü sonucu 2 aylık tedaviden sonra hala pozitifse tedavi 9 ay sürer. Rifampin vücut sıvılarını (idrar, tükürük, gözyaşı) turuncuya çevirir ve safra ve enterohepatik dolaşım yoluyla atılır. Ek olarak, rifampin hepatik sitokrom P450 sisteminin güçlü bir indükleyicisidir ve birçok ilacın yarı ömrünü azaltır.
Pirazinamid: Enfeksiyon bölgesinde elde edilen ilaç konsantrasyonuna bağlı olarak M. tuberculosis'e karşı bakteriyostatik ve bakterisidal olan bir kirazın nikotinamid analoğudur. Pirazinamidin etki mekanizması bilinmemektedir. İlaca duyarlı tüberküloz için 6 aylık veya daha uzun bir tedavi rejiminin ilk 2 ayında uygulanır. Mycobacterium bovis pirazinamide karşı eşit derecede dirençlidir.
Etambutol (Myambutol): Etambutol aktif olarak büyüyen mikrobakteriyel hücrelere (örneğin tüberküloz basili) difüze olur. Hücre metabolizmasının 1 veya daha fazla metabolitin sentezini inhibe ederek bozar ve bu da hücre ölümüne neden olur. Çapraz direnç görülmemiştir. Önceden uygulanan tedavilerde mikobakteriyel direnç sık görülür. bu gibi durumlarda, etambutol daha önce uygulanmış ikinci basamak ilaçlarla birlikte kullanılır. Kalıcı bakteriyolojik dönüşüm ve maksimal klinik iyileşme gözlenen kadar her 24 saate bir uygulanır. Gıda ile emilimi önemli ölçüde değişmez. Etambutolün yan etkileri arasında optik nörit yer alır ve genellikle ilacın kesilmesiyle tersine çevrilebilir. Hastanın günlük 25 mg/kg dozda olduğu süre boyunca, aylık göz muayeneleri önerilir.
Streptomisin: Bir aminoglikozid olan streptomisin sülfat, duyarlı mikobakteriyel enfeksiyonların tedavisinde kullanılır. Bu ajan diğer antitüberküloz ilaçlarla (örn. izoniazid, etambutol, rifampin) birlikte kullanılır. Tüberküloz için toplam tedavi süresi en az 6 ay olmasına rağmen, streptomisin tedavisi toksisite endişeleri nedeniyle (özellikle vestibülotoksisite) tedavinin tamamı boyunca yaygın olarak kullanılmamaktadır. Streptomisin, daha güvenli alternatif ilaçların etkisiz olduğu veya kullanılamadığı durumlarda tercih edilir.
Levofloksasin (Levaquin): İkinci basamak bir antitüberküloz ilaç olan levofloksasin, çok ilaca dirençli (multidrug-resistant) tüberküloz vakalarının çoğunun tedavisinde rifampin ve diğer antitüberküloz ajanlarla birlikte kullanılır. Florokinolonlar arasında uzun süreli kullanımda iyi bir güvenlik profili, levofloksasini birinci basamak ilaçlara dirençli organizmaların neden olduğu çok ilaca dirençli tüberküloz tedavisinde tercih edilen oral ajan haline getirmiştir. Levofloksasin, etkisini DNA replikasyonu, transkripsiyonu, onarımı ve rekombinasyonu için gerekli olan bakteriyel topoizomeraz IV ve DNA girazın inhibisyonu yoluyla ortaya çıkarır.
Moksifloksasin (Avelox): İkinci basamak bir antitüberküloz ilaç olan moksifloksasin, DNA girazın A alt birimlerini inhibe ederek bakteriyel DNA replikasyonu ve transkripsiyonunun inhibisyonuna neden olur. Moksifloksasin, florokinolonlara duyarlı olduğu bilinen veya varsayılan organizmaların neden olduğu çok ilaca dirençli tüberkülozda veya intolerans nedeniyle birinci basamak ilaçların kullanılamadığı durumlarda kullanılabilir.
Rifapentin (Priftin): Rifapentin, tüberküloz tedavisinin yoğun fazında 2 ay boyunca çoklu ilaç rejiminin bir parçası olarak haftada iki kez, daha sonra 4 ay boyunca haftada bir kez izoniazid veya duyarlı organizmalar için uygun bir ajan ile birlikte kullanılır. Ayrıca latent tüberkülozu olan 2 yaş ve üzeri yetişkinler ve çocuklar için 12 hafta boyunca haftada bir kez izoniazid ile kombinasyon halinde endikedir.
Rifapentin, Mycobacterium tuberculosis organizmalarının duyarlı suşlarında DNA'ya bağımlı RNA polimerazı inhibe eder. HIV enfeksiyonu olan veya 2 aylık tedaviden sonra tüberküloz kültürleri pozitif olan bireylerde aktif tüberküloz tedavisinde kullanılmamalıdır.
Etiyonamid (Trecator): Etiyonamid, enfeksiyon bölgesinde ulaşılan ilaç konsantrasyonuna bağlı olarak M. tuberculosis'e karşı bakteriyostatik veya bakterisidal olan ikinci basamak bir ilaçtır. Birinci basamak ilaçlarla (izoniazid, rifampin) tedavi başarısız olursa önerilmektedir. Etiyonamid, aktif tüberkülozun herhangi bir formunu tedavi etmek için kullanılabilir. Ancak, sadece diğer etkili antitüberküloz ajanlarla birlikte kullanılmalıdır.
Amikasin: Çoklu ilaca dirençli tüberkülozu olan veya birinci basamak tedavileri tolere edemeyen hastaları tedavi etmek için kullanılan ikinci basamak bir ilaçtır. Bu ajan, bakteriyel ribozomların 30S alt birimine geri dönüşümsüz olarak bağlanarak protein sentezindeki tanıma adımını bloke eder ve büyüme inhibisyonuna neden olur.
Sikloserin: İkinci basamak bir tüberküloz ilacı olan sikloserin, gram-pozitif ve gram-negatif bakterilerin duyarlı suşlarında ve M. tuberculosis'te hücre duvarı sentezini inhibe eder. D-alaninin yapısal bir analoğudur ve D-alaninin bakteriyel hücre duvarı sentezindeki rolünü antagonize ederek büyümeyi engeller. Tüm antitüberküloz ilaçlar gibi sikloserin de tek tedavi edici ajan olarak değil, diğer etkili tüberküloz ilaçlarıyla birlikte uygulanmalıdır.
Kapreomisin (Capastat): Streptomyces capreolus'tan elde edilen kapreomisin, M. tuberculosis'in kapreomisine duyarlı suşlarının neden olduğu pulmoner enfeksiyonlarda diğer antitüberküloz ajanlarla birlikte uygulanan ikinci basamak bir ilaçtır. Kapreomisin yalnızca birinci basamak ajanların (örn. izoniazid, rifampin) etkisiz olduğu veya toksisite ya da dirençli tüberküloz basillerinin varlığı nedeniyle kullanılamadığı durumlarda kullanılır.
