Bebeklikten Yetişkinliğe Ellerimizin X-Işını Görüntüsü ve Kemik Yaşı

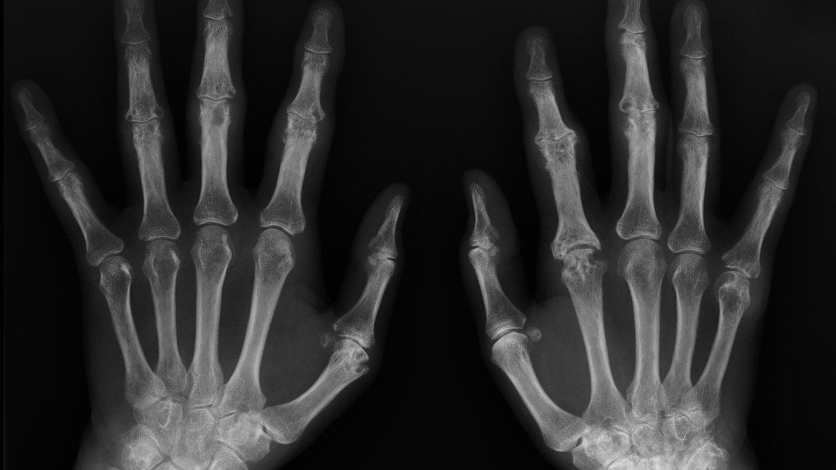
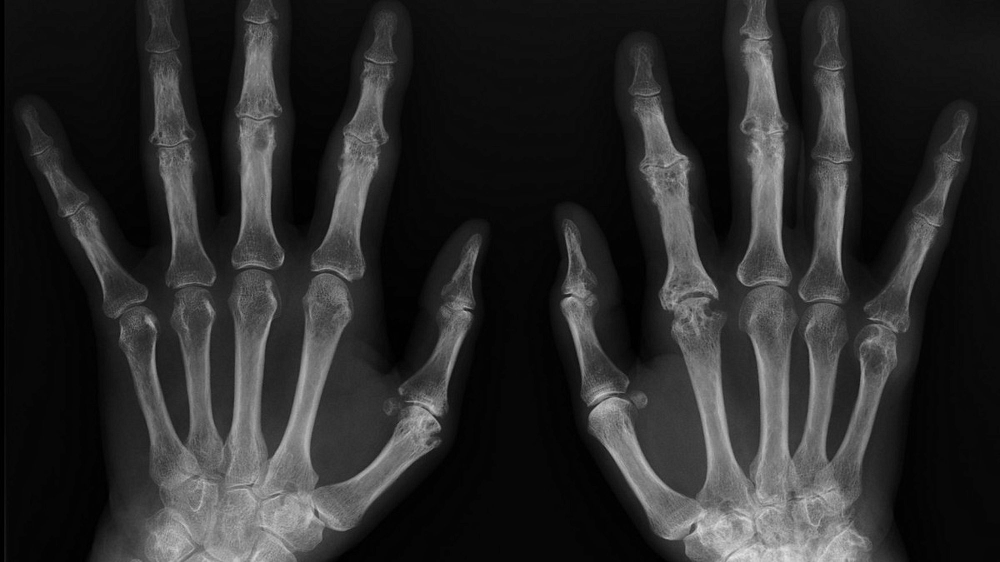
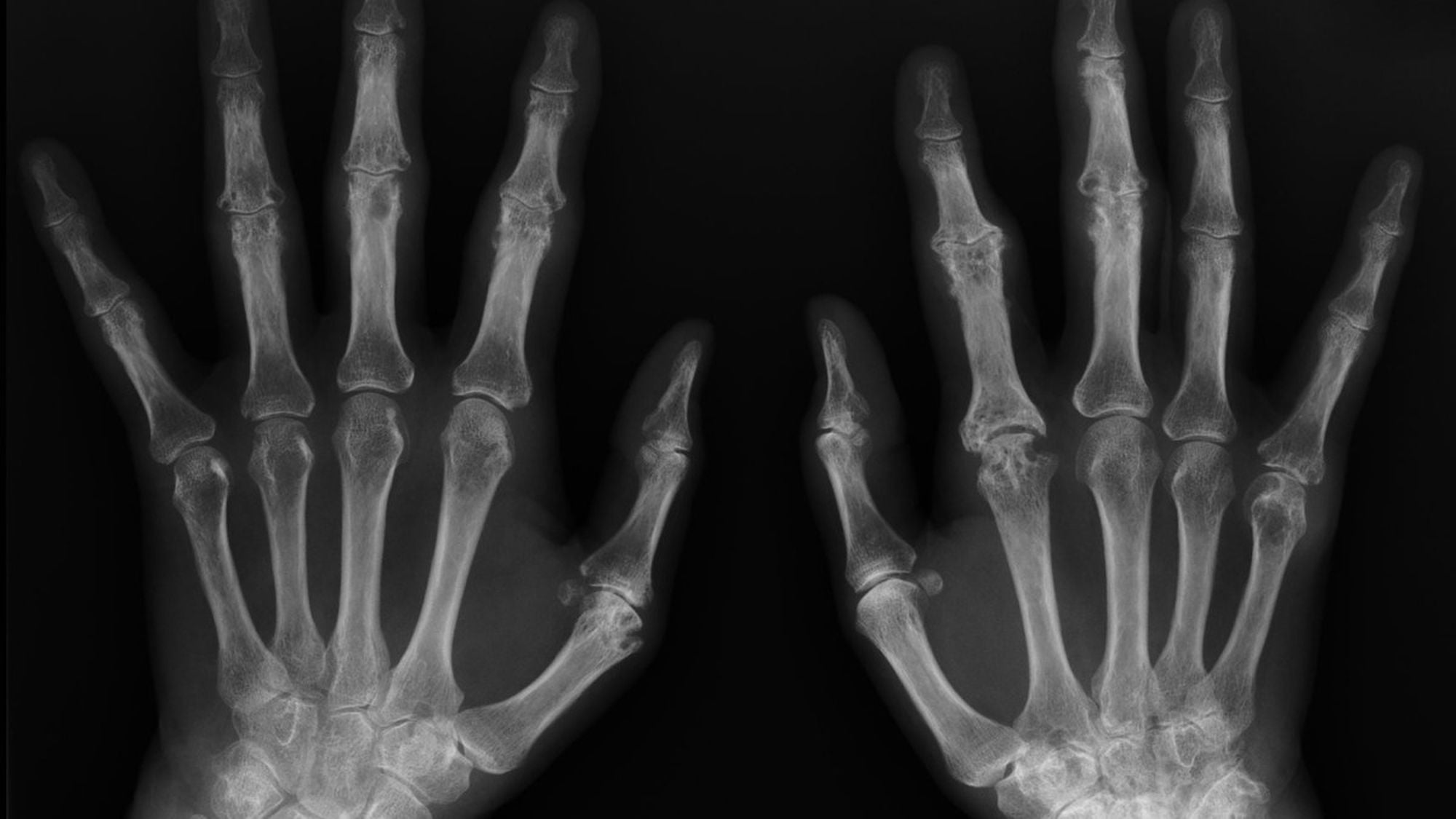
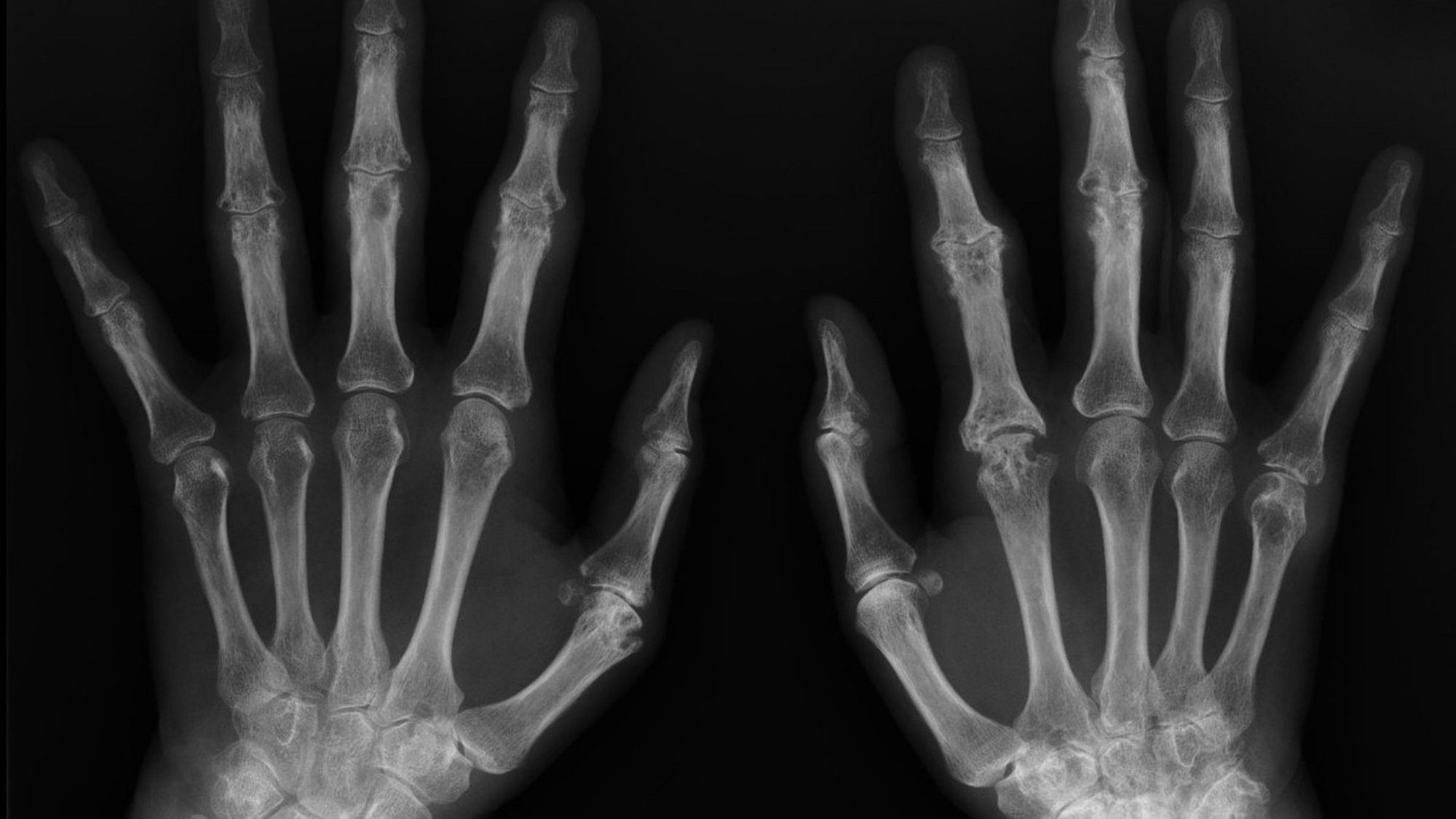
Aşağıda gördüğünüz, bir insanın bebekliğinden yetişkinliğine kadar farklı zamanlarda çekilmiş ellerine ait X-Işını Taraması (X-Ray) görüntüleridir.

Bir çocuğun kemiklerinin uçlarında (örneğin parmak ve bilek kemiklerinin uçlarında) "büyüme bölgeleri" olarak da bilinen "büyüme plakaları" bulunur. Bu