Keşfedin, Öğrenin ve Paylaşın
Evrim Ağacı'nda Aradığın Her Şeye Ulaşabilirsin!
Paylaşım Yap
Keşfet
Akış
İçerikler
Gündem
Gönderiler
Moleküler Biyoloji
Virüsler
Abd
Dünya Sağlık Örgütü
Jüpiter
Nörobiyoloji
Entropi
Kuyruksuz Maymun
Karınca
Tüyler
Algoritma
Yavru
Elektron
Atmosfer
Mars
Fotoğraf
Çevre Kirliliği
Moleküler Biyoloji Ve Genetik
Nobel Ödülü
Lgbt
Anksiyete
Nörobilim
Irk
Küresel İklim Değişimi
Pandemi
Aklımdan Geçen
Komünite Seç
Aklımdan Geçen
Fark Ettim ki...
Bugün Öğrendim ki...
İşe Yarar İpucu
Bilim Haberleri
Hikaye Fikri
Video Konu Önerisi
Başlık
Bugün bilimseverlerle ne paylaşmak istersin?
Gündem
Bağlantı
Ekle
Soru Sor
Stiller
Kurallar
Komünite Kuralları
Bu komünite, aklınızdan geçen düşünceleri Evrim Ağacı ailesiyle paylaşabilmeniz içindir. Yapacağınız paylaşımlar Evrim Ağacı'nın kurallarına tabidir. Ayrıca bu komünitenin ek kurallarına da uymanız gerekmektedir.
1
Bilim kimliğinizi önceleyin.
Evrim Ağacı bir bilim platformudur. Dolayısıyla aklınızdan geçen her şeyden ziyade, bilim veya yaşamla ilgili olabilecek düşüncelerinizle ilgileniyoruz.
2
Propaganda ve baskı amaçlı kullanmayın.
Herkesin aklından her şey geçebilir; fakat bu platformun amacı, insanların belli ideolojiler için propaganda yapmaları veya başkaları üzerinde baskı kurma amacıyla geliştirilmemiştir. Paylaştığınız fikirlerin değer kattığından emin olun.
3
Gerilim yaratmayın.
Gerilim, tersleme, tahrik, taciz, alay, dedikodu, trollük, vurdumduymazlık, duyarsızlık, ırkçılık, bağnazlık, nefret söylemi, azınlıklara saldırı, fanatizm, holiganlık, sloganlar yasaktır.
4
Değer katın; hassas konulardan ve öznel yoruma açık alanlardan uzak durun.
Bu komünitenin amacı okurlara hayatla ilgili keyifli farkındalıklar yaşatabilmektir. Din, politika, spor, aktüel konular gibi anlık tepkilere neden olabilecek konulardaki tespitlerden kaçının. Ayrıca aklınızdan geçenlerin Türkiye’deki bilim komünitesine değer katması beklenmektedir.
5
Cevap hakkı doğurmayın.
Aklınızdan geçenlerin bu platformda bulunmuyor olabilecek kişilere cevap hakkı doğurmadığından emin olun.
Size Özel
Makaleler
Rastgele Soru
Ferit Görür
Ferit Görür
154.8K UP
1 saat önce
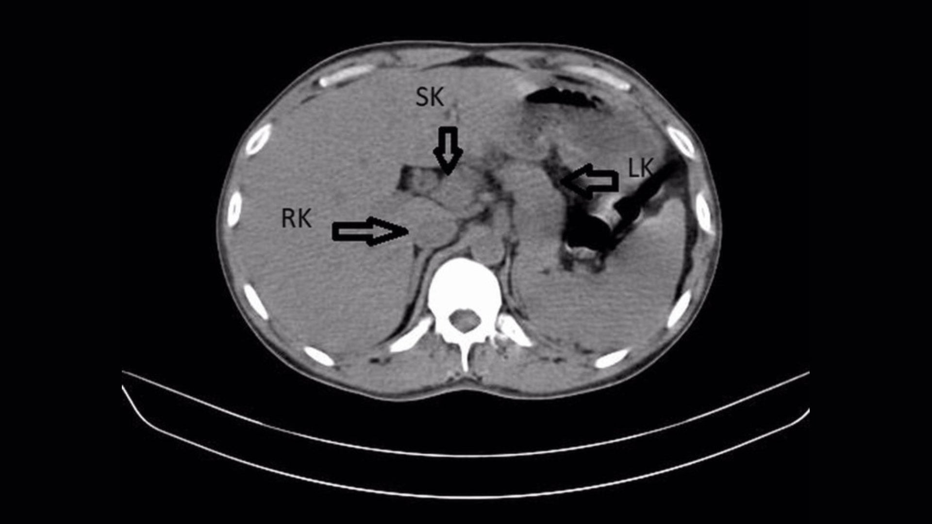
Sıradan bir bel ağrısıyla hastaneye gidip üç böbreğiniz olduğunu öğrenmek epey tuhaf olmalı. Anne karnında böbrekleri oluşturan dokunun beklenmedik şekilde fazladan bölünmesi buna yol açıyor. İşin ilginç yanı, bu gizli organların genelde kusursuz çalışması. Çoğu insan, basit bir taş veya enfeksiyon geçirene dek bunu fark etmiyor. Bu hücresel sapmayı tam olarak neyin tetiklediğini hala bilmiyoruz. Bedenimizin bizden habersiz yedek parça üretip saklayabilmesi çok acayip.
1
0 Yorum
  • Şikayet Et
  • Mantık Hatası
0
  • Paylaş
  • Alıntıla
  • Alıntıları Göster
Elif Elfin Aykanat
22 dakika önce
Çevremde evrimin ne olduğunu anlatmaya başladığımda sanki günah işlemişim gibi davranan insanlar var. Bunun sebebinin onlara hiç sezdirilmeden dayatılan sistemden dolayı olduğunu düşünüyorum. En güzel örnek müfredatlardan evrimin kaldırılması. Halbuki okullarda anlatmaya devam etseler ve insanlar en azından temel düzeyde evrimi anlasalar bize günahkârmışız gibi bakmazlar. Ve evrimin tabiatın gerçeği olduğunu anlarlar
2
0 Yorum
  • Şikayet Et
  • Mantık Hatası
0
  • Paylaş
  • Alıntıla
  • Alıntıları Göster
Arif G.
Arif G.
121.9K UP
4 saat önce
Günün ilk bayramlaşmaları yapıldı. Tabii nerede o eski bayramlar lafımız da eksik kalmasın şimdi. Ama şunu farkettim git gide soğuyoruz insanlardan. Zaten her geçen sürede bir insanlık değerimizi kaybettiğimiz ortada, artık özel günlerde bile insanlara tahammül seviyemizi kontrol edemiyoruz.
Bir zamanlar bayramlar gerçekten bayramdı. Kapı kapı dolaşmak, el öpmek, sofralarda kalabalıklar...
Şimdi o sofraların yerini ekranlar aldı, o kalabalıkların yerini toplu mesajlar. Bayramınız kutlu olsun yazısını kopyalayıp yapıştırıyoruz, karşı taraf da aynısını yapıyor, ikimiz de tatmin olmuş gibi yapıyoruz. Ama içimizde bir yerde bir şeylerin eksik olduğunu hissediyoruz.
Belki de asıl mesele insanlardan soğumak değil, insanlığa olan inancımızı yavaş yavaş yitirmek. Biri samimi davranınca acaba ne istiyor? diye düşünür olduk. Biri sıcak gülümseyince arkasını merak ediyoruz. Güveni bir lüks olarak görmeye başladık, şüpheyi ise bir zeka göstergesi.
Ve ironik olan şu ki tam da bu yüzden o eski bayramları özlüyoruz. Çünkü o günler insanlara olduğu gibi inanabildiğimiz, hesap kitap yapmadan sarılabildiğimiz zamanlardı. Belki kayıp bayramlarda değil belki kayıp o saf, savunmasız halimizde...

