Donovanoz (Granüloma İnguinale)
Cinsel Yolla Bulaşan Bakteriyel Enfeksiyon

- Hastalık Kataloğu
- Tıbbi Mikrobiyoloji
- Enfeksiyon Hastalıkları
Bu içerik tıp ve sağlık ile ilişkilidir. Sadece bilgi amaçlı olarak hazırlanmıştır. Bireysel bir tıbbi tavsiye olarak görülmemelidir. Evrim Ağacı'ndaki hiçbir içerik; profesyonel bir hekim tarafından verilen tıbbi tavsiyelerin, konulan bir teşhisin veya önerilen bir tedavinin yerini alacak biçimde kullanılmamalıdır.
- Türkçe Adı Donovanoz
- İngilizce Adı Granuloma Inguinale (Donovanosis)
- Latince Adı Donovanosis
- OrphaNet
Bu Makalede Neler Öğreneceksiniz?
- Identify Donovanoz as a sexually transmitted infection caused by Klebsiella granulomatis, prevalent in low socioeconomic regions like Asia and Africa.
- Recognize symptoms including painless genital lumps, pigmentation changes, lesions, fever, and ulcers appearing 1 to 12 weeks after bacterial contact.
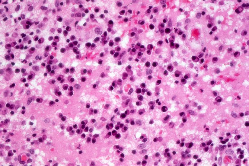
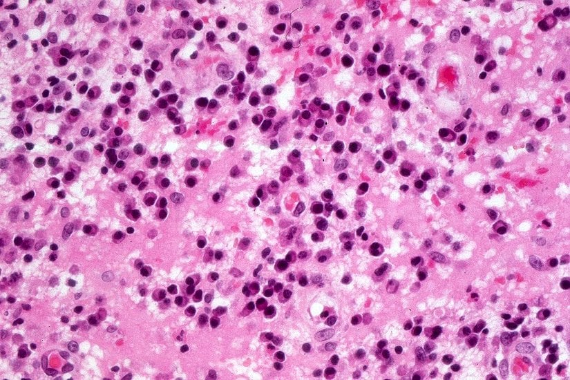
- Diagnose Donovanoz via physical exam, patient history, and detection of Donovan bodies from ulcer smears or biopsies, treating with antibiotics such as erythromycin or azithromycin.
Genel Bilgiler: Patoloji ve Mekanizma
Donovanoz, bir diğer adı ile "Granüloma inguinale" hijyen ortamının sağlanamadığı, sağlıksız beslenmenin hakim olduğu Asya ve Afrika gibi sosyoekonomik düzeyi diğer kıtalara göre düşük olan bölgelerde sıklıkla görülen, genellikle cinsel yolla bulaşan Klebsiella granulomatis türü bakterinin yol açtığı bir enfeksiyondur.
Belirti ve Bulgular
Enfeksiyon gelişmiş bir kişide genellikle belirtiler bakteri ile temastan 1 ile 12 hafta arasında görülmeye başlar. Bu temas beraberinde birçok belirti getirir. Bu belirtiler arasında başlıca semptomlar şunlardır:
- Kasıklarda ve genital bölgede küçük, kırmızı ve ağrısız yumrular,
- Genital bölge ve çevresinde değişen pigmentasyon,
- Anal bölgede lezyonlar,
- Yüksek ateş ve titreme,
- Genital bölgede ülserler.
Genital bölge ve çevresinde oluşan ağrısız yumrular eğer hastalık tedavi edilmezse, yayılarak ilerler ve akıntılı, iltihaplı yaralara dönüşerek geri dönüşü olmayan doku hasarlarına sebep olabilir. Semptomları genellikle diğer cinsel yolla bulaşan hastalıklardan bel soğukluğu ve genital kanserler ile karışabilmektedir.
Hastalıkla İlişkili Genler, Etken Faktörler ve Risk Faktörleri
Donovanoz, sıklıkla anal, vajinal ve oral seks yolu ile bulaşır. Nadiren cilt teması ile bulaşan vakalar raporlanmıştır. 20-40 yaş aralığındaki cinsel olarak aktif olan bireylerin bu hastalığa yakalanma oranı diğer yaş gruplarına oranla daha fazla olduğu gözlemlenmiştir. Büyük ihtimalle cinsel olarak aktif döneme denk geldiği için.
