İklim Değişikliğini Durdurabilecek Mutant Bakteri
Synechococcus elongatus’un bu güçlü mutantı Chonkus , diğer türlere göre daha fazla karbon depoluyor ve daha hızlı batıyor

- Blog Yazısı
Sıradan okyanus canlıları, oksijen üreten organizmalar bir kenara çekilsin: Şehirde yeni, yeşil ve güçlü bir mutant var.
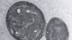
Araştırmacılar tarafından “Chonkus” olarak adlandırılan heybetli UTEX 3222, insanlığın en acil sorunlarından bazılarıyla mücadelede doğru özelliklerin birleşimine sahip olabilir. Özellikle Chonkus, iklim değişikliğiyle mücadeleye katkı sağlayabilir. Bu potansiyeli, Harvard Wyss Enstitüsü'nde daha önce görev yapan ve şimdi bir girişim başlatan mikrobiyolog Max Schubert ve meslektaşları, 29 Ekim’de *Applied and Environmental Microbiology* dergisinde yayımlanan çalışmalarında rapor ediyor. Chonkus, İtalya’nın Vulcano Adası’nın açıklarında, güneş ışığı alan sığ sularda keşfedildi; burada volkanik gaz bakımından zengin yer altı suları denize sızıyor. Schubert ve meslektaşları, bu bölgeyi fotosentez yapan, karbon tüketen mikroplar için verimli bir alan olabileceğini düşündüler. O sızıntılardan toplanan suların, dünya genelinde okyanus gıda zincirinin temelinde bulunan bir tür fotosentez yapan bakteri olan *Synechococcus elongatus*’un kendiliğinden oluşmuş mutant bir türünü içerdiği ortaya çıktı.
*S. elongatus*, hızlı büyüme ve çevresel stres faktörlerine karşı dayanıklılığı nedeniyle laboratuvarlarda sıkça tercih edilen bir organizmadır. Araştırma ekibi, Chonkus'un ise bu türün adeta süper güçlere sahip bir versiyonu olduğunu buldu. Mutant tür laboratuvarda kültüre edildiğinde, bireysel hücrelerinin diğer hızlı büyüyen siyanobakterilere göre daha büyük olduğu ve daha büyük koloniler oluşturduğu gözlemlendi. Ayrıca, Chonkus’un hücrelerinde, diğer *S. elongatus* türlerinden daha fazla karbonun, hücre içindeki beyaz granüllerde depolandığı görüldü. Bu tür aynı zamanda ağırdı: Test tüpüne konulduğunda siyanobakteri hızla dibe çöktü ve yoğun bir çamur tabakası oluşturdu. Araştırmacılar, Chonkus'un bu özelliklerinin onu okyanusta karbon tutma konusunda özellikle etkili hale getirebileceğini öne sürüyor. Sıradan siyanobakterilere göre çok daha fazla karbon emme kapasitesine sahip olmasının yanı sıra hızla dibe çöküyor, bu da karbonu atmosferden hızla uzaklaştırabileceği anlamına geliyor.
Chonkus’un keşfi, karbon dioksit açısından zengin sızıntıların bulunduğu okyanus sularında nadir ve potansiyel olarak yararlı başka organizmaların da bulunabileceğine işaret ediyor; bu organizmalar arasında, denizel karbon dioksit giderimine yardımcı olabilecek diğer türler de yer alabilir. Araştırmacılar, iklim değişikliğinin en kötü etkilerini geciktirme söz konusu olduğunda, bu tür organizmaların bizim hak ettiğimiz kahramanlar olmayabileceğini, ancak ihtiyaç duyduğumuz kahramanlar olabileceklerini söylüyorlar.
- 2
- 2
- 2
- 1
- 1
- 0
- 0
- 0
- 0
- 0
- 0
- 0
- Max G. Schubert. Cyanobacteria Newly Isolated From Marine Volcanic Seeps Display Rapid Sinking And Robust, High-Density Growth. Alındığı Tarih: 8 Kasım 2024. Alındığı Yer: journals asm | Arşiv Bağlantısı
Evrim Ağacı'na her ay sadece 1 kahve ısmarlayarak destek olmak ister misiniz?
Şu iki siteden birini kullanarak şimdi destek olabilirsiniz:
kreosus.com/evrimagaci | patreon.com/evrimagaci
Çıktı Bilgisi: Bu sayfa, Evrim Ağacı yazdırma aracı kullanılarak 02/10/2025 14:49:08 tarihinde oluşturulmuştur. Evrim Ağacı'ndaki içeriklerin tamamı, birden fazla editör tarafından, durmaksızın elden geçirilmekte, güncellenmekte ve geliştirilmektedir. Dolayısıyla bu çıktının alındığı tarihten sonra yapılan güncellemeleri görmek ve bu içeriğin en güncel halini okumak için lütfen şu adrese gidiniz: https://evrimagaci.org/s/18953
İçerik Kullanım İzinleri: Evrim Ağacı'ndaki yazılı içerikler orijinallerine hiçbir şekilde dokunulmadığı müddetçe izin alınmaksızın paylaşılabilir, kopyalanabilir, yapıştırılabilir, çoğaltılabilir, basılabilir, dağıtılabilir, yayılabilir, alıntılanabilir. Ancak bu içeriklerin hiçbiri izin alınmaksızın değiştirilemez ve değiştirilmiş halleri Evrim Ağacı'na aitmiş gibi sunulamaz. Benzer şekilde, içeriklerin hiçbiri, söz konusu içeriğin açıkça belirtilmiş yazarlarından ve Evrim Ağacı'ndan başkasına aitmiş gibi sunulamaz. Bu sayfa izin alınmaksızın düzenlenemez, Evrim Ağacı logosu, yazar/editör bilgileri ve içeriğin diğer kısımları izin alınmaksızın değiştirilemez veya kaldırılamaz.