Intraperitoneal Kabak Tomografisi: Vücudunuza Yabancı Cisimler Sokmayın!

- Özgün
- Radyoloji
50 yaşındaki erkek bir çiftçi, çiftçi, yoğun karın ağrısı ile hastaneye kaldırılmıştır. Öncelikle gaz birikimi olduğu düşünülmüş; ancak yapılan incelemeler, bağırsak gaz örüntülerinin karın içerisinde birikmiş bir gaz belirtisi olmadığını göstermiştir. Frontal X-Işını taraması yapıldığında, vücutta hekimi ikna edici düzeyde intrabdominal gaz olmadığı görülmüştür. Tarama görüntüsü aşağıdan görülebilir:

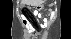
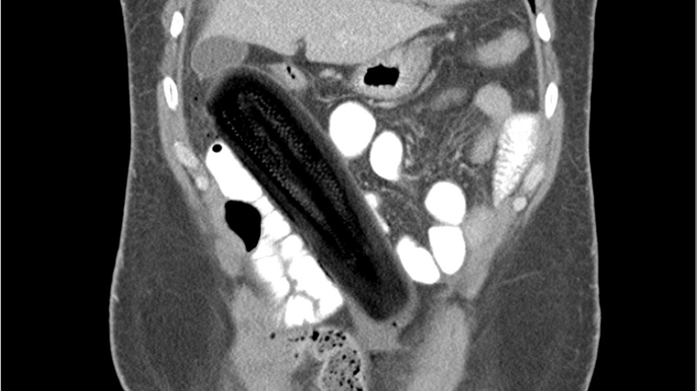
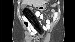
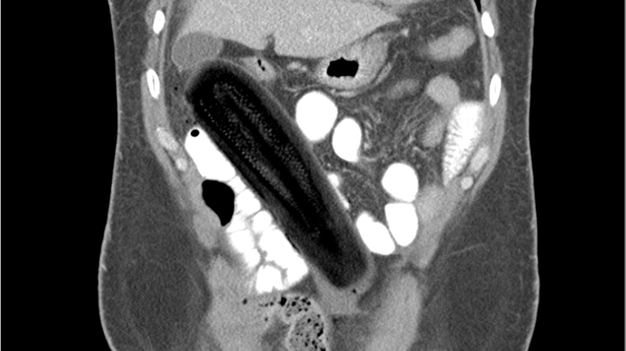
X-ray yeterince bilgi vermediği için CT çekilmesine karar verilen hastanın sorununun peritoneal boşluk içerisine sıkışmış 19 santimetrelik bir kabak olduğu anlaşılmıştır. Hastanın anal yollarla kabağı oraya sokacak kadar sert bir şekilde ittiği, anüs açıklığını yırtarak peritoneal boşluğa kadar ulaştığı öğrenilmiştir. Aşağıda CT sonucu görülebilir:

Radiopaedia sitesi, konuyla ilgili şöyle söylüyor:
Bu tarz bir intraperitoneal kabak vakası oldukça nadirdir. Bu durum, bir insanın sert bir bitkiyi rektumu delecek kadar vücuda sokabilmesi için ne kadar kuvvetle itmesi gerektiğini düşündürmektedir.
Evrim Ağacı'nda tek bir hedefimiz var: Bilimsel gerçekleri en doğru, tarafsız ve kolay anlaşılır şekilde Türkiye'ye ulaştırmak. Ancak tahmin edebileceğiniz gibi Türkiye'de bilim anlatmak hiç kolay bir iş değil; hele ki bir yandan ekonomik bir hayatta kalma mücadelesi verirken...
O nedenle sizin desteklerinize ihtiyacımız var. Eğer yazılarımızı okuyanların %1'i bize bütçesinin elverdiği kadar destek olmayı seçseydi, bir daha tek bir reklam göstermeden Evrim Ağacı'nın bütün bilim iletişimi faaliyetlerini sürdürebilirdik. Bir düşünün: sadece %1'i...
O %1'i inşa etmemize yardım eder misiniz? Evrim Ağacı Premium üyesi olarak, ekibimizin size ve Türkiye'ye bilimi daha etkili ve profesyonel bir şekilde ulaştırmamızı mümkün kılmış olacaksınız. Ayrıca size olan minnetimizin bir ifadesi olarak, çok sayıda ayrıcalığa erişim sağlayacaksınız.
Makalelerimizin bilimsel gerçekleri doğru bir şekilde yansıtması için en üst düzey çabayı gösteriyoruz. Gözünüze doğru gelmeyen bir şey varsa, mümkünse güvenilir kaynaklarınızla birlikte bize ulaşın!
Bu makalemizle ilgili merak ettiğin bir şey mi var? Buraya tıklayarak sorabilirsin.
Soru & Cevap Platformuna Git- 14
- 7
- 2
- 1
- 1
- 1
- 1
- 1
- 0
- 0
- 0
- 0
- F. Gaillard. Intraperitoneal Zucchini. (21 Ekim 2019). Alındığı Tarih: 21 Ekim 2019. Alındığı Yer: Radiopaedia | Arşiv Bağlantısı
Evrim Ağacı'na her ay sadece 1 kahve ısmarlayarak destek olmak ister misiniz?
Şu iki siteden birini kullanarak şimdi destek olabilirsiniz:
kreosus.com/evrimagaci | patreon.com/evrimagaci
Çıktı Bilgisi: Bu sayfa, Evrim Ağacı yazdırma aracı kullanılarak 11/10/2025 19:32:06 tarihinde oluşturulmuştur. Evrim Ağacı'ndaki içeriklerin tamamı, birden fazla editör tarafından, durmaksızın elden geçirilmekte, güncellenmekte ve geliştirilmektedir. Dolayısıyla bu çıktının alındığı tarihten sonra yapılan güncellemeleri görmek ve bu içeriğin en güncel halini okumak için lütfen şu adrese gidiniz: https://evrimagaci.org/s/4445
İçerik Kullanım İzinleri: Evrim Ağacı'ndaki yazılı içerikler orijinallerine hiçbir şekilde dokunulmadığı müddetçe izin alınmaksızın paylaşılabilir, kopyalanabilir, yapıştırılabilir, çoğaltılabilir, basılabilir, dağıtılabilir, yayılabilir, alıntılanabilir. Ancak bu içeriklerin hiçbiri izin alınmaksızın değiştirilemez ve değiştirilmiş halleri Evrim Ağacı'na aitmiş gibi sunulamaz. Benzer şekilde, içeriklerin hiçbiri, söz konusu içeriğin açıkça belirtilmiş yazarlarından ve Evrim Ağacı'ndan başkasına aitmiş gibi sunulamaz. Bu sayfa izin alınmaksızın düzenlenemez, Evrim Ağacı logosu, yazar/editör bilgileri ve içeriğin diğer kısımları izin alınmaksızın değiştirilemez veya kaldırılamaz.