Rifabutin (Mikobutin): Rifamisin S'den türetilmiş bir ansamisin antibiyotiktir. Rifabutin, DNA'ya bağımlı RNA polimerazı inhibe ederek zincirin başlamasını önler. Rifampinin kontrendike olduğu durumlarda (çoğu proteaz inhibitörü), belirli HIV ilaçlarını kullanan bireylerde tüberküloz tedavisi için kullanılır.
Clofazimine (Lamprene): Klofazimin, tercihen mikobakteriyel DNA'ya bağlanarak mikobakteriyel büyümeyi inhibe eder. Antimikrobiyal özelliklere sahiptir, ancak etki mekanizması bilinmemektedir. Çoklu ilaca dirençli tüberkülozu tedavi etmek için nadiren kullanılır. Tüm tüberküloz ilaçları gibi, klofazimin de her zaman diğer antitüberküloz ajanlarla birlikte kullanılmaktadır. Klofazimin, ABD Gıda ve İlaç Dairesi'ne (FDA) Araştırma Amaçlı Yeni İlaç başvurusu yapan hekimler tarafından yalnızca tek hasta bazında kullanılabilir.
Para-aminosalisilik Asit (Paser): Para-aminosalisilik asit, M. tuberculosis'e karşı ikinci basamak ajan olarak yararlı olan bakteriyostatik bir ajandır. En yaygın olarak çoklu ilaca dirençli tüberküloz9 için veya izoniazid veya rifampin ile tedavinin mümkün olmadığı durumlarda kullanılır. Streptomisin ve izoniazide karşı bakteriyel direncin başlamasını engeller. Bu ajan diğer antitüberküloz ilaçlarla birlikte uygulanmalıdır.
Bedaquiline (Sirturo): Bedaquiline, M. tuberculosis'te enerji üretimi için gerekli bir enzim olan mikobakteriyel adenozin 5'-trifosfat (ATP) sentazı inhibe eden bir diarilkinolindir. Bedaquiline ile tedavi, başka türlü etkili bir tedavi rejimi sağlanamadığında kullanılmak üzere ayrılmıştır. Latent, ekstrapulmoner veya ilaca duyarlı tüberküloz tedavisinde endike değildir.
Toksisite ve Advers Reaksiyon Yönetimi
Potansiyel anti-tüberküloz ilaç toksisiteleri hafiften hayatı tehdit edene kadar değişir. Hastalar, ilaçların olası yan etkilerinin erken belirtileri, hangi durumda ilacı kesmeleri gerektiği ve yan etki görüldüğünde derhal sağlık kuruluşuna başvurmaları konusunda bilgilendirilmelidir. Ayrıntılı kılavuzlar tedavi yanıtının değerlendirilmesi, advers (yan etki) ilaç reaksiyonlarının izlenmesi ve hasta yönetimi için öneriler sunmaktadır.
Aşağıda yaygın olarak görülen yan etkiler ve bunlarla ilişkili anti-tüberküloz ilaçlarının bir listesi yer almaktadır:
- Hepatit (halsizlik, yorgunluk, ateş, iştahsızlık, bulantı, koyu renkli idrar)
- İzoniazid
- Bedaquiline
- Rifampin
- Piranizamid
- Periferik Nöropati
- İzoniazid
- Linezolid
- Oküler Toksisite
- Etambutol
- Döküntü (Kurdeşen/İsilik)
- Piranizamid
- Etambutol
- Florokinolonlar
- Amikasin
- Beta-laktamlar
- İzoniazid
- Streptomisin
- Para-aminosalisilik asit
- Kraniyal Sinir VII Disfonksiyonu ve Renal Disfonksiyon
- Amikasin
- Streptomisin
- Kapreomisin
- Kanamisin
- Gastrointestinal Rahatsızlık
- Tüm anti-tüberküloz ilaçları
- Miyalji-Artralji
- Bedaquiline
- Pirazinamid
- Anksiyete, Konfüzyon, Psikoz
- Sikloserin
- Florokinolonlar
- Hipoglisemi
- Florokinolonlar
- Tendinit
- Florokinolonlar
Antiretroviral tedavi gören tüberküloz ve HIV koenfeksiyonu olan kişiler ek zorluklar yaşamaktadır. Anti-tüberküloz ve antiretroviral ajanların birlikte uygulanması, advers reaksiyonlar ve ilaç-ilaç etkileşimleri nedeniyle önemli riskler oluşturabilir.
Örneğin, rifamisinler proteaz inhibitörleri ve nonnükleozid ters transkriptaz inhibitörlerinin plazma konsantrasyonlarında azalmaya neden olur. Koenfekte bireylerde, bağışıklığın restorasyonu, bağışıklık yeniden yapılandırma inflamatuar sendromu nedeniyle klinik bozulma ile sonuçlanabilir.
Uzun Süreli Hasta Takibi
Tüberküloz tedavisinin tamamlanmasından sonra hastalar; nüks, aspergilloma, bronşektazi, bronkolitiazis, fibrotoraks ve muhtemelen karsinomu içeren geç komplikasyonlar açısından risk altında kalmaya devam eder. Bu komplikasyonların ileride değerlendirilmesini kolaylaştırmak amacıyla, tedavi bitiminde çekilen göğüs röntgeninin bir kopyası hastaya verilmelidir.
Uygun şekilde tamamlanmış tedaviyi takiben nüks oranı sadece %0-4'tür ve tamamlandıktan sonraki ilk 2 yıl içinde ortaya çıkar. Aspergilloma, rezidüel bir akciğer anormalliği içinde gelişen bir mantar yumağıdır. Göğüs radyografilerinde hilal işareti olarak görülebilir. Diğer süperenfeksiyonlar hava-sıvı seviyesi ile kendini gösterebilir ve genellikle anaeroblar da dahil olmak üzere karışık bakteriler içerir.
Hasta takibi açısından önemli olan geç komplikasyonlar aşağıdakileri içerir:
- Bronkolitiazis: Bronşiyal ağaca spontan lenf nodu göçünün sonucu; post-obstrüktif pnömoni veya özofagus perforasyonu ile ilişkili olabilir.
- Kronik Obstrüktif Akciğer Hastalığı: Bronşektazi KOAH'a ilerleyebilir.
- Fibrotoraks: Plevral fibrozis ve skarlaşma nedeniyle akciğer sıkışmasının gelişimi.
- Kanser: Karsinom riski tartışmalıdır ancak yeni gelişen çomak parmak (İng: "Clubbing") vakalarında göz önünde bulundurulmalıdır.
Müddet Tahminleri (Prognoz)
Tüberküloz; yoksulluk, kalabalık yaşam koşulları, toplumdaki farkındalık düşüklüğü, halk sağlığı altyapısındaki yetersizlikler, politik irade eksikliği ve klinik uzmanlık yetersizliği gibi faktörlerle yakından ilişkilidir. Bu zorlaştırıcı faktörlerin hiçbirinin düzeltilmesi kolay değildir. Çok haplı, uzun süreli ve zaman zaman rahatsız edici ilaç rejimlerine bağılılık, tedavinin kesilmesine, enfeksiyonun ortadan kaldırılamamasına ve ilaç direncinin ortaya çıkmasına neden olmaktadır.