bölgelerde kemiklerin boylamasına uzamasını sağlayan özelleşmiş hücreler vardır. Bu büyüme plakalarını X-Işını Taraması altında görmek kolaydır, çünkü daha yumuşak yapılıdırlar ve içeriklerinde daha az mineral vardır. Bu da, X-Işını altında diğer dokulara göre daha koyu gözükmelerine neden olur. Görselde, "A" olarak işaretlenmiş fotoğraftaki kemikler arası siyah boşluk bundan kaynaklanır.
Çocuklar büyüdükçe, büyüme plakalarının görünümü de değişir. Giderek daha ince hale gelirler, buna bağlı olarak X-Işını Taraması'nda daha beyaz (yani diğer kemikler gibi) gözükürler ve hatta sonunda tamamen görünmez bile olabilirler. Artık büyük oranda veya tamamen yok olmuş bu plakalara "kapanmış büyüme plakaları" adı verilir. Her bir yaşta farklı gözüktükleri için, sadece kemiklere ve büyüme plakalarına bakarak bir insanın kemik yaşı belirlenebilir. Bunun için doktorlar bir kemik atlasına başvururlar ve söz konusu bireyin plakalarının görünümünün atlastaki hangi kemik yaşına ("iskelet yaşı" olarak da bilinir) denk geldiğini tespit ederler. Böylece bireyin yaşı belirlenebilir.