1
1 Yorum
  • Şikayet Et
  • Mantık Hatası
0
  • Paylaş
  • Alıntıla
  • Alıntıları Göster
John Doe
5 saat önce
Prachha Jewels is an Ind based online retailer of affordable lab grown diamond jewelry. Prachha Jewels provide IGI & GIA certified diamonds, ethical sourcing, engagement rings and custom designs, serving customers across all locations.
0
0 Yorum
  • Şikayet Et
  • Mantık Hatası
0
  • Paylaş
  • Alıntıla
  • Alıntıları Göster
Cemre Basturk
10 saat önce
biyoloji, moleküler biyoloji ve genetik konuları hakkında kitap önerileri.
merhaba. gelecek sene universite icin hedefim sapienza universitesi molecular biology medicinal chemistry (bölüm adı biraz uzun ben kısa sekilde yazdım). biyoloji ilgimi cekiyor ama hakkında yeterince bilgi sahibi değilim. kitap önerileriniz varsa alabilir miyim?
0
0 Yorum
  • Şikayet Et
  • Mantık Hatası
0
  • Paylaş
  • Alıntıla
  • Alıntıları Göster
Evrim Ağacı
16 saat önce
Evrim Ağacı deneyiminizi daha keyifli hale getirecek yeni güncellemelerimiz yayında!