Erkek bireylerde kadınlardan daha fazla vakaya rastlanmıştır. Granüloma inguinale enfeksiyonuna sahip annenin, vajinal doğum esnasında bebeğine de bu enfeksiyonu bulaştırdığı gözlemlenmiştir. Sık partner değiştirme, hijyen ortamının sağlanamadığı ortamlarda cinsel birliktelikler, bilinçsiz ve korunmasız seks de en büyük risk faktörleri arasındadır.

Teşhis Yöntemleri
Fizik muayene ve anamnez (hasta hikayesi) ile cinsel yolla bulaşan hastalıktan şüphe edilir. Ülser alanından alınan smear veya biyopsi örneklerinde donovan cisimciklerinin gösterilmesiyle tanı konur. Hastadan alınan kan, kültür ve doku örnekleri de enfeksiyonu desteklemede büyük rol oynar.
Tedaviler veya İdare Yöntemleri
Klebsiella granulomatis adlı bakterinin sebep olduğu Granüloma inguinale enfeksiyonu bakteriyel bir enfeksiyon olduğu için tedavisinde genellikle Eritromisin, Streptomisin, Siprofloksasin, Azitromisin vb. etken maddeli antibiyotiklerden yararlanılır.
Müddet Tahminleri (Prognoz)
Donovanoz enfeksiyonu bakteri ile temastan kısa bir süre sonra belirti göstermeye başlar. Tedaviye başlandığında ise kısa bir süre sonra hastalığın semptomları azalır ve yok olur. Tedavi süresince kullanılan antibiyotiklerin, semptomlar kaybolduktan sonra bırakılmaması, doktorunuzun reçetede belirttiği, önerdiği süre boyunca kullanılması, enfeksiyondan tamamen kurtulma oranını artıracak ve tekrar bu hastalığa yakalanma riskini de ciddi ölçüde azaltacaktır.
Görülme Sıklığı ve Dağılımı (Epidemiyoloji)
Donovanoz genellikle sosyoekonomik düzeyi düşük, çok partnerli ilişkilerin yoğun olduğu, tropikal kuşakta yer alan ülkelerin erkeklerinde, kadınlara nazaran iki kat daha fazla görülmektedir. Ayrıca bu ülkelere seyahat eden ve cinsel temasta bulunan kişilerde de bulaş riski oldukça yüksektir. Bu ülkelere örnekler Güney Afrika, Güney Amerika, Brezilya, Papua Yeni Gine, Güneydoğu Hindistan ve Karayipler'dir.
Önlem Yöntemleri
Bu enfeksiyondan korunmak için birçok yöntem vardır.
- Donovanoz tanısı almış kişi ile cinsel birliktelikte bulunmamak,
- Cinsel ilişkiye girilen ortamın temiz ve hijyenik olması,
- Kondom, prezervatif vb. bariyer yöntemler ile korunmak,
Bu hastalığın önlenmesi ve bulaşma riskinin düşmesi konusunda ciddi ölçüde fayda sağlayacaktır.
Evrim Ağacı'nda tek bir hedefimiz var: Bilimsel gerçekleri en doğru, tarafsız ve kolay anlaşılır şekilde Türkiye'ye ulaştırmak. Ancak tahmin edebileceğiniz gibi Türkiye'de bilim anlatmak hiç kolay bir iş değil; hele ki bir yandan ekonomik bir hayatta kalma mücadelesi verirken...
O nedenle sizin desteklerinize ihtiyacımız var. Eğer yazılarımızı okuyanların %1'i bize bütçesinin elverdiği kadar destek olmayı seçseydi, bir daha tek bir reklam göstermeden Evrim Ağacı'nın bütün bilim iletişimi faaliyetlerini sürdürebilirdik. Bir düşünün: sadece %1'i...