Aktif toplum sürveyansı, mevcut test yöntemlerinin sonuçlarının yorumlanması ve latent tüberkülozun tedavisi son derece karmaşıktır. Gizli ve aktif tüberkülozlu hastalara ulaşılması ve bu hastaların takibi de aynı derecede karmaşıktır. Kaynak açısından zengin ülkelerde, birçok yeni tüberküloz vakası yeni göçmenlerde ve marjinal gruplarda ortaya çıkmaktadır; uzman tıbbi bakıma erişim eksikliği önemli bir komplikasyon olmaya devam etmektedir.
Tüberkülozun prognozu; hastalığın coğrafi yüküne, ilaç direnci modellerine, kişinin risk faktörlerine ve tedavi uyumuna göre değişmektedir. Tedavi edilmediği takdirde, aktif tüberküloz çoğu insanda yavaş ilerleyen bir hastalıktır ve özellikle tanı gecikirse potansiyel olarak ölümcül olabilir.
Sistematik bir inceleme, 10 yıllık ağırlıklı ortalama vaka ölüm oranlarının tedavi edilmemiş yayma pozitif (enfeksiyöz) tüberküloz için %70 olduğunu ve yayma negatif tüberküloz için %20 olarak tahmin edildiğini ortaya koymuştur. Semptom başlangıcından iyileşme veya ölüme kadar geçen hastalık süresinin yaklaşık 3 yıl olduğu ve yayma pozitif ve yayma negatif vakalar için benzer olduğu görülmüştür.
Artan yaş, daha yaygın hastalık ve HIV koenfeksiyonu daha kötü prognoz, tekrarlayan enfeksiyon ve/veya re-enfeksiyon ve artan mortalite ile ilişkilidir. Küresel olarak, tüberküloz ve HIV koenfeksiyonu olan kişiler arasındaki ölüm oranının, HIV negatif olan kişilerin oranının iki katına yakın olduğu tahmin edilmektedir.
Çok ilaca dirençli tüberkülozun prognozu, ilaca tamamen duyarlı tüberkülozdan daha kötüdür ve risk faktörleri şunları içerir:
- Daha önce tüberküloz ilaç tedavisi (özellikle kötü bağlılık veya tedavi başarısızlığı öyküsü varsa).
- Bilinen bir çok ilaca dirençli tüberküloz indeks vakası ile temas.
- Çok ilaca dirençli yeni tüberküloz vakalarının yüksek oranda görüldüğü menşe ülke.
Tüberkülozlu hamile kadınlar ve yeni annelerde hastalığın kötü sonuçlanma riski yüksek olabilir. Riskler aşağıdaki kadınlar arasında en yüksek olabilir:
- Dünyanın tüberkülozun endemik olduğu bölgelerinde yaşamış olmak.
- Aktif tüberküloz hastalığı olan bir vaka ile uzun süreli yakın temasta bulunmuş olmak.
- Bağışıklık sistemi baskılanmış olanlar (özellikle HIV'li olanlar).
Tüberküloz semptomları, hamilelik sırasında ortaya çıkan doğal fizyolojik adaptasyonları (örn. solunum hızında artış, iştah kaybı ve yorgunluk) taklit edebilir ve bu da teşhisin gecikmesine neden olabilir. Gebelikte tedavi edilmeyen tüberküloz düşük, fetal büyüme bozukluğu, erken doğum, maternal preeklampsi ve doğum sonrası kanama, tüberkülozun yenidoğana bulaşması ve yenidoğan ölümleri ile ilişkilendirilmiştir.
Görülme Sıklığı ve Dağılımı (Epidemiyoloji)
DSÖ'nün 2024 Küresel Tüberküloz Raporu'na göre tüberküloz önemki bir kürsel sağlık sorunu olmaya devam etmektedir. 2023 yılında, 8.2 milyon yeni tanı ile tahminen 10.8 milyon kişinin tüberküloza yakalandığı tahmin edilmektedir, ki bu rakam DSÖ'nün 1995 yılında izlemeye başlamasından bu yana görülen en yüksek seviyededir.
Tüberküloza bağlı ölümler 2023'te hafif bir düşüşle 1.25 milyona gerilese de, hastalık COVID-19'u geçerek tekrar en ölümcül bulaşıcı hastalık konumuna yükselmiştir. Hastalık, yüksek yüke sahip 30 ülkeyi orantısız bir şekilde etkilemektedir. Hindistan küresel vakaların %26'sını oluştururken, onu Endonezya (%10), Çin (%6.8), Filipinler (%6.8) ve Pakistan (%6.3) takip ederek birlikte dünya genelindeki yükün %56'sını oluşturmaktadır. Tüberküloz vakalarının %55'ini erkekler, %33'ünü kadınlar, %12'sini ise çocuklar ve gençler oluşturmaktadır.
Çok ilaca dirençli tüberküloz bir halk sağlığı krizi olmaya devam etmektedir. 2023 yılında, çoklu ilaca dirençli tüberküloz geliştiren tahmini 400.000 kişinin sadece %44'ü teşhis ve tedavi edilmiş olmasına rağmen tedavi başarı oranları %68'e ulaşmıştır.
Türkiye'de Tüberküloz
Türkiye Verem Savaş Derneği'nin 2021 tarihli raporundan alınan bilgilere göre, Türkiye'de tüberküloz insidansı 2019'da 100.000'de 13,5 iken COVID-19 pandemisinin etkisiyle 2020'de 100.000'de 10,6'ya gerilemiştir; Dünya Sağlık Örgütü'nün aynı yıllar için tahminleri ise 100.000'de 15-16 seviyesindedir.
Hastalık erkeklerde ve 65 yaş üstü grupta daha sık görülse de genç yaş gruplarındaki insidansta zamanla belirgin bir azalma kaydedilmiştir. Kayıtlı olguların %13 ila %16'sını yabancı ülke doğumlu hastalar oluşturmaktadır. Vakaların yaklaşık %60'ı akciğer tüberkülozu olup, akciğer dışı formlarda en sık lenf bezleri ve plevra tutulumu rapor edilmektedir.
Türkiye, DSÖ tarafından çok ilaca dirençli tüberküloz (ÇİD-TB) yükü yüksek ülkeler arasında sınıflandırılmamaktadır; ÇİD-TB oranı İDT yapılanlar arasında yeni olgularda %2 civarında, önceden tedavi görmüş olgularda ise %9 dolaylarındadır. Yeni olgularda izoniazid direnci %10 seviyesindedir.
Son yıllarda tüberküloz hastalarında HIV testi yapılma oranı %80'e ulaşmış olsa da, HIV koenfeksiyonu %1 gibi düşük bir oranda tespit edilmektedir. Ülke genelinde tedavi başarısı %82-83 civarında olup, bu oran yeni olgularda daha yüksektir ve hastaların %98'inden fazlasına doğrudan gözetimli tedavi uygulanmaktadır.
Konuyla ilgili daha kapsamlı bilgi ve analizler için raporun tam metnine buradaki bağlantıdan ulaşabilirsiniz. Dünya genelindeki istatistikleri görmek için de DSÖ'nün hazırladığı 2024 Küresel Tüberküloz Raporu'nu inceleyebilirsiniz.