• Topluluğumuzun yazılarını tek bir yerde toplayan yepyeni blog sayfamızı kullanıma sunduk.
• Arama sistemimizi geliştirdik; artık dizi ve filmleri orijinal isimleriyle de bulabilirsiniz.
• Yorumlardaki etiketleme sistemi ile mobil bildirimlerdeki ufak aksaklıkları giderdik.
• İçerik editörümüzü metin düzenleme ve video ekleme açısından çok daha pratik hale getirdik.

Keyifli okumalar dileriz.
17 görüntülenme
5
0 Yorum
  • Şikayet Et
  • Mantık Hatası
1
  • Paylaş
  • Alıntıla
  • Alıntıları Göster
Daha Fazla İçerik Göster
Popüler Yazılar
30 gün
90 gün
1 yıl
Evrim Ağacı'na Destek Ol

Evrim Ağacı'nın %100 okur destekli bir bilim platformu olduğunu biliyor muydunuz? Evrim Ağacı'nın maddi destekçileri arasına katılarak Türkiye'de bilimin yayılmasına güç katın.

Evrim Ağacı'nı Takip Et!
Keşfet
Ara
Yakında
Sohbet
Agora

Bize Ulaşın

ve seni takip ediyor
Türkiye'deki bilimseverlerin buluşma noktasına hoşgeldiniz!

Göster

Şifremi unuttum Üyelik Aktivasyonu

Göster

Şifrenizi mi unuttunuz? Lütfen e-posta adresinizi giriniz. E-posta adresinize şifrenizi sıfırlamak için bir bağlantı gönderilecektir.

Geri dön

Eğer aktivasyon kodunu almadıysanız lütfen e-posta adresinizi giriniz. Üyeliğinizi aktive etmek için e-posta adresinize bir bağlantı gönderilecektir.

Geri dön

Close
"İnsanlar bana bilimin hayattaki büyük soruları asla yanıtlayamayacağını söylüyorlar. Saçmalık! Problem, sizin sorularınızın yeterince büyük olmaması!"
Phil Plait
Kapak Görseli Seç
Videodan otomatik olarak çıkartılan karelerden birini seçin.
Kareler yükleniyor…
Videoyu kaydırarak istediğiniz kareyi seçin.
0:00 / 0:00
Kendi kapak görselinizi yükleyin. Görsel otomatik olarak kırpılacaktır.
Görseli sürükleyin veya tıklayın PNG, JPG veya WEBP (Maks. 10MB)