COVID-19 Beyni Etkiliyor mu?
COVID-19 Beyni de Vurdu Virüs, Beyin Hacmini Küçültüyor mu?
covid 19
- Blog Yazısı
COVID-19 pandemisi, solunum sistemini etkileyen bir hastalık olarak bilinse de, bilim insanları son yıllarda virüsün sinir sistemi üzerindeki etkilerine de odaklandı Özellikle “beyin sisi”, koku kaybı, dikkat eksikliği gibi semptomlar, COVID-19’un beyinle olan ilişkisini gündeme taşıdı Peki, bu etkiler sadece geçici mi yoksa virüs beyinde kalıcı hasarlara yol açıyor mu? Sonuçlar düşündürücü.
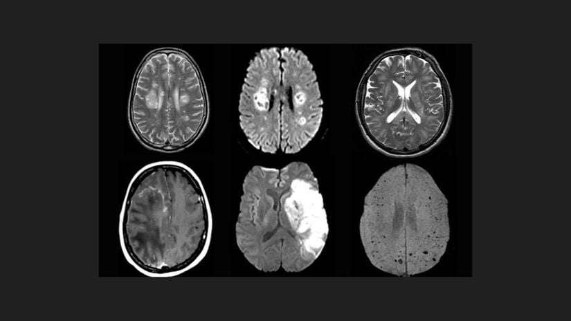
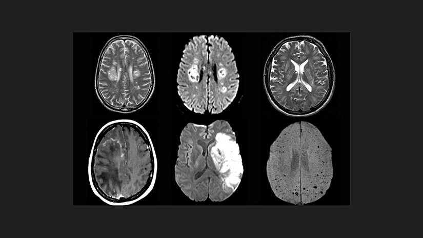
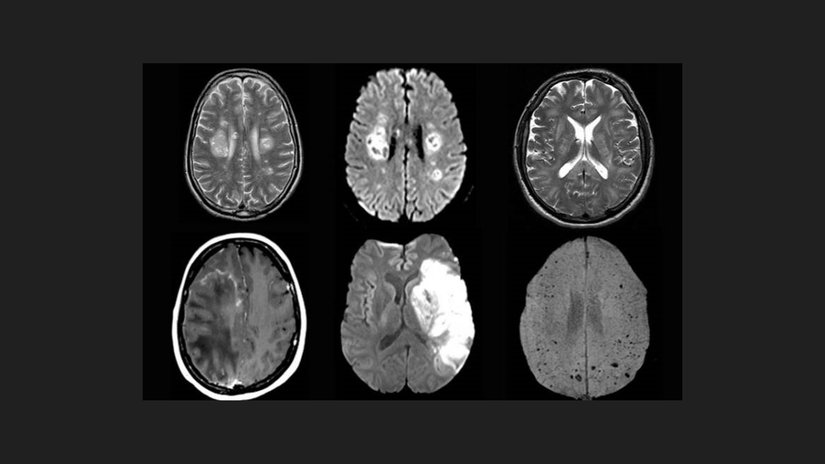
2022 yılında University of Oxford öncülüğünde yapılan ve UK Biobank adlı geniş çaplı veri tabanından faydalanılan bir çalışmada, araştırmacılar 785 bireyin beyin MRI görüntülerini analiz etti. Bu kişilerden 401’i COVID-19 geçirmiş, geri kalan 384’ü ise kontrol grubunu oluşturuyordu. Önemli olan nokta: COVID öncesi ve sonrası MRI görüntüleri karşılaştırılarak değişimlerin yönü incelendi.
Çalışma sonuçlarına göre, enfeksiyon geçiren kişilerin özellikle orbitofrontal korteks ve parahipokampal girus gibi alanlarında gri madde kaybı tespit edildi. Aynı zamanda, genel beyin hacminde küçülme ve bilişsel işlevlerde (örneğin dikkat, tepki süresi) düşüşler gözlendi. İlginç şekilde, bu değişimler hafif semptomlarla hastalığı geçiren kişilerde bile gözlemlendi. Benzer şekilde, 2023’te yayımlanan başka bir çalışmada da COVID-19 sonrası beyin omurilik sıvısında nörodejenerasyona işaret eden biyobelirteçlerde artış saptandı. Bu da bazı araştırmacıları Alzheimer gibi hastalıklarla olası bağlantılar konusunda alarma geçirdi.

Bulgular :
COVID‑19 geçiren bireylerde, kontrol grubuna göre hem gri madde kalınlığında, hem de tüm beyin hacminde daha fazla azalma saptandı. Özellikle koku ve hafıza ile ilişkili beyin bölgeler orbitofrontal korteks ve parahipokampal girus en çok etkilenen alanlardı.
Ortalama olarak, enfeksiyon grubunda MR’lar arasında %0.2 ila %2 arasında ek gri madde kaybı ya da doku hasarı gözlemlendi. Ayrıca, beyin ve omurilik sıvısı hacminde artış görüldü; bu da beyin dokusunda küçülmeye işaret eden bir bulgu. Yapısal değişimlerin yanı sıra, aynı bireylerde yapılan kognitif testler (dikkat, işlem hızı, hafıza vs.) de enfeksiyon sonrası düşük performansa işaret etti.