Hastalık Yükü
90 yıllık aşılama ve 60 yıllık kemoterapi uygulamalarına rağmen tüberküloz, ilk kez HIV/AIDS'i geçerek, dünyada bulaşıcı bir etkene bağlı ölümlerin en önde gelen nedeni olmaya devam etmektedir. Dünya Sağlık Örgütü her yıl tüberkülozdan yaklaşık 10,8 milyon yeni vaka ve 1,25 milyon ölüm olduğunu tahmin etmektedir. Bu yeni vakaların yaklaşık üçte biri (3 milyon civarı) sağlık sistemlerince tespit edilememekte ve bu hastaların önemli bir kısmı uygun tedaviye ulaşamamaktadır.
Tüberküloz hastalığının tedavisi aylarca süren çoklu ilaç tedavisi gerektirir. Bu uzun ilaç rejimleri, özellikle hastalık yükünün genellikle yerel kaynakları aştığı düşük ve orta gelirli ülkelerde hem hastalar hem de sağlık sistemleri için zorlayıcıdır. Bazı bölgelerde, daha pahalı ve tolere edilmesi zor ilaçlarla daha da uzun tedavi rejimleri gerektiren ilaca dirençli tüberküloz insidansı artmaktadır.
Düşük ve orta gelirli ülkelerde tanı, öncelikle şüpheli hastaların balgamından alınan boyalı yaymaların mikroskobik incelemesiyle konulmaktadır; ancak yayma mikroskopisi tüm vakaların yalnızca yüzde 50-60'ını (yayma pozitif) tespit edebilmektedir. Daha pahalı olmalarına rağmen, tüberküloz teşhisi ve ilaçlara karşı direncin saptanması için daha hassas yöntemler yakın zamanda kullanıma sunulmuştur.
Hastalığın başlangıcı ile tanı konulması ve tedaviye başlanması arasındaki süre genellikle uzundur ve bu tür gecikmeler hastalığın bulaşmasına izin verir. Bacille Calmette-Guérin dünyada en yaygın kullanılan aşı olmasına rağmen, etkinliği coğrafi olarak oldukça değişken ve eksiktir. Modelleme, yüksek insidanslı ortamlarda tüberkülozun ortadan kaldırılması için muhtemelen daha etkili aşılara ihtiyaç duyulacağını göstermektedir.
Tüberkülozu önlenmesi ve bakımına yönelik finansman 2023 yılında azalmıştır ve yıllık 22 milyar dolarlık hedefin sadece 5.7 milyar doları kullanılabilir durumdadır. Tüberküloz yükünün %98'ini taşıyan düşük ve orta gelirli ülkeler önemli finasman eksikleriyle karşı karşıyadır. Buna ek olarak, tüberküloz araştırmaları yeterince finans edilmemekte ve 2022'de yıllık 5 milyar dolarlık hedefin sadece beşte birine ulaşılarak yeni teşhis, ilaç ve aşıların geliştirilmesi engellenmektedir/sekteye uğramaktadır.
Önlem Yöntemleri
Tüberkülozun bulaşmasını durdurmanın anahtarı önleme yöntemleridir ve bu yöntemler; bulaşıcılığı durdurmak için aktif tüberkülozun erken teşhisi ve tedavisi, maruz kalan veya bilinen latent enfekte bireylerde aktif hastalığın önlenmesi ve aşılamadan oluşur. Tüberkülozu önlemek için üç belirgin strateji vardır. Bunlardan ilki enfeksiyonun kontrol altına alınmasıdır.
- Enfeksiyon Kontrolü: Muhtemelen en faydalı ancak belki de en az dikkate alınan önleyici müdahale, tüberküloz vakalarının erken teşhisi ve etkili tedavinin hızlı bir şekilde başlatılması, böylece bulaşıcı yükün azaltılması ve bulaşmanın azaltılmasıdır. Bu açıdan tüberküloz, bulaşıcı hastalıklar arasında sıra dışı bir konuma sahiptir çünkü bireysel bir hastanın uygun ve etkili şekilde tedavi edilmesi nüfusu korumak için en etkili halk sağlığı müdahalesi olabilir.
- Aşılama: Bağışıklık sistemini uyarmak ve belirli bir bulaşıcı hastalığa karşı bağışıklık geliştirmek için antijenler içeren bir aşının uygulanması işlemidir..
- Kemoprofilaksi (İzoniazid Önleyici Tedavi): Tüberküloz kemoprofilaksisi, M. tuberculosis enfeksiyonunun önlenmesi veya halihazırda enfekte olmuş bireylerde hastalığın gelişmesini önlemek için alınan tedavi edici bir yöntemdir.
Enfeksiyon Kontrolü
Bulaşma ve yeniden enfeksiyon, özellikle de ilaca dirençli suşlar, küresel tüberküloz salgınının temel nedenlerinden biridir. Örneğin, yüksek riskli HIV pozitif popülasyonlarda izoniazid profilaksisinin faydası, izoniazid kesildikten kısa bir süre sonra devam eden bulaşma ve yeniden enfeksiyon ile hızla tersine dönmüştür. Benzer şekilde, yüksek bulaşma ortamlarındaki zorluk, doğumda BCG aşılamasının yanı sıra M. tuberculosis ve çevresel mikobakterilere daha sonra doğal maruz kalma ile yeniden enfeksiyona karşı şu anda sağlanandan daha fazla koruma sağlamaktır.
2016 yılında DSÖ'nün girişimiyle düzenlenen ve 2016-2015 yıllarını kapsayan Küresel Tüberkülozu Durdurma Planı, tüberkülozun küresel çapta kontrol altına alınası için önemli stratejiler içerdiği için tüberkülozla mücadeleye yeni bir ivme kazandırmıştır. Toplantıda bu kapsamlı planın bir parçası olarak bulaşma kontrolünden özellikle bahsedilmese de, 2006 yılında çoğunlukla hastane temelli Yaygın İlaca Dirençli Tüberküloz salgını sorununa dikkat çekilmiştir.
O zamandan bu yana, kontrol çabaları sağlık tesislerine odaklanmıştır, ancak bulaşmanın diğer toplu ortamların yanı sıra evlerde, okullarda, sığınma evleri, mülteci kamplarında ve ıslah evlerinde de meydana geldiği yaygın olarak bilinmektedir. Yine de, özellikle bulaşıcı ve savunmasız kişileri bir araya getirdikleri için sağlık tesisleri, nüfus düzeyinde bulaşmayı artıran ortamlar arasında ön sırada yer almaktadır.
Bulaşmanın önemli merkez üslerinden biri tüberküloz hastalarının kaldığı hastanelerdir. Hastane maruziyeti diğer birçok toplu etkileşime göre daha iyi belgelendiğinden, hastaneleri suçlamaya yönelik bir önyargı olması muhtemeldir, ancak aynı zamanda, örneğin DNA parmak izlerinin mevcut olmadığı enfekte edici suşların sayılmaması nedeniyle hastane bulaşmasının düşük tahmin edilmesi de muhtemeldir.
Tüberküloz Bulaşma Kontrolünün İlkeleri
Kurumsal bulaşmanın önemli bir rol oynadığı 1985-1992 yılları arasında ABD ve bazı Avrupa ülkelerinde tüberkülozun yeniden ortaya çıkmasından bu yana, sanayide kullanılan bir paradigmaya dayanan üç katmanlı bir hiyerarşik yaklaşım benimsenmiştir: idari kontroller, çevresel (mühendislik) kontroller ve kişisel korunma (solunum maskeleri).
