Aslında soru başlı başına hatalı. Zira myelin kılıf dediğimiz yapı bazı hücrelerin direkt olarak aksonlar üzerine kıvrılması ile oluşur. Bu sebeple yapıları normal bir hücre ile benzerdir. İçerisinde su, pek çok lipit çeşidi, proteinler, mineraller bulunur.
Myelin kılıfları; merkezi sinir sisteminde oligodentrositler, çevresel sinir sisteminde ise schwann hücreleri üretir.
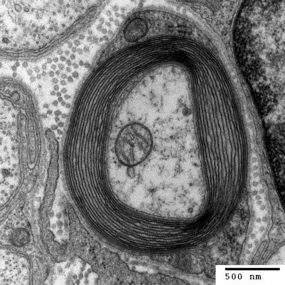
/old/qna_media/f9582c863ad2bbb3dd32774bcc66273c.jpg)
Görsel 1'de bir aksonun enine kesilmiş halini görülüyor. Bu, bir ağacın gövdesi gibi düşübebilir. Aksonun etrafında kat kat gözüken zarlar myelin kılıf oluyor. En tepede bu myelin kılıfı yapan schwann hücresinin çekirdeği bulunuyor.
Özetlemek gerekirse soru tamamıyla hatalı. Ancak eğitim sistemimizde bu tip hatalar ile sıklıkla karşılaşıyoruz. Bu konuda yapılması gereken en doğru şey, bu yanlış bilgilerin doğrusunu öğrenip malesef eğitim sistemindeki sınavlarda bu yanlışların bilincinde hareket etmek.
Kaynaklar
- J. E. Hall, et al. (2016). Guyton Ve Hall Tıbbi Fizyoloji. ISBN: 978-1-4557-7005-2. Yayınevi: Elsevier. sf: 71-72.