Karşılaştırma :
Önce‑sonra MR karşılaştırması preinfeksiyon görüntüleri var Katılımcılar 51–81 yaş aralığında, gençler ya da çocuklar yok
Kontrol grubu yaş, cinsiyet, sağlık durumu eşleştirmesi yapılmış MR sonrası ortalama süre 4–6 ay uzun vadeli (yıllar sonrası) etkiler bilinmiyor
Yapısal değişimin yanında bilişsel testlerde zayıflama görülmüş Değişim gören herkeste semptom olmayabilir; beyin “plastikliği” (iyileşme potansiyeli) vurgulanıyor

Sonuç :
Evrim Ağacı'nın çalışmalarına Kreosus, Patreon veya YouTube üzerinden maddi destekte bulunarak hem Türkiye'de bilim anlatıcılığının gelişmesine katkı sağlayabilirsiniz, hem de site ve uygulamamızı reklamsız olarak deneyimleyebilirsiniz. Reklamsız deneyim, sitemizin/uygulamamızın çeşitli kısımlarda gösterilen Google reklamlarını ve destek çağrılarını görmediğiniz, %100 reklamsız ve çok daha temiz bir site deneyimi sunmaktadır.
KreosusKreosus'ta her 50₺'lik destek, 1 aylık reklamsız deneyime karşılık geliyor. Bu sayede, tek seferlik destekçilerimiz de, aylık destekçilerimiz de toplam destekleriyle doğru orantılı bir süre boyunca reklamsız deneyim elde edebiliyorlar.
Kreosus destekçilerimizin reklamsız deneyimi, destek olmaya başladıkları anda devreye girmektedir ve ek bir işleme gerek yoktur.
PatreonPatreon destekçilerimiz, destek miktarından bağımsız olarak, Evrim Ağacı'na destek oldukları süre boyunca reklamsız deneyime erişmeyi sürdürebiliyorlar.
Patreon destekçilerimizin Patreon ile ilişkili e-posta hesapları, Evrim Ağacı'ndaki üyelik e-postaları ile birebir aynı olmalıdır. Patreon destekçilerimizin reklamsız deneyiminin devreye girmesi 24 saat alabilmektedir.
YouTubeYouTube destekçilerimizin hepsi otomatik olarak reklamsız deneyime şimdilik erişemiyorlar ve şu anda, YouTube üzerinden her destek seviyesine reklamsız deneyim ayrıcalığını sunamamaktayız. YouTube Destek Sistemi üzerinde sunulan farklı seviyelerin açıklamalarını okuyarak, hangi ayrıcalıklara erişebileceğinizi öğrenebilirsiniz.
Eğer seçtiğiniz seviye reklamsız deneyim ayrıcalığı sunuyorsa, destek olduktan sonra YouTube tarafından gösterilecek olan bağlantıdaki formu doldurarak reklamsız deneyime erişebilirsiniz. YouTube destekçilerimizin reklamsız deneyiminin devreye girmesi, formu doldurduktan sonra 24-72 saat alabilmektedir.
Diğer PlatformlarBu 3 platform haricinde destek olan destekçilerimize ne yazık ki reklamsız deneyim ayrıcalığını sunamamaktayız. Destekleriniz sayesinde sistemlerimizi geliştirmeyi sürdürüyoruz ve umuyoruz bu ayrıcalıkları zamanla genişletebileceğiz.
Giriş yapmayı unutmayın!Reklamsız deneyim için, maddi desteğiniz ile ilişkilendirilmiş olan Evrim Ağacı hesabınıza üye girişi yapmanız gerekmektedir. Giriş yapmadığınız takdirde reklamları görmeye devam edeceksinizdir.
COVID‑19, yalnızca solunum değil; sinir sistemi ve beyin üzerinde de yapısal değişikliğe yol açabiliyor. Özellikle hafif geçirenlerde bile beyin hacminde küçülme, gri madde kaybı, beyin bölümlerinde incelme görülebiliyor Bu durum, uzun vadede bilişsel etkiler veya nörodejeneratif hastalıklar (örneğin demans/hafıza bozukluğu) için potansiyel risk oluşturabilir.
- 0
- 0
- 0
- 0
- 0
- 0
- 0
- 0
- 0
- 0
- 0
- 0
Evrim Ağacı'na her ay sadece 1 kahve ısmarlayarak destek olmak ister misiniz?
Şu iki siteden birini kullanarak şimdi destek olabilirsiniz:
kreosus.com/evrimagaci | patreon.com/evrimagaci
Çıktı Bilgisi: Bu sayfa, Evrim Ağacı yazdırma aracı kullanılarak 11/12/2025 16:28:04 tarihinde oluşturulmuştur. Evrim Ağacı'ndaki içeriklerin tamamı, birden fazla editör tarafından, durmaksızın elden geçirilmekte, güncellenmekte ve geliştirilmektedir. Dolayısıyla bu çıktının alındığı tarihten sonra yapılan güncellemeleri görmek ve bu içeriğin en güncel halini okumak için lütfen şu adrese gidiniz: https://evrimagaci.org/s/21940
İçerik Kullanım İzinleri: Evrim Ağacı'ndaki yazılı içerikler orijinallerine hiçbir şekilde dokunulmadığı müddetçe izin alınmaksızın paylaşılabilir, kopyalanabilir, yapıştırılabilir, çoğaltılabilir, basılabilir, dağıtılabilir, yayılabilir, alıntılanabilir. Ancak bu içeriklerin hiçbiri izin alınmaksızın değiştirilemez ve değiştirilmiş halleri Evrim Ağacı'na aitmiş gibi sunulamaz. Benzer şekilde, içeriklerin hiçbiri, söz konusu içeriğin açıkça belirtilmiş yazarlarından ve Evrim Ağacı'ndan başkasına aitmiş gibi sunulamaz. Bu sayfa izin alınmaksızın düzenlenemez, Evrim Ağacı logosu, yazar/editör bilgileri ve içeriğin diğer kısımları izin alınmaksızın değiştirilemez veya kaldırılamaz.