Keşfedin, Öğrenin ve Paylaşın
Evrim Ağacı'nda Aradığın Her Şeye Ulaşabilirsin!
Paylaşım Yap
1,000 ATP Ödüllü Soru: CRISPR Teknolojisi hakkında ne düşünüyorsunuz? Hemen cevapla! 500 ATP Ödüllü Soru: Evrendeki dairesel hareketler ile zaman olgusunun oluşumu arasında bağlantı var mıdır? Hemen cevapla!
Keşfet
Akış
İçerikler
Gündem
Gönderiler
Avrupa
Memeli
Coğrafya
Balıklar
Kadın Doğum
Renk
Protein
Patojen
Değişim
İnsan Sağlığı
Deniz
Meteor
Kertenkele
Bilim Tarihi
Hominidae
Elektrokimya
Toprak
Beslenme Biçimi
Astrofotoğrafçılık
Kaygı
Bilgisayar
Mikrop
Yıl
Doğa Gözlemleri
Hastalık Yayılımı
Aklımdan Geçen
Komünite Seç
Aklımdan Geçen
Fark Ettim ki...
Bugün Öğrendim ki...
İşe Yarar İpucu
Bilim Haberleri
Hikaye Fikri
Video Konu Önerisi
Başlık
Bugün bilimseverlerle ne paylaşmak istersin?
Güncel Bilim Haberleri
Bağlantı
Ekle
Soru Sor
Stiller
Kurallar
Komünite Kuralları
Bu komünite, aklınızdan geçen düşünceleri Evrim Ağacı ailesiyle paylaşabilmeniz içindir. Yapacağınız paylaşımlar Evrim Ağacı'nın kurallarına tabidir. Ayrıca bu komünitenin ek kurallarına da uymanız gerekmektedir.
1
Bilim kimliğinizi önceleyin.
Evrim Ağacı bir bilim platformudur. Dolayısıyla aklınızdan geçen her şeyden ziyade, bilim veya yaşamla ilgili olabilecek düşüncelerinizle ilgileniyoruz.
2
Propaganda ve baskı amaçlı kullanmayın.
Herkesin aklından her şey geçebilir; fakat bu platformun amacı, insanların belli ideolojiler için propaganda yapmaları veya başkaları üzerinde baskı kurma amacıyla geliştirilmemiştir. Paylaştığınız fikirlerin değer kattığından emin olun.
3
Gerilim yaratmayın.
Gerilim, tersleme, tahrik, taciz, alay, dedikodu, trollük, vurdumduymazlık, duyarsızlık, ırkçılık, bağnazlık, nefret söylemi, azınlıklara saldırı, fanatizm, holiganlık, sloganlar yasaktır.
4
Değer katın; hassas konulardan ve öznel yoruma açık alanlardan uzak durun.
Bu komünitenin amacı okurlara hayatla ilgili keyifli farkındalıklar yaşatabilmektir. Din, politika, spor, aktüel konular gibi anlık tepkilere neden olabilecek konulardaki tespitlerden kaçının. Ayrıca aklınızdan geçenlerin Türkiye’deki bilim komünitesine değer katması beklenmektedir.
5
Cevap hakkı doğurmayın.
Aklınızdan geçenlerin bu platformda bulunmuyor olabilecek kişilere cevap hakkı doğurmadığından emin olun.
Size Özel
Makaleler
Rastgele Soru
Ece Müker
Ece Müker
625.3K UP
19 Kasım 2024
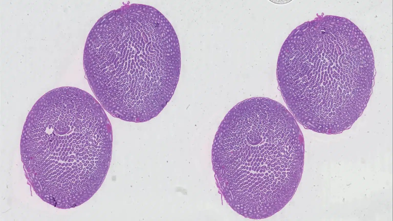
Washington Eyalet Üniversitesi'nden bilim insanları, gigapiksel histopatoloji görüntülerinde hastalık belirtilerini hızlı ve doğru bir şekilde tespit edebilen bir yapay zeka modeli geliştirdi. Bu derin öğrenme tabanlı sistem, insan hatalarını azaltarak enfeksiyonlar ve kanser gibi hastalıkların teşhisini haftalar içinde gerçekleştirebiliyor. Karmaşık doku yapılarında insan gözünden kaçan patolojileri bile tespit edebilen model, tıbbi araştırmaların hızını ve doğruluğunu artırarak sağlık alanında devrim yaratma potansiyeline sahip.
167 görüntülenme
Bu gönderi Evrim Ağacı tarafından öne çıkarılmıştır.
4
0 Yorum
  • Şikayet Et
  • Mantık Hatası
0
  • Paylaş
  • Alıntıla
  • Alıntıları Göster
Gündem
Güncel Bilim Haberleri
Ece Müker
Ece Müker
625.3K UP
2 saat önce
Physical Review B dergisinde yayımlanan yeni bir UC Santa Barbara çalışması, mikroelektronik cihazların zamanla neden yavaşça bozulduğunu açıklayan ve onlarca yıldır çözülemeyen kuantum mekanizmasını ilk kez ortaya koyuyor.
 