İdari kontroller, semptomatik, potansiyel olarak bulaşıcı vakaların ve ilaç direncinin hızlı bir şekilde teşhis edilmesini ve etkili tedavinin derhal başlatılmasını gerektirir. Bu uygulama, temel bileşenleri aktarmanın ve benimsenmesini kolaylaştırmanın bir yolu olarak üç adımdan oluşan FAST adı verilen bir yöntemle tanıtılmıştır:
- Öksürük gözetimi ile vakaların aktif olarak bulunması (İng: "Find cases Actively by cough surveillance")
- Geçici olarak ayırılması (İng: "Seperate temporarily")
- Etkili bir şekilde tedavi edilmesi (İng: "Treatment effectively)
Çevresel kontroller doğal ve mekanik havalandırmaya ve gelişen sürdürülebilir ultraviyole mikrop öldürücü (UVGİ) hava dezenfeksiyonu teknolojisine odaklanmıştır. Kişisel korunma ise idari ve çevresel kontrollerinden tam koruma sağlanamadığı varsayıldığında, korumanın son aşamasıdır. İronik bir şekilde, korumanın son aşaması olmasına rağmen solunum maskeleri genellikle sağlık çalışanlarının kullanabileceği tek korumadır; sürekli olarak takılamaz ve tüberküloz şüphesi olmayan bir hastayı tedavi ederken takılması pek olası değildir.
Son yirmi yılda tüberküloz kontrolünde kaydedilen ilerlemeye rağmen ciddi eksiklikler devam etmektedir. Tüberküloz tedavi edilebilmesine ve iyileştirilebilmesine rağmen, bugün hala dünyadaki en ölümcül bulaşıcı hastalıklardan biridir. Etkili bir enfeksiyon kontrolü sağlamak için üç temel unsura ihtiyaç vardır:
- Erken ve doğru tanı ile ilaç duyarlılık testi
- Hastaların etkili tedaviye erişimi ve tedavinin tamamlanması
- Latent enfeksiyondan hastalığı ilerlemenin önlenmesi
Açıkçası, bu kategoriler birbirinden ayrı değildir; her biri diğerlerini etkiler ve onlarla ilişkilidir ve hepsi hem teknik hem de sistemsel zorluklarla karşı karşıyadır. Bu kilit unsurların etkinliği artırılmadan, gidişatı değiştirmek ve tüm ülkelerde bulaşma ve insidans oranlarını önemli ölçüde azaltmak mümkün olmayacaktır.
Bu nedenle, tüberküloza karşı mücadeleyi tersine çevirmek için yeni teknolojilere (teşhis, tedavi rejimleri ve aşılar) yatırım yapmak ve teknolojik ilerlemelerin ihtiyacı olan insanlara ulaşma ve daha iyi sağlık koşullarına dönüşmesini etkileyen sistem ve stratejik zorlukların üstesinden gelmek gerekmektedir.
Aşılama (Bacille Calmette-Guerin)
Bacille Calmette-Guerin (BCG) aşısı, 1921 yılında Fransa'daki Institut Pasteur'da Calmette ve Guerin tarafından immünolojik içgörüsü hakkında herhangi bir bilgi olmaksızın keşfedilmiştir ve M. tuberculosis'in ilgili bir alt türü olan M. bovis'in canlı zayıflatılmış bir türünden geliştirilmiştir.
BCG ile klinik bağışıklama 1921 gibi erken bir tarihte başlamış ve kullanımı Heimbeck tarafından Norveç'teki hemşirelik öğrencileri arasında yürütülen ve BCG ile aşılanan öğrencilerin aşılanmayan öğrencilere kıyasla daha düşük aktif tüberküloz oranlarına sahip olduğu ilk denemelerle desteklenmiştir. Ek destek, 1930'larda Kuzey Amerika Kızılderilileri tarafından düzenlenen ilk resmi denemelerden gelmiştir. Bunu takiben Belçika ve Fransa'da yapılan klinik deneyler BCG aşısının tüm Avrupa'da uygulanmasına yol açmıştır.
1940'lara gelindiğinde birçok çalışma ve klinik deney, BCG aşısının çocuklar arasında tüberkülozda koruyucu rolünü ortaya koymuştur. İkinci Dünya Savaşı'ndan sonra tüberküloz oranları arttıkça, çeşitli uluslararası sağlık kuruluşları halk arasında BCG aşılamasını tavsiye etmiştir. 1960'larda DSÖ, toplumda rutin BCG aşılamaları için stratejiler geliştirmiştir. 1974 yılında BCG, Genişletilmiş Bağışıklama Programı bebek aşılama programına da dahil edilmiştir.
Günümüzde BCG bağışıklaması dünyada en yaygın uygulanan aşılama stratejilerinden biridir. BCG'nin başarısı temel olarak çocuklarda tüberküloz menenjitine karşı etkinliğinden, dünyanın yoksul ülkelerinde kullanılmak için maliyet etkinliğinden ve insanlar arasında kullanım güvenliğinden kaynaklanmaktadır. Şu anda, BCG aşıları dünya çapında 40'tan fazla üretici tarafından üretilmektedir.
BCG Aşısının Sınırlamaları
BCG aşısı dünya çağında kullanılmaya devam etmekte ve genellikle erken çocukluk dönemini korumaktadır. Ancak aşıyla oluşan bağışıklığın zamanla değiştiği ve bazı immünolojik belirteçlerde 3. aydan itibaren bir azalma gözlemlenebildiği, bununla birlikte özellikle ciddi çocukluk çağı tüberkülozuna karşı korumanın genellikle ilk yıllarda devam ettiği bilinmektedir.
BCG aşılamasının başarısızlığını açıklamak için çeşitli hipotezler ortaya atılmıştır. Bunlar arasında iklim koşulları, coğrafi enlem, konağın genetik geçmişi ve kullanılan BCG suşu yer almaktadır.
Tropikal bölgelerde oldukça yaygın olan çevresel mikobakterilere önceden maruz kalınması, BCG aşısının sağladığı korumanın azalmasına yol açmaktadır. BCG aşılamasından önce çevresel mikobakterilere karşı önceden hassaslaşmanın olumsuz etkilerini açıklamak için iki hipotez öne sürülmüştür.
Maskeleme Hipotezi
Maskeleme hipotezi, konağın çevresel mikobakterilere maruz kalmasının tüberküloza karşı belirli bir düzeyde koruyucu bağışıklık sağladığını ve önceden maruz kalmış konağın BCG ile bağışıklanmasının koruma düzeyini daha fazla artırmadığını öne sürmektedir. Dolayısıyla, yenidoğanlara doğumdan hemen sonra uygulanan BCG'nin koruyucu bir katkısı vardır, çünkü bebeklerde aşının etkisini maskeleyecek önceden bir duyarlılık oluşmamıştır.