Bir çocuğun kemik yaşı ile kronolojik yaşı (bizim basitçe "yaş" olarak bildiğimiz versiyonu) arasında eğer ki fark tespit edilirse, ortada bir kemik veya gelişim problemi olduğundan kuşkulanılabilir. Ancak bu mutlaka bir uzman tarafından analiz edilmelidir; zira kimi zaman sağlıklı bireylerde de kronolojik yaş ile kemik yaşı arasında farklılıklar görülebilir.
Evrim Ağacı'nda tek bir hedefimiz var: Bilimsel gerçekleri en doğru, tarafsız ve kolay anlaşılır şekilde Türkiye'ye ulaştırmak. Ancak tahmin edebileceğiniz gibi Türkiye'de bilim anlatmak hiç kolay bir iş değil; hele ki bir yandan ekonomik bir hayatta kalma mücadelesi verirken...
O nedenle sizin desteklerinize ihtiyacımız var. Eğer yazılarımızı okuyanların %1'i bize bütçesinin elverdiği kadar destek olmayı seçseydi, bir daha tek bir reklam göstermeden Evrim Ağacı'nın bütün bilim iletişimi faaliyetlerini sürdürebilirdik. Bir düşünün: sadece %1'i...
O %1'i inşa etmemize yardım eder misiniz? Evrim Ağacı Premium üyesi olarak, ekibimizin size ve Türkiye'ye bilimi daha etkili ve profesyonel bir şekilde ulaştırmamızı mümkün kılmış olacaksınız. Ayrıca size olan minnetimizin bir ifadesi olarak, çok sayıda ayrıcalığa erişim sağlayacaksınız.
Makalelerimizin bilimsel gerçekleri doğru bir şekilde yansıtması için en üst düzey çabayı gösteriyoruz. Gözünüze doğru gelmeyen bir şey varsa, mümkünse güvenilir kaynaklarınızla birlikte bize ulaşın!
Bu makalemizle ilgili merak ettiğin bir şey mi var? Buraya tıklayarak sorabilirsin.
Soru & Cevap Platformuna Git- 6
- 3
- 2
- 0
- 0
- 0
- 0
- 0
- 0
- 0
- 0
- 0
- Y. Durani. X-Ray Exam: Bone Age Study. (1 Mayıs 2014). Alındığı Tarih: 28 Şubat 2019. Alındığı Yer: Kid's Health | Arşiv Bağlantısı
Evrim Ağacı'na her ay sadece 1 kahve ısmarlayarak destek olmak ister misiniz?
Şu iki siteden birini kullanarak şimdi destek olabilirsiniz:
kreosus.com/evrimagaci | patreon.com/evrimagaci
Çıktı Bilgisi: Bu sayfa, Evrim Ağacı yazdırma aracı kullanılarak 09/10/2025 03:26:09 tarihinde oluşturulmuştur. Evrim Ağacı'ndaki içeriklerin tamamı, birden fazla editör tarafından, durmaksızın elden geçirilmekte, güncellenmekte ve geliştirilmektedir. Dolayısıyla bu çıktının alındığı tarihten sonra yapılan güncellemeleri görmek ve bu içeriğin en güncel halini okumak için lütfen şu adrese gidiniz: https://evrimagaci.org/s/3447
İçerik Kullanım İzinleri: Evrim Ağacı'ndaki yazılı içerikler orijinallerine hiçbir şekilde dokunulmadığı müddetçe izin alınmaksızın paylaşılabilir, kopyalanabilir, yapıştırılabilir, çoğaltılabilir, basılabilir, dağıtılabilir, yayılabilir, alıntılanabilir. Ancak bu içeriklerin hiçbiri izin alınmaksızın değiştirilemez ve değiştirilmiş halleri Evrim Ağacı'na aitmiş gibi sunulamaz. Benzer şekilde, içeriklerin hiçbiri, söz konusu içeriğin açıkça belirtilmiş yazarlarından ve Evrim Ağacı'ndan başkasına aitmiş gibi sunulamaz. Bu sayfa izin alınmaksızın düzenlenemez, Evrim Ağacı logosu, yazar/editör bilgileri ve içeriğin diğer kısımları izin alınmaksızın değiştirilemez veya kaldırılamaz.