Her transistörün kalbinde silikon-oksit ara yüzüne yakın silikon-hidrojen bağları bulunuyor. Üretim sırasında silikon'daki kırık bağları "kapatmak" için kasıtlı olarak eklenen hidrojen, zamanla transistörden geçen yüksek enerjili "sıcak elektronlar" tarafından yerinden ediliyor ve kırık bağlar yeniden ortaya çıkıyor. Bu süreç "sıcak taşıyıcı bozunması" olarak biliniyor.
 
Alandaki yerleşik görüşe göre bu hasarın birikmesi için birçok elektronun art arda aynı bağa çarpması gerekiyordu. Ancak Prof. Chris Van de Walle liderliğindeki ekip, ileri kuantum simülasyonlarıyla bunun aslında tek bir elektronun tetiklediği bir olay olduğunu kanıtladı. Buna ek olarak hidrojenin bu süreçte klasik bir parçacık gibi değil, olasılık dalgaları biçiminde davrandığı da gösterildi.
 
Bu model, yıllardır açıklanamayan birçok deneysel gözlemi de çözüme kavuşturdu: Hasarın neden yaklaşık 7 elektron-volt enerji seviyesinde en yoğun yaşandığı, neden sıcaklıktan bağımsız olduğu ve hidrojen yerine döteryum kullanıldığında sürecin neden 100 kat yavaşladığı artık anlaşılmış durumda.
 
Araştırmacılar, geliştirdikleri kuantum çerçevesinin silikon teknolojisinin ötesine geçerek LED'ler ve güç elektroniği gibi alanlarda kullanılan yarı iletkenlerin daha uzun ömürlü tasarlanmasına da rehberlik edebileceğini belirtiyor.

Bu gönderi Evrim Ağacı tarafından öne çıkarılmıştır.
2
0 Yorum
  • Şikayet Et
  • Mantık Hatası
0
  • Paylaş
  • Alıntıla
  • Alıntıları Göster
Ece Müker
Ece Müker
625.3K UP
2 saat önce
Nobel ödüllü teorik fizikçi David Gross, Live Science'a verdiği röportajda insanlığın önündeki en büyük engelin artık bilimsel değil, varoluşsal nitelikte olduğunu söyledi. UC Santa Barbara'da profesör olan ve yakın zamanda 3 milyon dolarlık Özel Atılım Ödülü'nü (Special Breakthrough Prize in Fundamental Physics) kazanan Gross, zamanının bir bölümünü insanları nükleer savaş başta olmak üzere küresel tehlikeler konusunda uyarmaya ayırdığını belirtti.
 