Bunun aksine, yetişkinlerde çevresel mikobakterilerle önceden duyarlılık oluşması nedeniyle BCG aşısı etkili değildir. Bu nedenle, yetişkinlerde ölçülebilir bir etkiye sahip olmak için etkinlik açısından BCG'den önemli ölçüde üstün olması gereken yeni bir aşıya ihtiyaç vardır.
Engelleme Hipotezi
Engelleme hipotezi, BCG'nin replikasyonunun, mikobakteriler için ortak olan antijenlere karşı önceden var olan bir bağışıklık tepkisinin varlığı nedeniyle, çevresel mikobakterilerle önceden duyarlılık varlığında engellendiğini öne sürmektedir. BCG'nin replikasyonu, canlı bir aşı olduğu için immün hafıza yanıtının ortaya çıkarılması için bir ön koşuldur.
Böyle bir senaryoda, yeni aşının, ön maruziyet tarafından engellenmediği sürece, etkinlik söz konusu olduğunda BCG kadar iyi olması gerekir. Virüs, rekombinant protein veya çıplak DNA gibi mikobakteriyel olmayan vektörlere dayanan bir aşı, ön duyarlılığın etkisini azaltmak ve konakçıya etkili koruma sağlamak için gereklidir.
Dahası, farklı BCG suşları farklı etkinliklere sahiptir çünkü 1920'lerde Pasteur Enstitüsü'ndeki orijinal suş dünyanın farklı bölgelerine dağıtılmıştır. O dönemde düzgün bir şekilde oluşturulmuş kültür protokollerinin olmaması, dünya çapında etkinliklerini etkileyebilecek farklı antijenik ve immünolojik etkinliğe sahip BCG suşlarına yol açmıştır.
BCG aşısının bu kısıtlılıkları nedeniyle, etkili, güvenli ve çevresel mikobakterilere önceden maruziyetten etkilenmeyecek yeni ve daha gelişmiş tüberküloz aşılarına acil ihtiyaç duyulmaktadır.
Kemoprofilaksi
Tüberküloz kemoprofilaksisi, M. tuberculosis ile enfeksiyonun önlenmesi veya zaten enfekte olmuş bireylerde hastalığın gelişmesini önlemek içi alınan terapötik bir önlemdir. Kemoproflaksi ya da diğer adıyla izoniazid ile önleyici tedavi, enfeksiyona maruz kalan veya latent enfeksiyonu olan kişilerde ilk tüberküloz atağı ve nükseden tüberküloz atağı riskini azaltır.
İzoniazid alan latent tüberküloz enfeksiyonu olan herkes fayda görse de enfeksiyonda en büyük azalma HIV negatif hastalarda ve tüberkülin deri testi ve HIV pozitif bireylerde görülür. Dünya Sağlık Örgütü, en az altı ay ve ideal olarak dokuz ay boyunca günlük 5 mg/kg (maksimum 300 mg) dozunda izoniazid alınmasını önermektedir. Daha kısa rifampisin içeren rejimler, 6-9 aylık izoniazid monoterapisine kıyasla benzer etkinlik göstermiş olup tedavi süresini kısaltma avantajı sunmaktadır. Her tedavi rejiminde olduğu gibi, bu rejimlerde de olası yan etkiler ve ilaç etkileşimleri göz önünde bulundurulmalıdır.
HIV ile enfekte olmamış bireylerde rifampisin ve pirazinamid içeren rejimler için artmış hepatotoksisite ve ölüm oranları bildirilmiştir. Bununla birlikte, HIV ile enfekte hastalarda yapılan büyük bir rifampisin ve pirazinamid çalışmasının titiz bir şekilde yeniden analiz edilmesi ciddi toksisite olmadığını doğruladığından, bu risk HIV ile enfekte olmayan bireylerle sınırlı görünmektedir.
Önleyici tedavi esas olarak bireyler üzerindeki faydalı etkisi nedeniyle kullanılmıştır. Nüfus düzeyinde, hem HIV hem de tüberküloz yükünün yüksek olduğu ortamlarda toplum çapında önleyici tedavinin matematiksel modellemesi, bu stratejinin tüberküloz insidansının azalmasına katkıda bulunabileceğini göstermektedir.
Önleyici tedavi programlarının ilaç direncinin ortaya çıkması üzerindeki etkisi henüz bilinmemektedir. Mevcut sınırlı veriler, önleyici tedavi sonrasında izoniazide dirençli tüberküloz riskinin artmadığını kesin olarak kanıtlamamakla birlikte, böyle bir risk artışını da dışlamamaktadır.
Etimoloji
Tüberküloz terimi, Latince'de "küçük şişlik" veya "nodül" anlamına gelen "tuberculum" ve "durum" anlamına gelen "osis" kelimelerinin birleşiminden oluşur ve hastalıktan etkilenen dokularda bulunan karakteristik nodülleri veya şişlikleri tanımlamak için kullanılmıştır.
Tüberkülozun Tarihi
Mycobacterium tuberculosis çok eski kökenlere sahiptir; 70.000 yıldan fazla bir süredir hayatta kalmıştır ve şu anda dünya çapında yaklaşık 2 milyar insanı enfekte etmektedir. Her yıl yaklaşık 10.4 milyon yeni tüberküloz vakası ile dünya nüfusunun neredeyse üçte biri tüberküloz basili taşıyıcısıdır ve aktif hastalık geçirme riski altındadır.
İlk Tarihi Kayıtlar
Mycobacterium cinsinin 150 milyon yıldan daha uzun bir süre önce ortaya çıktığı varsayılmaktadır. Çok eski zamanlardan beri enfeksiyonlara neden olan Mycobacterium ulcerans, günümüzde dünya çapındaki dağılımına da yansıdığı gibi belirli çevresel koşullara ihtiyaç duymaktadır.
Üç milyon yıl önce, M. tuberculosis'in erken bir atası Doğu Afrika'daki erken hominidleri enfekte etmiş olabilir ve 20.000-15.000 yıl önce, ilk kez, M. tuberculosis'in modern suşlarının ortak atası ortaya çıkmış olabilir. MÖ 2400'lü yıllara ait Mısır mumyalarında, tüberküloza özgü iskelet bozuklukları (özellikle karakteristik Pott lezyonları) saptanmıştır; benzer anormallikler erken dönem Mısır sanat eserlerinde de betimlenmiştir. Bununla birlikte, Mısır papirüslerinde tüberküloz lezyonları hakkında herhangi bir kanıt bildirilmemiştir.

Tüberkülozu tanımlayan ilk yazılı belgeler, sırasıyla 3300 ve 2300 yıl öncesine tarihlenen, Hindistan ve Çin'de bulunmuştur. Tüberkülozla bağlantılı diğer yazılı belgeler İbranice metinlerde bulunmaktadır. Eski İbranice "schachepheth" kelimesi Tevrat'ın Tesniye ve Levililer kitaplarında tüberkülozu tanımlamak için kullanılmıştır. Aynı dönemde, And bölgesindeki Perulu mumyaların kalıntılarında, Pott deformiteleri de dahil olmak üzere erken tüberkülozun arkeolojik kanıtlarına rastlanmıştır, bu da hastalığın Güney Amerika'daki ilk Avrupalı öncülerin kolonizasyonundan önce bile mevcut olduğunu düşündürmektedir.