O %1'i inşa etmemize yardım eder misiniz? Evrim Ağacı Premium üyesi olarak, ekibimizin size ve Türkiye'ye bilimi daha etkili ve profesyonel bir şekilde ulaştırmamızı mümkün kılmış olacaksınız. Ayrıca size olan minnetimizin bir ifadesi olarak, çok sayıda ayrıcalığa erişim sağlayacaksınız.
Makalelerimizin bilimsel gerçekleri doğru bir şekilde yansıtması için en üst düzey çabayı gösteriyoruz. Gözünüze doğru gelmeyen bir şey varsa, mümkünse güvenilir kaynaklarınızla birlikte bize ulaşın!
Bu makalemizle ilgili merak ettiğin bir şey mi var? Buraya tıklayarak sorabilirsin.
Soru & Cevap Platformuna Git- 6
- 4
- 4
- 4
- 3
- 2
- 2
- 2
- 1
- 1
- 0
- 0
- CDC. Granuloma Inguinale (Donovanosis) - 2015 Std Treatment Guidelines. (21 Temmuz 2021). Alındığı Tarih: 28 Temmuz 2021. Alındığı Yer: CDC | Arşiv Bağlantısı
- Medline. Donovanosis (Granuloma Inguinale): Medlineplus Medical Encyclopedia. Alındığı Tarih: 28 Temmuz 2021. Alındığı Yer: Medline Plus | Arşiv Bağlantısı
- N. O’Farrell. (2002). Donovanosis. Sexually Transmitted Infections, sf: 452-457. doi: 10.1136/sti.78.6.452. | Arşiv Bağlantısı
- Doruk Wordpress Teması. Donovanoz (Granüloma İnguinale) Nedir, Nasıl Anlaşılır? | Saglik12.Com. (9 Aralık 2019). Alındığı Tarih: 28 Temmuz 2021. Alındığı Yer: Doruk Wordpress Teması | Arşiv Bağlantısı
- Scielo. Donovanosis Infection. Alındığı Tarih: 28 Temmuz 2021. Alındığı Yer: Scielo | Arşiv Bağlantısı
- Emedicine. Granuloma Inguinale (Donovanosis): Background, Pathophysiology, Epidemiology. Alındığı Tarih: 28 Temmuz 2021. Alındığı Yer: Emedicine | Arşiv Bağlantısı
Evrim Ağacı'na her ay sadece 1 kahve ısmarlayarak destek olmak ister misiniz?
Şu iki siteden birini kullanarak şimdi destek olabilirsiniz:
kreosus.com/evrimagaci | patreon.com/evrimagaci
Çıktı Bilgisi: Bu sayfa, Evrim Ağacı yazdırma aracı kullanılarak 10/10/2025 06:48:00 tarihinde oluşturulmuştur. Evrim Ağacı'ndaki içeriklerin tamamı, birden fazla editör tarafından, durmaksızın elden geçirilmekte, güncellenmekte ve geliştirilmektedir. Dolayısıyla bu çıktının alındığı tarihten sonra yapılan güncellemeleri görmek ve bu içeriğin en güncel halini okumak için lütfen şu adrese gidiniz: https://evrimagaci.org/s/10775
İçerik Kullanım İzinleri: Evrim Ağacı'ndaki yazılı içerikler orijinallerine hiçbir şekilde dokunulmadığı müddetçe izin alınmaksızın paylaşılabilir, kopyalanabilir, yapıştırılabilir, çoğaltılabilir, basılabilir, dağıtılabilir, yayılabilir, alıntılanabilir. Ancak bu içeriklerin hiçbiri izin alınmaksızın değiştirilemez ve değiştirilmiş halleri Evrim Ağacı'na aitmiş gibi sunulamaz. Benzer şekilde, içeriklerin hiçbiri, söz konusu içeriğin açıkça belirtilmiş yazarlarından ve Evrim Ağacı'ndan başkasına aitmiş gibi sunulamaz. Bu sayfa izin alınmaksızın düzenlenemez, Evrim Ağacı logosu, yazar/editör bilgileri ve içeriğin diğer kısımları izin alınmaksızın değiştirilemez veya kaldırılamaz.