Gross'a göre, fiziğin "kutsal kâsesi" olarak nitelendirilen tüm kuvvetlerin birleşik teorisine —kuantum yerçekimini diğer üç temel kuvvetle buluşturan bir çerçeveye— ulaşmak yalnızca bilimsel bir sorun değil; aynı zamanda insanlığın bunu görecek kadar uzun yaşayıp yaşayamayacağı sorusuna da bağlı.
 
Gross, 1970'lerde Frank Wilczek ve H. David Politzer ile birlikte geliştirdiği "asimptotik özgürlük" ilkesiyle tanınıyor. Bu keşif, kuarklar arasındaki kuvvetin birbirine yaklaştıkça zayıfladığını ortaya koyarak kuantum renk dinamiğinin temel taşı haline geldi ve güçlü, zayıf ve elektromanyetik kuvvetlerin tek bir çerçevede ele alınmasını mümkün kıldı. Ardından Gross, kalan en büyük sorunu çözmek için sicim teorisi araştırmalarına yöneldi; ancak bu teorilerin test edilebilmesi için gereken ölçekler bugünkü deneysel kapasitemizin çok ötesinde.

Bu gönderi Evrim Ağacı tarafından öne çıkarılmıştır.
3
0 Yorum
  • Şikayet Et
  • Mantık Hatası
0
  • Paylaş
  • Alıntıla
  • Alıntıları Göster
Ece Müker
Ece Müker
625.3K UP
3 gün önce
Harvard Üniversitesi’nden David Reich ve Ali Akbari liderliğindeki araştırmacıların Nature dergisinde (16 Nisan 2026) yayımladığı devasa çalışma, insan evriminin tarım devrimiyle birlikte duraksadığına dair yaygın inanışı çürüttü. Yaklaşık 16.000 antik insan kalıntısı ve 6.000 modern bireyin DNA’sını analiz eden ekip, son 10.000 yılda Batı Avrasya popülasyonlarında evrimin sadece devam etmekle kalmadığını, aynı zamanda hızlandığını kanıtladı.

Çalışma, doğal seçilimin doğrudan etkilediği tam 479 genetik varyant belirledi. Bu, daha önce sadece 21 varyantın (yetişkinlerde süt sindirimi gibi) bilindiği bu alan için devrim niteliğinde bir artış anlamına geliyor.

Araştırma, kızıl saç ve açık tenle ilişkili genlerin 10.000 yıldır aktif olarak seçildiğini gösteriyor. Bilim insanları bunun, güneş ışığının az olduğu kuzey bölgelerinde tarıma geçilmesiyle (ve beslenmedeki vitamin kaynaklarının değişmesiyle) D vitamini sentezini artırmak için geliştirilen bir hayatta kalma avantajı olduğunu belirtiyor.

Çölyak hastalığı riskini artıran genlerin son 4.000 yılda artması ve tüberküloz riskini artıran TYK2 geninin bir dönem yükselip sonra düşmesi, evrimin ilginç "pazarlıklarını" ortaya koyuyor. Bu riskli genlerin, geçmişteki belirli salgın hastalıklara karşı koruma sağladığı için yaygınlaşmış olabileceği düşünülüyor.

Avcı-toplayıcı dönemde kıtlığa karşı avantaj sağlayan yüksek vücut yağı genlerinin, gıdanın daha istikrarlı hale geldiği tarım toplumlarında "negatif seçilime" uğrayarak azalmaya başladığı görüldü.

Veriler; kellik, diyabet ve romatoid artrit riskini düşüren varyantların modern tarihimizde giderek daha yaygın hale geldiğini gösteriyor.

Gelişmiş hesaplama teknikleri sayesinde "evrimi gerçek zamanlı izlememize" olanak tanıyan bu çalışma, modern biyolojimizi şekillendiren güçlerin nerede ve ne zaman devreye girdiğini net bir şekilde ortaya koyuyor. Evrimsel süreçlerin sadece binlerce yıl önce tamamlanmış bir hikaye değil, bugün bile biyolojimizi sessizce yöneten aktif bir mekanizma olduğu bir kez daha teyit edilmiş oldu.