Antik Yunan'da tüberküloz iyi bilinir ve Phtisis (fitiz) olarak adlandırılırdı. Hipokrat, Phtisis'i özellikle genç yetişkinler için ölümcül bir hastalık olarak tarif etmiş, semptomlarını ve karakteristik tüberküloz akciğer lezyonlarını doğru bir şekilde tanımlamıştır. Tüberkülozu inceleyen ilk bilim insanlarının mükemmel keşifleri de aynı dönemde yapılmıştır. Yunanistan'da tüberkülozun bulaşıcı bir hastalık olduğunu öne süren ilk yazar İsokrates'tir.
Roma döneminde tüberkülozdan Celso, Kapadokyalı Aretaeus ve Caelius Aurelianus gibi isimler bahsetmiştir ancak skrofula, Pott hastalığı ve tüberküloz lupus gibi akciğer dışı belirtilerle aynı etiyolojiyi paylaştığı kabul edilmemiştir. MS 174 yılında Roma İmparatoru Marcus Aurelius'un özel doktoru olan Yunanlı Clarissimus Galen, tüberkülozun belirtilerini ateş, terleme, öksürük ve kanlı balgam olarak tanımlamış; hastalığın başarılı tedavisi olarak da temiz hava, süt ve deniz yolculuğunu tavsiye etmiştir.
Roma İmparatorluğu'nun çöküşünden sonra, çeşitli arkeolojik bulguların da tanıklık ettiği gibi, tüberküloz VIII. ve XIX. yüzyıllarda Avrupa'da yaygındı. Bizanslı doktorlar Amida'lı Aetius, Tralles'li Alexander ve Aegina'lı Paul tüberkülozun pulmoner ve glandüler formlarını tanımlarken, Arap İmparatorluğu'nda İbn-i Sina tüberkülozun bulaşıcı doğasını öngörmüştür.
Evrim Ağacı'nda tek bir hedefimiz var: Bilimsel gerçekleri en doğru, tarafsız ve kolay anlaşılır şekilde Türkiye'ye ulaştırmak. Ancak tahmin edebileceğiniz gibi Türkiye'de bilim anlatmak hiç kolay bir iş değil; hele ki bir yandan ekonomik bir hayatta kalma mücadelesi verirken...
O nedenle sizin desteklerinize ihtiyacımız var. Eğer yazılarımızı okuyanların %1'i bize bütçesinin elverdiği kadar destek olmayı seçseydi, bir daha tek bir reklam göstermeden Evrim Ağacı'nın bütün bilim iletişimi faaliyetlerini sürdürebilirdik. Bir düşünün: sadece %1'i...
O %1'i inşa etmemize yardım eder misiniz? Evrim Ağacı Premium üyesi olarak, ekibimizin size ve Türkiye'ye bilimi daha etkili ve profesyonel bir şekilde ulaştırmamızı mümkün kılmış olacaksınız. Ayrıca size olan minnetimizin bir ifadesi olarak, çok sayıda ayrıcalığa erişim sağlayacaksınız.
Makalelerimizin bilimsel gerçekleri doğru bir şekilde yansıtması için en üst düzey çabayı gösteriyoruz. Gözünüze doğru gelmeyen bir şey varsa, mümkünse güvenilir kaynaklarınızla birlikte bize ulaşın!
Bu makalemizle ilgili merak ettiğin bir şey mi var? Buraya tıklayarak sorabilirsin.
Soru & Cevap Platformuna Git- 2
- 1
- 0
- 0
- 0
- 0
- 0
- 0
- 0
- 0
- 0
- 0
- M. S. Sahra. Tuberculosis (Tb): Practice Essentials, Background, Pathophysiology. (31 Ekim 2024). Alındığı Tarih: 9 Nisan 2025. Alındığı Yer: Medscape | Arşiv Bağlantısı
- E. H. Tobin, et al. (2024). Tuberculosis Overview. StatPearls. | Arşiv Bağlantısı
- Z. Alzayer, et al. (2023). Primary Lung Tuberculosis. StatPearls. | Arşiv Bağlantısı
- J. Furin, et al. (2019). Tuberculosis. Elsevier BV, sf: 1642-1656. doi: 10.1016/S0140-6736(19)30308-3. | Arşiv Bağlantısı
- K. Lönnroth, et al. (2009). Drivers Of Tuberculosis Epidemics: The Role Of Risk Factors And Social Determinants. Elsevier BV, sf: 2240-2246. doi: 10.1016/j.socscimed.2009.03.041. | Arşiv Bağlantısı
- M. Pai, et al. (2016). Tuberculosis. Nature reviews. Disease primers. doi: 10.1038/nrdp.2016.76. | Arşiv Bağlantısı
- R. M. Jasmer, et al. (2002). Latent Tuberculosis Infection. Massachusetts Medical Society, sf: 1860-1866. doi: 10.1056/NEJMcp021045. | Arşiv Bağlantısı
- N. Fogel. (2015). Tuberculosis: A Disease Without Boundaries. Elsevier BV, sf: 527-531. doi: 10.1016/j.tube.2015.05.017. | Arşiv Bağlantısı
- I. Smith. (2003). Mycobacterium Tuberculosis Pathogenesis And Molecular Determinants Of Virulence. Clinical Microbiology Reviews, sf: 463-496. doi: 10.1128/CMR.16.3.463-496.2003. | Arşiv Bağlantısı
- H. J. Milburn. (2003). Primary Tuberculosis. Current Opinion in Pulmonary Medicine, sf: 133-141. doi: 10.1097/00063198-200105000-00004. | Arşiv Bağlantısı
- P. D. Davies, et al. (2008). The Diagnosis And Misdiagnosis Of Tuberculosis. The International Journal Of Tuberculosis And Lung Disease : The Official Journal Of The International Union Against Tuberculosis And Lung Disease. | Arşiv Bağlantısı
- D. Brodie, et al. (2005). The Diagnosis Of Tuberculosis. Elsevier BV, sf: 247-271. doi: 10.1016/j.ccm.2005.02.012. | Arşiv Bağlantısı
- T. T. Brehm, et al. (2023). Extrapulmonale Tuberkulose. DMW - Deutsche Medizinische Wochenschrift, sf: 1242-1249. doi: 10.1055/a-1937-8186. | Arşiv Bağlantısı
- L. M. Verhagen, et al. (2011). Mycobacterial Factors Relevant For Transmission Of Tuberculosis. Oxford University Press (OUP), sf: 1249-1255. doi: 10.1093/infdis/jir013. | Arşiv Bağlantısı
- J. R. Andrews, et al. (2012). Risk Of Progression To Active Tuberculosis Following Reinfection With Mycobacterium Tuberculosis. Clinical Infectious Diseases : An Official Publication Of The Infectious Diseases Society Of America, sf: 784-791. doi: 10.1093/cid/cir951. | Arşiv Bağlantısı
- H. Lin, et al. (2007). Tobacco Smoke, Indoor Air Pollution And Tuberculosis: A Systematic Review And Meta-Analysis. PLOS Medicine, sf: 20. doi: 10.1371/journal.pmed.0040020. | Arşiv Bağlantısı
- A. O'Garra, et al. (2013). The Immune Response In Tuberculosis. Annual Reviews, sf: 475-527. doi: 10.1146/annurev-immunol-032712-095939. | Arşiv Bağlantısı
- A. Rouillon, et al. (1976). Transmission Of Tubercle Bacilli: The Effects Of Chemotherapy. Tubercle, sf: 275-299. doi: 10.1016/s0041-3879(76)80006-2. | Arşiv Bağlantısı
- WHO. Global Tuberculosis Report 2024. Alındığı Tarih: 9 Nisan 2025. Alındığı Yer: WHO | Arşiv Bağlantısı
- M. C. Raviglione. (2009). Tuberculosis: The Essentials, Fourth Edition (Lung Biology In Health And Disease). ISBN: 9781420090215. Yayınevi: CRC Press. sf: 1-408.