211 görüntülenme
Bu gönderi Evrim Ağacı tarafından öne çıkarılmıştır.
6
0 Yorum
  • Şikayet Et
  • Mantık Hatası
0
  • Paylaş
  • Alıntıla
  • Alıntıları Göster
Ece Müker
Ece Müker
625.3K UP
3 gün önce
Monthly Notices of the Royal Astronomical Society dergisinde yayımlanan yeni bir çalışma, Dünya’dan yaklaşık 500 milyon ışık yılı uzaklıktaki Markarian 501 (Mrk 501) galaksisinin merkezinde, birbirinin etrafında dönen iki süper kütleli kara delik olduğunu ortaya koydu. Astronomlar, bu iki dev nesnenin yaklaşık 100 yıl içinde çarpışarak birleşeceğini öngörüyor.

Araştırmanın öne çıkan detayları şunlardır:

Gizli Jetin Keşfi: Daha önce tek bir "blazar" (aktif galaksi çekirdeği) olduğu düşünülen nesnenin, 83 farklı radyo teleskop veri setinin incelenmesiyle aslında iki ayrı jet püskürttüğü anlaşıldı. Bu jetlerin her birinin, Güneş'in kütlesinin 100 milyon ile 1 milyar katı büyüklüğündeki süper kütleli kara delikler tarafından beslendiği düşünülüyor.

Kozmik Dans ve Einstein Halkası: İki kara deliğin her 121 günde bir birbirinin etrafında tam tur attığı ve aralarındaki mesafenin astronomik ölçekte oldukça yakın olduğu (Dünya-Güneş mesafesinin 250 ila 540 katı) saptandı. Haziran 2022'de gerçekleşen bir hizalanma sırasında, öndeki kara deliğin kütleçekimi arkadaki jetin ışığını bükerek bir "Einstein Halkası" oluşturdu. Bu kütleçekimsel merceklenme olayı, ikili sistem teorisini destekleyen en güçlü kanıtlardan biri oldu.

Dünya’dan Hissedilecek Etki: Bu iki devasa kütle birleştiğinde, evrenin dokusunda (uzay-zaman) şimdiye kadar gözlemlenenlerden çok daha güçlü kütleçekimsel dalgalar yayacak. Bu dalgalar Dünya’daki hassas dedektörler tarafından yakalanabilecek ve kara delik birleşmelerinin fiziğine dair benzersiz bilgiler sunacak.

Bilim insanları, bu "kozmik dansın" bir yüzyıldan kısa bir sürede devasa bir çarpışmayla sonuçlanmasını ve geriye tek bir devasa kara deliğin kalmasını bekliyor. Bu keşif, galaksi merkezlerindeki devlerin nasıl büyüdüğünü ve evrildiğini anlamak adına kritik bir adım olarak görülüyor.

175 görüntülenme
Bu gönderi Evrim Ağacı tarafından öne çıkarılmıştır.
5
0 Yorum
  • Şikayet Et
  • Mantık Hatası
0
  • Paylaş
  • Alıntıla
  • Alıntıları Göster
Ece Müker
Ece Müker
625.3K UP
4 gün önce
Mars’ın kuzey düzlüklerinde bir okyanus olduğu fikri uzun süredir tartışılıyor. Ancak daha önce "kıyı şeridi" olduğu iddia edilen yapıların yüksekliklerinin birbirini tutmaması (kilometrelerce sapma göstermesi), bu teoriye karşı en büyük argümandı. Bu yeni çalışma, bakış açımızı tamamen değiştiriyor.

1. Dünya’dan Bir Ders: Okyanusun Gerçek İmzası

Araştırmacılar, Dünya üzerindeki okyanusların en belirgin topografik işaretinin ince bir kıyı şeridi değil, kıtasal sahanlık adı verilen geniş ve düz bir kuşak olduğunu saptadı. Dünya’da bu sahanlıklar -410 m ile -15 m arasında, çok düşük eğimli ve düz alanlar olarak kendini gösteriyor.