- L. N. Friedman. (2020). Clinical Tuberculosis (Sixth Edition). ISBN: 9781351249973. Yayınevi: CRC Press. sf: 1-457.
- P. Haldar. (2021). The Natural History Of Tb And Latent Infection. Tuberculosis in Clinical Practice, sf: 1-14. doi: 10.1007/978-3-030-75509-6_1. | Arşiv Bağlantısı
- O. M. Kon. (2021). Tuberculosis In Clinical Practice. ISBN: 9783030755096. Yayınevi: Springer Nature. sf: 1-376.
- S. Fatima, et al. (2020). Tuberculosis Vaccine: A Journey From Bcg To Present. Elsevier BV, sf: 117594. doi: 10.1016/j.lfs.2020.117594. | Arşiv Bağlantısı
- S. V. Gordon, et al. (2018). Microbe Profile: Mycobacterium Tuberculosis: Humanity&Apos;S Deadly Microbial Foe: This Article Is Part Of The Microbe Profiles Collection.. Microbiology, sf: 437-439. doi: 10.1099/mic.0.000601. | Arşiv Bağlantısı
- E. L. Corbett, et al. (2003). The Growing Burden Of Tuberculosis. American Medical Association (AMA), sf: 1009. doi: 10.1001/archinte.163.9.1009. | Arşiv Bağlantısı
- E. L. Corbett, et al. (2006). Tuberculosis In Sub-Saharan Africa: Opportunities, Challenges, And Change In The Era Of Antiretroviral Treatment. Elsevier BV, sf: 926-937. doi: 10.1016/S0140-6736(06)68383-9. | Arşiv Bağlantısı
- K. R. Collins, et al. (2002). Impact Of Tuberculosis On Hiv-1 Replication, Diversity, And Disease Progression. AIDS Reviews. | Arşiv Bağlantısı
- B. Alisjahbana, et al. (2006). Diabetes Mellitus Is Strongly Associated With Tuberculosis In Indonesia. The International Journal Of Tuberculosis And Lung Disease : The Official Journal Of The International Union Against Tuberculosis And Lung Disease. | Arşiv Bağlantısı
- S. J. Kim, et al. (1995). Incidence Of Pulmonary Tuberculosis Among Diabetics. Tubercle And Lung Disease : The Official Journal Of The International Union Against Tuberculosis And Lung Disease, sf: 529-533. doi: 10.1016/0962-8479(95)90529-4. | Arşiv Bağlantısı
- M. A. Baker, et al. (2011). The Impact Of Diabetes On Tuberculosis Treatment Outcomes: A Systematic Review. BMC Medicine. doi: 10.1186/1741-7015-9-81. | Arşiv Bağlantısı
- P. Narasimhan, et al. (2013). Risk Factors For Tuberculosis. Pulmonary Medicine, sf: 828939. doi: 10.1155/2013/828939. | Arşiv Bağlantısı
- M. N. Bates. (2007). Risk Of Tuberculosis From Exposure To Tobacco Smoke. American Medical Association (AMA), sf: 335. doi: 10.1001/archinte.167.4.335. | Arşiv Bağlantısı
- R. E. Weir, et al. (2008). Persistence Of The Immune Response Induced By Bcg Vaccination. BMC Infectious Diseases, sf: 9. doi: 10.1186/1471-2334-8-9. | Arşiv Bağlantısı
- C. P. Chaulk. (2003). Directly Observed Therapy For Treatment Completion Of Pulmonary Tuberculosisconsensus Statement Of The Public Health Tuberculosis Guidelines Panel. American Medical Association (AMA), sf: 943. doi: 10.1001/jama.279.12.943. | Arşiv Bağlantısı
- W. J. Burman, et al. (2008). Noncompliance With Directly Observed Therapy For Tuberculosis. Elsevier BV, sf: 1168-1173. doi: 10.1378/chest.111.5.1168. | Arşiv Bağlantısı
- T. Oscherwitz. (2011). Detention Of Persistently Nonadherent Patients With Tuberculosis. American Medical Association (AMA), sf: 843. doi: 10.1001/jama.1997.03550100069041. | Arşiv Bağlantısı
- C. P. Chaulk. (2011). Eleven Years Of Community-Based Directly Observed Therapy For Tuberculosis. American Medical Association (AMA), sf: 945. doi: 10.1001/jama.1995.03530120037038. | Arşiv Bağlantısı
- W. J. Burman, et al. (2008). A Cost-Effectiveness Analysis Of Directly Observed Therapy Vs Self-Administered Therapy For Treatment Of Tuberculosis. Elsevier BV, sf: 63-70. doi: 10.1378/chest.112.1.63. | Arşiv Bağlantısı
Evrim Ağacı'na her ay sadece 1 kahve ısmarlayarak destek olmak ister misiniz?
Şu iki siteden birini kullanarak şimdi destek olabilirsiniz:
kreosus.com/evrimagaci | patreon.com/evrimagaci
Çıktı Bilgisi: Bu sayfa, Evrim Ağacı yazdırma aracı kullanılarak 08/10/2025 08:18:09 tarihinde oluşturulmuştur. Evrim Ağacı'ndaki içeriklerin tamamı, birden fazla editör tarafından, durmaksızın elden geçirilmekte, güncellenmekte ve geliştirilmektedir. Dolayısıyla bu çıktının alındığı tarihten sonra yapılan güncellemeleri görmek ve bu içeriğin en güncel halini okumak için lütfen şu adrese gidiniz: https://evrimagaci.org/s/18030
İçerik Kullanım İzinleri: Evrim Ağacı'ndaki yazılı içerikler orijinallerine hiçbir şekilde dokunulmadığı müddetçe izin alınmaksızın paylaşılabilir, kopyalanabilir, yapıştırılabilir, çoğaltılabilir, basılabilir, dağıtılabilir, yayılabilir, alıntılanabilir. Ancak bu içeriklerin hiçbiri izin alınmaksızın değiştirilemez ve değiştirilmiş halleri Evrim Ağacı'na aitmiş gibi sunulamaz. Benzer şekilde, içeriklerin hiçbiri, söz konusu içeriğin açıkça belirtilmiş yazarlarından ve Evrim Ağacı'ndan başkasına aitmiş gibi sunulamaz. Bu sayfa izin alınmaksızın düzenlenemez, Evrim Ağacı logosu, yazar/editör bilgileri ve içeriğin diğer kısımları izin alınmaksızın değiştirilemez veya kaldırılamaz.