2. Mars'taki Kayıp Sahanlık

Dünya’daki bu "düzlük" analizini Mars topografyasına uygulayan ekip, -1.800 m ile -3.800 m yükseklikler arasında gezegeni çevreleyen, alışılmadık derecede düz bir kuşak keşfetti. Bu alanın, Mars’ın antik okyanusunun kıtasal sahanlığı olduğu düşünülüyor.

3. Destekleyici Kanıtlar

Bu düz kuşağın bir okyanus sahanlığı olduğu teorisi sadece topografya ile değil, diğer verilerle de destekleniyor:

Nehir Deltaları: Daha önce tespit edilen nehir deltaları tam olarak bu sahanlık kuşağının üst sınırında bitiyor.

Zhurong Verileri: Çin'in Zhurong keşif aracının Utopia Planitia'da bulduğu tek yönlü çökel katmanları, Dünya'daki kıyı birikintileriyle büyük benzerlik gösteriyor.

Mineraller: Bu bölgede yaygın olarak bulunan killi katmanlar ve tortul kayaçlar, uzun süreli su varlığına işaret ediyor.

Sonuç ve Gelecek Görevler

Çalışma, Mars okyanusu tartışmasındaki "yükseklik sapması" sorununu çözüyor; çünkü sahanlıklar, milyonlarca yıl süren deniz seviyesi değişimlerini ve tektonik hareketleri bünyesinde toplayan geniş alanlardır. Bu keşif, 2030'da Oxia Planum'a inecek olan Rosalind Franklin roverı için de hedef bölgeyi netleştirmiş oldu.

Mars’ın bir zamanlar okyanuslarla kaplı olduğu fikri, artık sadece bir tahmin değil, topografik olarak haritalandırılmış bir gerçeklik olma yolunda ilerliyor.

229 görüntülenme
Bu gönderi Evrim Ağacı tarafından öne çıkarılmıştır.
4
0 Yorum
  • Şikayet Et
  • Mantık Hatası
0
  • Paylaş
  • Alıntıla
  • Alıntıları Göster
Daha Fazla İçerik Göster
Popüler Yazılar
30 gün
90 gün
1 yıl
Evrim Ağacı'na Destek Ol

Evrim Ağacı'nın %100 okur destekli bir bilim platformu olduğunu biliyor muydunuz? Evrim Ağacı'nın maddi destekçileri arasına katılarak Türkiye'de bilimin yayılmasına güç katın.

Evrim Ağacı'nı Takip Et!
Keşfet
Ara
Yakında
Sohbet
Agora

Bize Ulaşın

ve seni takip ediyor
Türkiye'deki bilimseverlerin buluşma noktasına hoşgeldiniz!

Göster

Şifremi unuttum Üyelik Aktivasyonu

Göster

Şifrenizi mi unuttunuz? Lütfen e-posta adresinizi giriniz. E-posta adresinize şifrenizi sıfırlamak için bir bağlantı gönderilecektir.

Geri dön

Eğer aktivasyon kodunu almadıysanız lütfen e-posta adresinizi giriniz. Üyeliğinizi aktive etmek için e-posta adresinize bir bağlantı gönderilecektir.

Geri dön

Close
"Her şeyi biliyormuşuz gibi davranmak, oralarda bir yerlerde gerçekten neler olduğunu keşfetmemizin yolunu kapatmaktadır."
Neil deGrasse Tyson
Kapak Görseli Seç
Videodan otomatik olarak çıkartılan karelerden birini seçin.
Kareler yükleniyor…
Videoyu kaydırarak istediğiniz kareyi seçin.
0:00 / 0:00
Kendi kapak görselinizi yükleyin. Görsel otomatik olarak kırpılacaktır.
Görseli sürükleyin veya tıklayın PNG, JPG veya WEBP (Maks. 10MB)